Central giant-cell granuloma in a patient with neurofibromatosis type 1: 7 years of follow-up.

IF 1.4 Q3 DENTISTRY, ORAL SURGERY & MEDICINE
Michelle Briner Garrido, Rohan Jagtap, Christopher D Matesi, Vivian Diaz, John Hardeman, Anita Gohel
{"title":"Central giant-cell granuloma in a patient with neurofibromatosis type 1: 7 years of follow-up.","authors":"Michelle Briner Garrido, Rohan Jagtap, Christopher D Matesi, Vivian Diaz, John Hardeman, Anita Gohel","doi":"10.5125/jkaoms.2024.50.1.49","DOIUrl":null,"url":null,"abstract":"<p><p>Neurofibromatosis type 1 (NF1) is an autosomally dominant tumor suppressor syndrome and multisystem disease. Central giant-cell granulomas (CGCGs) can be seen in patients with NF1. A 21-year-old female was diagnosed with two CGCGs, one in the mandible and then one in the maxilla, in a 7-year period. Increased incidence of CGCGs in NF1 patients was thought to be caused by an underlying susceptibility to developing CGCG-like lesions in qualitatively abnormal bone, such as fibrous dysplasia. However, germline and somatic truncating second-hit mutations in the NF1 gene have been detected in NF1 patients with CGCGs, validating that they are NF1-associated lesions. Oral manifestations in patients with NF1 are very common. Knowledge of these manifestations and the genetic link between NF1 and CGCGs will enhance early detection and enable optimal patient care.</p>","PeriodicalId":51711,"journal":{"name":"Journal of the Korean Association of Oral and Maxillofacial Surgeons","volume":"50 1","pages":"49-55"},"PeriodicalIF":1.4000,"publicationDate":"2024-02-29","publicationTypes":"Journal Article","fieldsOfStudy":null,"isOpenAccess":false,"openAccessPdf":"https://www.ncbi.nlm.nih.gov/pmc/articles/PMC10910004/pdf/","citationCount":"0","resultStr":null,"platform":"Semanticscholar","paperid":null,"PeriodicalName":"Journal of the Korean Association of Oral and Maxillofacial Surgeons","FirstCategoryId":"1085","ListUrlMain":"https://doi.org/10.5125/jkaoms.2024.50.1.49","RegionNum":0,"RegionCategory":null,"ArticlePicture":[],"TitleCN":null,"AbstractTextCN":null,"PMCID":null,"EPubDate":"","PubModel":"","JCR":"Q3","JCRName":"DENTISTRY, ORAL SURGERY & MEDICINE","Score":null,"Total":0}
引用次数: 0

Abstract

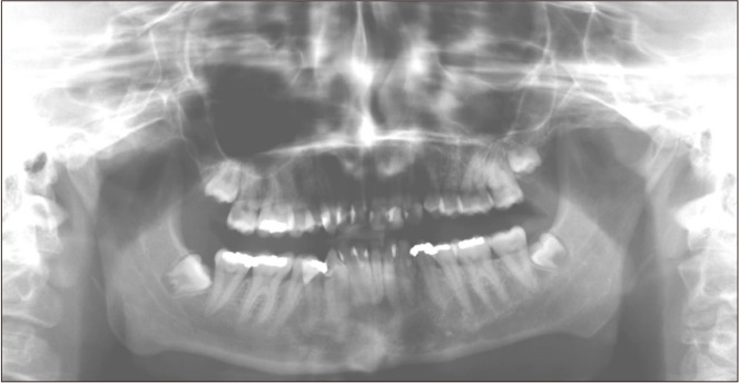
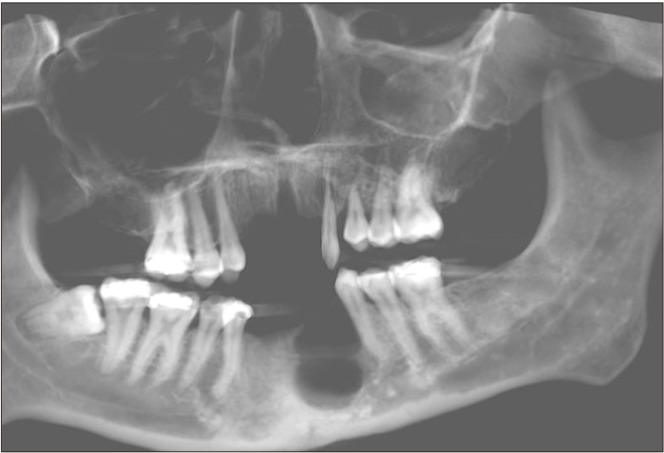
Neurofibromatosis type 1 (NF1) is an autosomally dominant tumor suppressor syndrome and multisystem disease. Central giant-cell granulomas (CGCGs) can be seen in patients with NF1. A 21-year-old female was diagnosed with two CGCGs, one in the mandible and then one in the maxilla, in a 7-year period. Increased incidence of CGCGs in NF1 patients was thought to be caused by an underlying susceptibility to developing CGCG-like lesions in qualitatively abnormal bone, such as fibrous dysplasia. However, germline and somatic truncating second-hit mutations in the NF1 gene have been detected in NF1 patients with CGCGs, validating that they are NF1-associated lesions. Oral manifestations in patients with NF1 are very common. Knowledge of these manifestations and the genetic link between NF1 and CGCGs will enhance early detection and enable optimal patient care.

Abstract Image

Abstract Image

Abstract Image

一名 1 型神经纤维瘤病患者的中央巨细胞肉芽肿:7 年随访。
神经纤维瘤病 1 型(NF1)是一种常染色体显性抑瘤综合征和多系统疾病。NF1 患者可出现中央巨细胞肉芽肿(CGCG)。一名 21 岁的女性在 7 年内被诊断出患有两个 CGCG,一个在下颌骨,另一个在上颌骨。人们认为,NF1患者CGCG发病率增高的原因是其潜在的易感性,即在质地异常的骨骼(如纤维发育不良)中容易发生CGCG样病变。然而,在患有 CGCG 的 NF1 患者中发现了 NF1 基因的种系突变和体细胞截断二次突变,这验证了 CGCG 是 NF1 相关病变。NF1 患者的口腔表现非常常见。了解这些表现以及 NF1 和 CGCG 之间的遗传联系将有助于早期发现并优化患者护理。
本文章由计算机程序翻译,如有差异,请以英文原文为准。
求助全文
约1分钟内获得全文 求助全文
来源期刊
CiteScore
2.00
自引率
10.00%
发文量
0
期刊介绍: Journal of the Korean Association of Oral and Maxillofacial Surgeons (J Korean Assoc Oral Maxillofac Surg) is the official journal of the Korean Association of Oral and Maxillofacial Surgeons. This bimonthly journal offers high-quality original articles, case series study, case reports, collective or current reviews, technical notes, brief communications or correspondences, and others related to regenerative medicine, dentoalveolar surgery, dental implant surgery, head and neck cancer, aesthetic facial surgery/orthognathic surgery, facial injuries, temporomandibular joint disorders, orofacial disease, and oral pathology. J Korean Assoc Oral Maxillofac Surg is of interest to oral and maxillofacial surgeons and dental practitioners as well as others who are interested in these fields.
×
引用
GB/T 7714-2015
复制
MLA
复制
APA
复制
导出至
BibTeX EndNote RefMan NoteFirst NoteExpress
×
提示
您的信息不完整,为了账户安全,请先补充。
现在去补充
×
提示
您因"违规操作"
具体请查看互助需知
我知道了
×
提示
确定
请完成安全验证×
copy
已复制链接
快去分享给好友吧!
我知道了
右上角分享
点击右上角分享
0
联系我们:info@booksci.cn Book学术提供免费学术资源搜索服务,方便国内外学者检索中英文文献。致力于提供最便捷和优质的服务体验。 Copyright © 2023 布克学术 All rights reserved.
京ICP备2023020795号-1
ghs 京公网安备 11010802042870号
Book学术文献互助
Book学术文献互助群
群 号:604180095
Book学术官方微信