Diagnostic and management challenge of concurrent tongue squamous cell carcinoma with an unknown parapharyngeal mass.

IF 1.4 Q3 DENTISTRY, ORAL SURGERY & MEDICINE
Raymond Shupak, Roderick Kim, Jun Hyuk Huh
{"title":"Diagnostic and management challenge of concurrent tongue squamous cell carcinoma with an unknown parapharyngeal mass.","authors":"Raymond Shupak, Roderick Kim, Jun Hyuk Huh","doi":"10.5125/jkaoms.2024.50.1.56","DOIUrl":null,"url":null,"abstract":"<p><p>There are very few case reports of the diagnosis and management of concurrent oral cavity and parapharyngeal space tumors. We present a case involving a 49-year-old female who presented with oral cavity squamous cell carcinoma confirmed by biopsy. Initial diagnostic workup revealed a concurrent parapharyngeal mass. Diagnostic studies and surgical therapy were tailored to account for both pathological entities. The patient was treated with a combination of surgery and adjuvant therapy. The surgical strategy was designed to address both lesions simultaneously. One year post-surgery, the patient had good response to therapy with no evidence of persistent or recurrent disease. This report discusses the outcome and treatment of a rare case of concurrent squamous cell carcinoma with a complicating parapharyngeal space tumor. It explores the diagnostic process, comprehensive workup, and the surgical management.</p>","PeriodicalId":51711,"journal":{"name":"Journal of the Korean Association of Oral and Maxillofacial Surgeons","volume":"50 1","pages":"56-59"},"PeriodicalIF":1.4000,"publicationDate":"2024-02-29","publicationTypes":"Journal Article","fieldsOfStudy":null,"isOpenAccess":false,"openAccessPdf":"https://www.ncbi.nlm.nih.gov/pmc/articles/PMC10910001/pdf/","citationCount":"0","resultStr":null,"platform":"Semanticscholar","paperid":null,"PeriodicalName":"Journal of the Korean Association of Oral and Maxillofacial Surgeons","FirstCategoryId":"1085","ListUrlMain":"https://doi.org/10.5125/jkaoms.2024.50.1.56","RegionNum":0,"RegionCategory":null,"ArticlePicture":[],"TitleCN":null,"AbstractTextCN":null,"PMCID":null,"EPubDate":"","PubModel":"","JCR":"Q3","JCRName":"DENTISTRY, ORAL SURGERY & MEDICINE","Score":null,"Total":0}
引用次数: 0

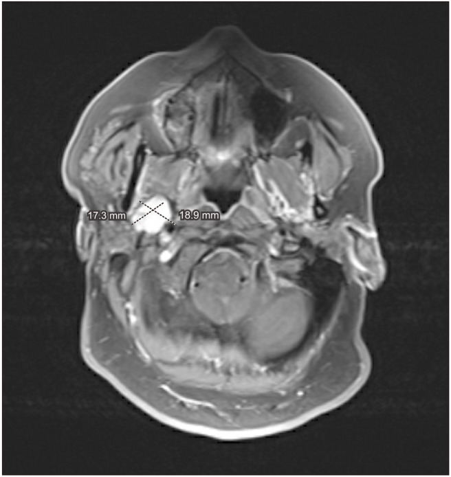
Abstract

There are very few case reports of the diagnosis and management of concurrent oral cavity and parapharyngeal space tumors. We present a case involving a 49-year-old female who presented with oral cavity squamous cell carcinoma confirmed by biopsy. Initial diagnostic workup revealed a concurrent parapharyngeal mass. Diagnostic studies and surgical therapy were tailored to account for both pathological entities. The patient was treated with a combination of surgery and adjuvant therapy. The surgical strategy was designed to address both lesions simultaneously. One year post-surgery, the patient had good response to therapy with no evidence of persistent or recurrent disease. This report discusses the outcome and treatment of a rare case of concurrent squamous cell carcinoma with a complicating parapharyngeal space tumor. It explores the diagnostic process, comprehensive workup, and the surgical management.

Abstract Image

Abstract Image

Abstract Image

舌鳞状细胞癌并发不明咽旁肿块的诊断和处理难题。
关于口腔和咽旁间隙肿瘤并发症的诊断和治疗的病例报告很少。我们介绍了一个病例,患者是一名 49 岁女性,经活检证实患有口腔鳞状细胞癌。初步诊断检查发现同时存在咽旁肿块。诊断检查和手术治疗都是针对这两种病理实体进行的。患者接受了手术和辅助治疗的综合治疗。手术策略旨在同时治疗两种病变。术后一年,患者对治疗反应良好,没有证据显示疾病持续或复发。本报告讨论了一例罕见的鳞状细胞癌并发咽旁间隙肿瘤的治疗结果。报告探讨了诊断过程、综合检查和手术治疗。
本文章由计算机程序翻译,如有差异,请以英文原文为准。
求助全文
约1分钟内获得全文 求助全文
来源期刊
CiteScore
2.00
自引率
10.00%
发文量
0
期刊介绍: Journal of the Korean Association of Oral and Maxillofacial Surgeons (J Korean Assoc Oral Maxillofac Surg) is the official journal of the Korean Association of Oral and Maxillofacial Surgeons. This bimonthly journal offers high-quality original articles, case series study, case reports, collective or current reviews, technical notes, brief communications or correspondences, and others related to regenerative medicine, dentoalveolar surgery, dental implant surgery, head and neck cancer, aesthetic facial surgery/orthognathic surgery, facial injuries, temporomandibular joint disorders, orofacial disease, and oral pathology. J Korean Assoc Oral Maxillofac Surg is of interest to oral and maxillofacial surgeons and dental practitioners as well as others who are interested in these fields.
×
引用
GB/T 7714-2015
复制
MLA
复制
APA
复制
导出至
BibTeX EndNote RefMan NoteFirst NoteExpress
×
提示
您的信息不完整,为了账户安全,请先补充。
现在去补充
×
提示
您因"违规操作"
具体请查看互助需知
我知道了
×
提示
确定
请完成安全验证×
copy
已复制链接
快去分享给好友吧!
我知道了
右上角分享
点击右上角分享
0
联系我们:info@booksci.cn Book学术提供免费学术资源搜索服务,方便国内外学者检索中英文文献。致力于提供最便捷和优质的服务体验。 Copyright © 2023 布克学术 All rights reserved.
京ICP备2023020795号-1
ghs 京公网安备 11010802042870号
Book学术文献互助
Book学术文献互助群
群 号:604180095
Book学术官方微信