Solid epithelioid peritoneal mesothelioma with pulmonary metastasis in feline.

Brazilian journal of veterinary medicine Pub Date : 2024-02-28 eCollection Date: 2024-01-01 DOI:10.29374/2527-2179.bjvm004523
Heloísa Cristina Teixeira de Carvalho, Lígia Fernandes Gundim, Felipe Martins Pastor, Gabriel Henrique Guimarães, Arlinda Flores Coleto, Matias Pablo Juan Szabó, Alessandra Aparecida Medeiros-Ronchi
{"title":"Solid epithelioid peritoneal mesothelioma with pulmonary metastasis in feline.","authors":"Heloísa Cristina Teixeira de Carvalho, Lígia Fernandes Gundim, Felipe Martins Pastor, Gabriel Henrique Guimarães, Arlinda Flores Coleto, Matias Pablo Juan Szabó, Alessandra Aparecida Medeiros-Ronchi","doi":"10.29374/2527-2179.bjvm004523","DOIUrl":null,"url":null,"abstract":"<p><p>Mesothelioma is a rare malignant neoplasm that affects the mesothelial cells lining the thoracic and abdominal cavities, such as the pleura, peritoneum, and pericardium. It is most prevalent in dogs and cattle, but the causes of this disease in animals are uncertain. In felines, it mainly affects the pleura, with an unfavorable prognosis. This paper explores a rare case of metastatic peritoneal mesothelioma in a 2-year-old female mixed breed cat, emphasizing its uniqueness due to the feline's age. The patient, previously treated at a private clinic, presented moderate abdominal distension as the only clinical sign. Abdominal ultrasound and peritoneal fluid cytology led to the provisional diagnosis of mesothelioma/carcinomatosis. One day after exploratory laparotomy, the animal died and was subsequently sent for necropsy. During macroscopic analysis, nodules were observed in the peritoneum, diaphragm, omentum, stomach serosa, and large intestine, and the diagnosis of solid epithelioid peritoneal mesothelioma with lung metastasis was confirmed after microscopic analysis. The diagnosis of mesothelioma is challenging, and the importance of immunohistochemical panels with specific markers such as cytokeratin AE1/AE3 and calretinin is highlighted. Considering that mesothelioma is a pathology with a poor prognosis, it is essential to include this disease in the list of differential diagnoses within veterinary oncology.</p>","PeriodicalId":72458,"journal":{"name":"Brazilian journal of veterinary medicine","volume":"46 ","pages":"e004523"},"PeriodicalIF":0.0000,"publicationDate":"2024-02-28","publicationTypes":"Journal Article","fieldsOfStudy":null,"isOpenAccess":false,"openAccessPdf":"https://www.ncbi.nlm.nih.gov/pmc/articles/PMC10901465/pdf/","citationCount":"0","resultStr":null,"platform":"Semanticscholar","paperid":null,"PeriodicalName":"Brazilian journal of veterinary medicine","FirstCategoryId":"1085","ListUrlMain":"https://doi.org/10.29374/2527-2179.bjvm004523","RegionNum":0,"RegionCategory":null,"ArticlePicture":[],"TitleCN":null,"AbstractTextCN":null,"PMCID":null,"EPubDate":"2024/1/1 0:00:00","PubModel":"eCollection","JCR":"","JCRName":"","Score":null,"Total":0}
引用次数: 0

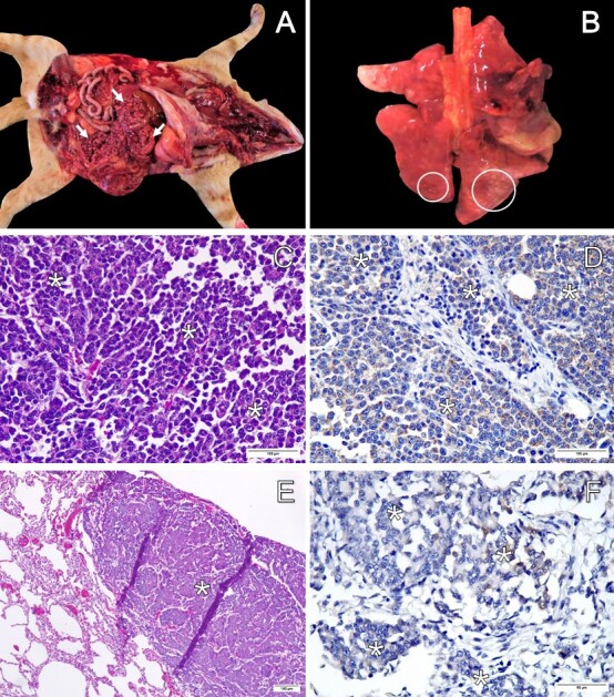
Abstract

Mesothelioma is a rare malignant neoplasm that affects the mesothelial cells lining the thoracic and abdominal cavities, such as the pleura, peritoneum, and pericardium. It is most prevalent in dogs and cattle, but the causes of this disease in animals are uncertain. In felines, it mainly affects the pleura, with an unfavorable prognosis. This paper explores a rare case of metastatic peritoneal mesothelioma in a 2-year-old female mixed breed cat, emphasizing its uniqueness due to the feline's age. The patient, previously treated at a private clinic, presented moderate abdominal distension as the only clinical sign. Abdominal ultrasound and peritoneal fluid cytology led to the provisional diagnosis of mesothelioma/carcinomatosis. One day after exploratory laparotomy, the animal died and was subsequently sent for necropsy. During macroscopic analysis, nodules were observed in the peritoneum, diaphragm, omentum, stomach serosa, and large intestine, and the diagnosis of solid epithelioid peritoneal mesothelioma with lung metastasis was confirmed after microscopic analysis. The diagnosis of mesothelioma is challenging, and the importance of immunohistochemical panels with specific markers such as cytokeratin AE1/AE3 and calretinin is highlighted. Considering that mesothelioma is a pathology with a poor prognosis, it is essential to include this disease in the list of differential diagnoses within veterinary oncology.

Abstract Image

实性上皮样腹膜间皮瘤伴有肺转移的猫科动物。
间皮瘤是一种罕见的恶性肿瘤,会影响胸腔和腹腔(如胸膜、腹膜和心包)的间皮细胞。这种疾病在狗和牛中最为常见,但在动物中的发病原因尚不确定。在猫科动物中,它主要影响胸膜,预后不良。本文探讨了一例罕见的转移性腹膜间皮瘤病例,该病例发生在一只两岁大的雌性混种猫身上,由于猫的年龄,该病例具有独特性。患者曾在一家私人诊所接受治疗,唯一的临床症状是中度腹胀。通过腹部超声波检查和腹腔液细胞学检查,初步诊断为间皮瘤/癌肿。剖腹探查术后一天,该动物死亡,随后被送去尸检。经宏观分析,在腹膜、横膈膜、网膜、胃浆膜和大肠中观察到结节,经显微镜分析,确诊为实性上皮样腹膜间皮瘤伴肺部转移。间皮瘤的诊断极具挑战性,使用细胞角蛋白 AE1/AE3 和钙网蛋白等特异性标记物进行免疫组化检查的重要性凸显出来。考虑到间皮瘤是一种预后较差的病理,因此必须将这种疾病列入兽医肿瘤学的鉴别诊断清单。
本文章由计算机程序翻译,如有差异,请以英文原文为准。
求助全文
约1分钟内获得全文 求助全文
来源期刊
自引率
0.00%
发文量
0
×
引用
GB/T 7714-2015
复制
MLA
复制
APA
复制
导出至
BibTeX EndNote RefMan NoteFirst NoteExpress
×
提示
您的信息不完整,为了账户安全,请先补充。
现在去补充
×
提示
您因"违规操作"
具体请查看互助需知
我知道了
×
提示
确定
请完成安全验证×
copy
已复制链接
快去分享给好友吧!
我知道了
右上角分享
点击右上角分享
0
联系我们:info@booksci.cn Book学术提供免费学术资源搜索服务,方便国内外学者检索中英文文献。致力于提供最便捷和优质的服务体验。 Copyright © 2023 布克学术 All rights reserved.
京ICP备2023020795号-1
ghs 京公网安备 11010802042870号
Book学术文献互助
Book学术文献互助群
群 号:604180095
Book学术官方微信