Spontaneous Bleeding in Vestibular Schwannoma in Patients on Oral Anticoagulant Therapy: Report of Two Cases and Review of Literature.

Q3 Medicine
Mirza Pojskić, Domagoj Gajski, Alisa Arnautović, Kenan I Arnautović
{"title":"Spontaneous Bleeding in Vestibular Schwannoma in Patients on Oral Anticoagulant Therapy: Report of Two Cases and Review of Literature.","authors":"Mirza Pojskić, Domagoj Gajski, Alisa Arnautović, Kenan I Arnautović","doi":"10.5644/ama2006-124.426","DOIUrl":null,"url":null,"abstract":"<p><strong>Objective: </strong>Anticoagulant therapy is a risk factor for repeated intratumoral hemorrhage and acute enlargement of a vestibular schwannoma (VS) with neurological deficits. Therefore, we describe two cases of patients on oral anticoagulant therapy with intratumoral hemorrhage in which anticoagulant therapy prior to surgical resection was discontinued. We also discuss other similar cases from the literature since this is a rare event.</p><p><strong>Case reports: </strong>We described the two cases of intratumoral hemorrhage in acoustic neurinoma and conducted a literature review of similar cases of patients with intratumoral hemorrhage in acoustic neurinoma who were also on oral anticoagulants. Both patients presented with CN-VII palsy prior to surgery; both also fully re-covered after surgery except for hearing loss on the tumor side. Our literature review found 50 cases of VS (reported as vestibular schwannomas in the literature) with intratumoral hemorrhage. From this total, 11 patients used oral anticoagulant therapy with reported poor outcomes and high mortality; 9 of these 11 cases were reported in the past 20 years. The incidence is expected to rise due to increased use of anticoagulant therapy due to onset of atrial fibrillation, atherosclerosis, and thromboembolism from longer human lifespan.</p><p><strong>Conclusion: </strong>Anticoagulant therapy represents a risk factor for intratumoral hemorrhage and acute enlargement of VS tumor mass with neurological deficits.</p>","PeriodicalId":38313,"journal":{"name":"Acta medica academica","volume":" ","pages":"90-101"},"PeriodicalIF":0.0000,"publicationDate":"2024-04-01","publicationTypes":"Journal Article","fieldsOfStudy":null,"isOpenAccess":false,"openAccessPdf":"https://www.ncbi.nlm.nih.gov/pmc/articles/PMC11237908/pdf/","citationCount":"0","resultStr":null,"platform":"Semanticscholar","paperid":null,"PeriodicalName":"Acta medica academica","FirstCategoryId":"1085","ListUrlMain":"https://doi.org/10.5644/ama2006-124.426","RegionNum":0,"RegionCategory":null,"ArticlePicture":[],"TitleCN":null,"AbstractTextCN":null,"PMCID":null,"EPubDate":"","PubModel":"","JCR":"Q3","JCRName":"Medicine","Score":null,"Total":0}
引用次数: 0

Abstract

Objective: Anticoagulant therapy is a risk factor for repeated intratumoral hemorrhage and acute enlargement of a vestibular schwannoma (VS) with neurological deficits. Therefore, we describe two cases of patients on oral anticoagulant therapy with intratumoral hemorrhage in which anticoagulant therapy prior to surgical resection was discontinued. We also discuss other similar cases from the literature since this is a rare event.

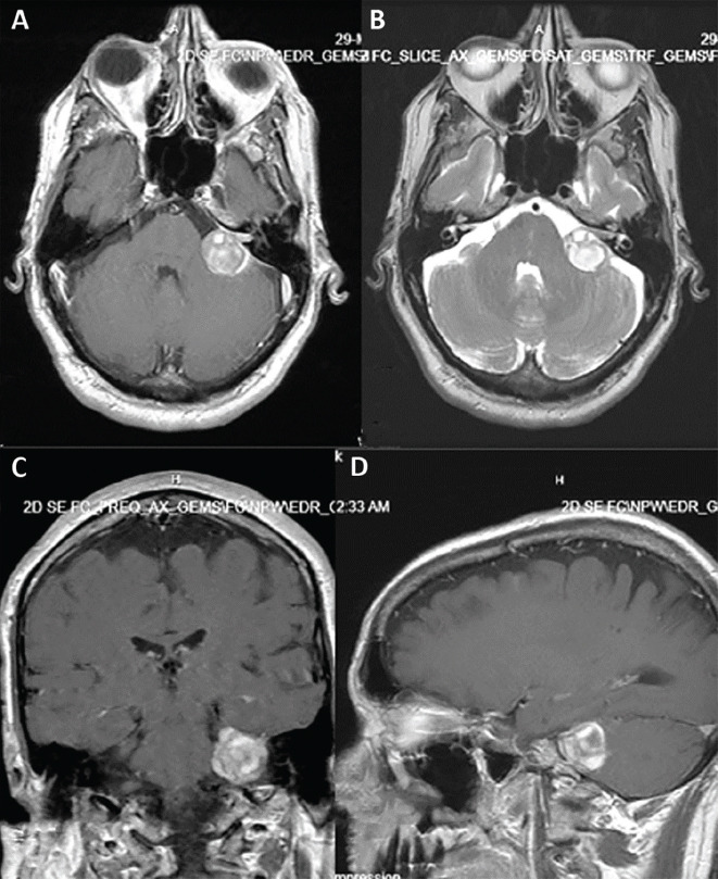
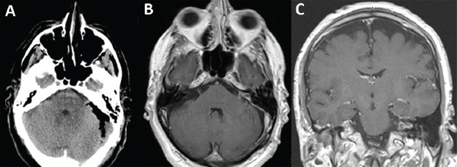
Case reports: We described the two cases of intratumoral hemorrhage in acoustic neurinoma and conducted a literature review of similar cases of patients with intratumoral hemorrhage in acoustic neurinoma who were also on oral anticoagulants. Both patients presented with CN-VII palsy prior to surgery; both also fully re-covered after surgery except for hearing loss on the tumor side. Our literature review found 50 cases of VS (reported as vestibular schwannomas in the literature) with intratumoral hemorrhage. From this total, 11 patients used oral anticoagulant therapy with reported poor outcomes and high mortality; 9 of these 11 cases were reported in the past 20 years. The incidence is expected to rise due to increased use of anticoagulant therapy due to onset of atrial fibrillation, atherosclerosis, and thromboembolism from longer human lifespan.

Conclusion: Anticoagulant therapy represents a risk factor for intratumoral hemorrhage and acute enlargement of VS tumor mass with neurological deficits.

Abstract Image

Abstract Image

Abstract Image

口服抗凝药患者的前庭神经丛瘤自发性出血:两例病例报告和文献综述。
目的:抗凝治疗是前庭分裂瘤(VS)反复发生瘤内出血和急性增大并伴有神经功能障碍的危险因素。因此,我们描述了两例口服抗凝剂治疗的患者在手术切除前停止抗凝剂治疗后出现瘤内出血的病例。我们还讨论了文献中的其他类似病例,因为这种情况非常罕见:我们描述了两例听神经瘤瘤腔内出血病例,并对听神经瘤瘤腔内出血患者同时口服抗凝剂的类似病例进行了文献回顾。这两名患者在手术前都出现了 CN-VII 麻痹,手术后除肿瘤一侧听力下降外,其余均完全恢复。我们在文献综述中发现 50 例 VS(文献中报告为前庭分裂瘤)伴有瘤内出血。其中有 11 例患者使用了口服抗凝疗法,据报道疗效不佳,死亡率较高;这 11 例中有 9 例是在过去 20 年中报道的。由于人类寿命延长导致心房颤动、动脉粥样硬化和血栓栓塞症的发生,使用抗凝疗法的人数增加,预计发病率还会上升:结论:抗凝治疗是导致瘤内出血和 VS 肿瘤肿块急性增大并伴有神经功能障碍的危险因素。
本文章由计算机程序翻译,如有差异,请以英文原文为准。
求助全文
约1分钟内获得全文 求助全文
来源期刊
Acta medica academica
Acta medica academica Medicine-Medicine (all)
CiteScore
1.90
自引率
0.00%
发文量
21
审稿时长
15 weeks
×
引用
GB/T 7714-2015
复制
MLA
复制
APA
复制
导出至
BibTeX EndNote RefMan NoteFirst NoteExpress
×
提示
您的信息不完整,为了账户安全,请先补充。
现在去补充
×
提示
您因"违规操作"
具体请查看互助需知
我知道了
×
提示
确定
请完成安全验证×
copy
已复制链接
快去分享给好友吧!
我知道了
右上角分享
点击右上角分享
0
联系我们:info@booksci.cn Book学术提供免费学术资源搜索服务,方便国内外学者检索中英文文献。致力于提供最便捷和优质的服务体验。 Copyright © 2023 布克学术 All rights reserved.
京ICP备2023020795号-1
ghs 京公网安备 11010802042870号
Book学术文献互助
Book学术文献互助群
群 号:604180095
Book学术官方微信