Bladder perivascular epithelioid cell neoplasm: Review on clinical features of this rare tumor.

IF 0.8 Q4 UROLOGY & NEPHROLOGY
Urology Annals Pub Date : 2024-01-01 Epub Date: 2024-01-25 DOI:10.4103/ua.ua_40_23
Zeno Adriaenssens, Robby Peter Anna Lamoury, Sam Tilborghs, Stefan De Wachter, Tim Brits
{"title":"Bladder perivascular epithelioid cell neoplasm: Review on clinical features of this rare tumor.","authors":"Zeno Adriaenssens, Robby Peter Anna Lamoury, Sam Tilborghs, Stefan De Wachter, Tim Brits","doi":"10.4103/ua.ua_40_23","DOIUrl":null,"url":null,"abstract":"<p><p>Perivascular epithelioid cell neoplasm (PEComa) is a rare mesenchymal tumor composed of histologically and immunohistochemically distinctive perivascular epithelioid cells. They can arise in various localizations such as the bladder. A total of 36 case reports regarding bladder PEComa have been described in the literature. Eleven reviews regarding this tumor have been published in literature so far primarily focusing on anatomic pathology. Through these reviews, it is known that in bladder PEComa, the melanocytic marker Human Melanoma Black-45 is expressed in 100% of cases whereas variable expression can be seen in multiple other melanocytic and myoid markers such as smooth muscle actin, <i>Melan-A, CD117, S100, CD31</i>, and CD34. Since current reviews mainly emphasize anatomic pathology, we perform a review focusing on the clinical aspects of PEComa at the level of the clinician. A manual electronic search of the PubMed/Medline and Web of Science Core Collection databases was conducted. Search was done on (perivascular epithelioid cell neoplasms [MeSH terms]) AND (Bladder). All case reports and reviews were encompassed until March 15, 2023, to identify studies that assessed bladder PEComa. The age of presentation is relatively low with a median age of 37 years. There is a female predominance with a female/male ratio of 1.5. The tumor shows no preference in anatomical localization within the bladder. Even involvement of the bladder neck, proximal urethra, and distal ureter has been described. The clinical presentation consists in the majority of patients of symptoms related to the urinary tract such as hematuria, dysuria, passage of urine sediment, frequency, and urgency. Other symptoms include abdominal discomfort and dysmenorrhea. In clinical examination, an abdominal mass can be found based on the size and location of the tumor. Further examination usually encompasses cystoscopy due to the hematuria and radiological investigations such as ultrasound (US), computed tomography, and magnetic resonance imaging. These radiological investigations reveal a heterogeneous solid mass with clear borders. In our center, we performed a transvaginal US additionally in a patient with bladder PEComa, which was the only investigation in our patient that concluded the mass was located in the Retzius space. For treatment, transurethral resection of the bladder tumor and partial cystectomy were both described in equal numbers. The choice of treatment depends on the localization and size of the tumor. Follow-up consists of imaging, but clear guidelines on this matter are lacking. Bladder PEComa is a rare condition and usually presents itself with nonspecific symptoms. Radiological investigations will reveal the tumor, but the final diagnosis is based on cytological and immunohistochemical features. Since bladder PEComa is an entity with uncertain malignant potential, it is important to include this entity in the differential diagnosis when a patient presents with lower abdominal discomfort and lower urinary tract symptoms in combination with a mass in the pelvic region.</p>","PeriodicalId":23633,"journal":{"name":"Urology Annals","volume":"16 1","pages":"28-35"},"PeriodicalIF":0.8000,"publicationDate":"2024-01-01","publicationTypes":"Journal Article","fieldsOfStudy":null,"isOpenAccess":false,"openAccessPdf":"https://www.ncbi.nlm.nih.gov/pmc/articles/PMC10896323/pdf/","citationCount":"0","resultStr":null,"platform":"Semanticscholar","paperid":null,"PeriodicalName":"Urology Annals","FirstCategoryId":"1085","ListUrlMain":"https://doi.org/10.4103/ua.ua_40_23","RegionNum":0,"RegionCategory":null,"ArticlePicture":[],"TitleCN":null,"AbstractTextCN":null,"PMCID":null,"EPubDate":"2024/1/25 0:00:00","PubModel":"Epub","JCR":"Q4","JCRName":"UROLOGY & NEPHROLOGY","Score":null,"Total":0}
引用次数: 0

Abstract

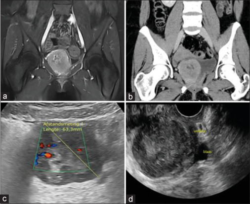
Perivascular epithelioid cell neoplasm (PEComa) is a rare mesenchymal tumor composed of histologically and immunohistochemically distinctive perivascular epithelioid cells. They can arise in various localizations such as the bladder. A total of 36 case reports regarding bladder PEComa have been described in the literature. Eleven reviews regarding this tumor have been published in literature so far primarily focusing on anatomic pathology. Through these reviews, it is known that in bladder PEComa, the melanocytic marker Human Melanoma Black-45 is expressed in 100% of cases whereas variable expression can be seen in multiple other melanocytic and myoid markers such as smooth muscle actin, Melan-A, CD117, S100, CD31, and CD34. Since current reviews mainly emphasize anatomic pathology, we perform a review focusing on the clinical aspects of PEComa at the level of the clinician. A manual electronic search of the PubMed/Medline and Web of Science Core Collection databases was conducted. Search was done on (perivascular epithelioid cell neoplasms [MeSH terms]) AND (Bladder). All case reports and reviews were encompassed until March 15, 2023, to identify studies that assessed bladder PEComa. The age of presentation is relatively low with a median age of 37 years. There is a female predominance with a female/male ratio of 1.5. The tumor shows no preference in anatomical localization within the bladder. Even involvement of the bladder neck, proximal urethra, and distal ureter has been described. The clinical presentation consists in the majority of patients of symptoms related to the urinary tract such as hematuria, dysuria, passage of urine sediment, frequency, and urgency. Other symptoms include abdominal discomfort and dysmenorrhea. In clinical examination, an abdominal mass can be found based on the size and location of the tumor. Further examination usually encompasses cystoscopy due to the hematuria and radiological investigations such as ultrasound (US), computed tomography, and magnetic resonance imaging. These radiological investigations reveal a heterogeneous solid mass with clear borders. In our center, we performed a transvaginal US additionally in a patient with bladder PEComa, which was the only investigation in our patient that concluded the mass was located in the Retzius space. For treatment, transurethral resection of the bladder tumor and partial cystectomy were both described in equal numbers. The choice of treatment depends on the localization and size of the tumor. Follow-up consists of imaging, but clear guidelines on this matter are lacking. Bladder PEComa is a rare condition and usually presents itself with nonspecific symptoms. Radiological investigations will reveal the tumor, but the final diagnosis is based on cytological and immunohistochemical features. Since bladder PEComa is an entity with uncertain malignant potential, it is important to include this entity in the differential diagnosis when a patient presents with lower abdominal discomfort and lower urinary tract symptoms in combination with a mass in the pelvic region.

Abstract Image

Abstract Image

Abstract Image

膀胱血管周围上皮样细胞瘤:关于这种罕见肿瘤临床特征的综述。
血管周围上皮样细胞瘤(PEComa)是一种罕见的间质肿瘤,由组织学和免疫组织化学上独特的血管周围上皮样细胞组成。它们可发生在不同部位,如膀胱。文献中共有 36 篇关于膀胱上皮细胞瘤的病例报告。迄今为止,文献中已发表了 11 篇有关该肿瘤的综述,主要集中在解剖病理学方面。通过这些综述可知,在膀胱PEC瘤中,黑色素细胞标记物人类黑色素瘤黑-45在100%的病例中都有表达,而其他多种黑色素细胞和肌层标记物,如平滑肌肌动蛋白、Melan-A、CD117、S100、CD31和CD34,则有不同程度的表达。由于目前的综述主要强调解剖病理学,因此我们从临床医生的角度出发,对多发性黑素瘤的临床方面进行了综述。我们对 PubMed/Medline 和 Web of Science Core Collection 数据库进行了人工电子检索。搜索关键词为(血管周围上皮样细胞瘤[MeSH术语])和(膀胱)。截至 2023 年 3 月 15 日,所有病例报告和综述均被囊括在内,以确定对膀胱上皮细胞瘤进行评估的研究。发病年龄相对较低,中位年龄为 37 岁。女性占多数,男女比例为 1.5。肿瘤在膀胱内的解剖定位没有偏好。甚至膀胱颈、尿道近端和输尿管远端也有受累的描述。大多数患者的临床表现为血尿、排尿困难、尿沉渣排出、尿频和尿急等与泌尿道有关的症状。其他症状还包括腹部不适和痛经。在临床检查中,可根据肿瘤的大小和位置发现腹部肿块。进一步检查通常包括因血尿而进行的膀胱镜检查,以及超声波(US)、计算机断层扫描和磁共振成像等放射学检查。这些放射检查会发现边界清晰的异质实性肿块。在我们的中心,我们对一名膀胱PEComa患者额外进行了经阴道超声检查,这是唯一一次对患者进行的检查,其结论是肿块位于Retzius间隙。在治疗方面,经尿道膀胱肿瘤切除术和膀胱部分切除术的患者人数相当。治疗方法的选择取决于肿瘤的位置和大小。随访包括影像学检查,但目前还缺乏这方面的明确指南。膀胱前列腺癌是一种罕见病,通常表现为非特异性症状。放射学检查可发现肿瘤,但最终诊断要依据细胞学和免疫组化特征。由于膀胱前列腺癌是一种恶性可能性不确定的实体瘤,因此当患者出现下腹部不适和下尿路症状并伴有盆腔肿块时,将其纳入鉴别诊断非常重要。
本文章由计算机程序翻译,如有差异,请以英文原文为准。
求助全文
约1分钟内获得全文 求助全文
来源期刊
Urology Annals
Urology Annals UROLOGY & NEPHROLOGY-
CiteScore
1.20
自引率
0.00%
发文量
59
审稿时长
31 weeks
×
引用
GB/T 7714-2015
复制
MLA
复制
APA
复制
导出至
BibTeX EndNote RefMan NoteFirst NoteExpress
×
提示
您的信息不完整,为了账户安全,请先补充。
现在去补充
×
提示
您因"违规操作"
具体请查看互助需知
我知道了
×
提示
确定
请完成安全验证×
copy
已复制链接
快去分享给好友吧!
我知道了
右上角分享
点击右上角分享
0
联系我们:info@booksci.cn Book学术提供免费学术资源搜索服务,方便国内外学者检索中英文文献。致力于提供最便捷和优质的服务体验。 Copyright © 2023 布克学术 All rights reserved.
京ICP备2023020795号-1
ghs 京公网安备 11010802042870号
Book学术文献互助
Book学术文献互助群
群 号:604180095
Book学术官方微信