Highly Active Relapsing-Remitting Multiple Sclerosis with Neurofibromatosis Type 1: Radiological Aspects and Therapeutic Challenges - Case Report.

IF 0.6 Q4 CLINICAL NEUROLOGY
Case Reports in Neurology Pub Date : 2024-01-24 eCollection Date: 2024-01-01 DOI:10.1159/000536463
Marios Lemonaris, Kleopas A Kleopa
{"title":"Highly Active Relapsing-Remitting Multiple Sclerosis with Neurofibromatosis Type 1: Radiological Aspects and Therapeutic Challenges - Case Report.","authors":"Marios Lemonaris, Kleopas A Kleopa","doi":"10.1159/000536463","DOIUrl":null,"url":null,"abstract":"<p><strong>Introduction: </strong>Multiple sclerosis (MS) is an autoimmune neurodegenerative disease which can rarely co-exist with neurofibromatosis 1 (NF1), a neurocutaneous inherited disorder that predisposes to oncogenesis. Patients who suffer from both conditions can be challenging cases for clinicians, as clinical symptoms and radiological findings may overlap, while MS immune-modifying treatments could further increase the risk of oncogenesis.</p><p><strong>Case presentation: </strong>In this study, we describe the case of a 27-year-old woman who presented with signs and symptoms of optic neuritis and was then diagnosed with both MS and NF1. As the patient continued to experience MS relapses despite initial interferon-beta treatment, she was subsequently switched to natalizumab and responded well.</p><p><strong>Conclusion: </strong>This case illustrates how MRI lesion differentiation with the co-existence of MS and NF1 can be difficult due to overlaps in lesion characteristics, while treatment decisions can be challenging mainly due to scarce data on the oncogenic risk of MS immunomodulary therapies. Therefore, clinicians need to balance out the risk of malignancy development with the risk of progressive neurological disability when treating such patients.</p>","PeriodicalId":9639,"journal":{"name":"Case Reports in Neurology","volume":"16 1","pages":"48-54"},"PeriodicalIF":0.6000,"publicationDate":"2024-01-24","publicationTypes":"Journal Article","fieldsOfStudy":null,"isOpenAccess":false,"openAccessPdf":"https://www.ncbi.nlm.nih.gov/pmc/articles/PMC10890804/pdf/","citationCount":"0","resultStr":null,"platform":"Semanticscholar","paperid":null,"PeriodicalName":"Case Reports in Neurology","FirstCategoryId":"1085","ListUrlMain":"https://doi.org/10.1159/000536463","RegionNum":0,"RegionCategory":null,"ArticlePicture":[],"TitleCN":null,"AbstractTextCN":null,"PMCID":null,"EPubDate":"2024/1/1 0:00:00","PubModel":"eCollection","JCR":"Q4","JCRName":"CLINICAL NEUROLOGY","Score":null,"Total":0}
引用次数: 0

Abstract

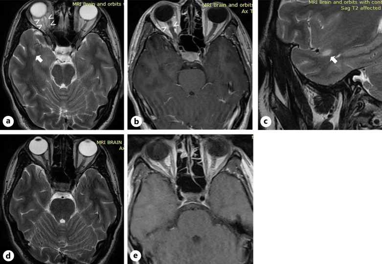
Introduction: Multiple sclerosis (MS) is an autoimmune neurodegenerative disease which can rarely co-exist with neurofibromatosis 1 (NF1), a neurocutaneous inherited disorder that predisposes to oncogenesis. Patients who suffer from both conditions can be challenging cases for clinicians, as clinical symptoms and radiological findings may overlap, while MS immune-modifying treatments could further increase the risk of oncogenesis.

Case presentation: In this study, we describe the case of a 27-year-old woman who presented with signs and symptoms of optic neuritis and was then diagnosed with both MS and NF1. As the patient continued to experience MS relapses despite initial interferon-beta treatment, she was subsequently switched to natalizumab and responded well.

Conclusion: This case illustrates how MRI lesion differentiation with the co-existence of MS and NF1 can be difficult due to overlaps in lesion characteristics, while treatment decisions can be challenging mainly due to scarce data on the oncogenic risk of MS immunomodulary therapies. Therefore, clinicians need to balance out the risk of malignancy development with the risk of progressive neurological disability when treating such patients.

Abstract Image

Abstract Image

神经纤维瘤病 1 型高活性复发性多发性硬化症:放射学方面和治疗挑战--病例报告。
简介:多发性硬化症(MS)是一种自身免疫性神经退行性疾病:多发性硬化症(MS)是一种自身免疫性神经退行性疾病,很少与神经纤维瘤病 1(NF1)同时存在,NF1 是一种易导致肿瘤发生的神经皮肤遗传性疾病。同时患有这两种疾病的患者对临床医生来说可能是具有挑战性的病例,因为临床症状和放射学检查结果可能会重叠,而 MS 免疫调节治疗可能会进一步增加肿瘤发生的风险:在本研究中,我们描述了一名 27 岁女性的病例,她出现了视神经炎的体征和症状,随后被诊断同时患有多发性硬化症和 NF1。由于患者在最初接受干扰素-β治疗后仍有多发性硬化症复发,因此她后来转用了纳他珠单抗,并取得了良好的疗效:本病例说明,由于病变特征的重叠,MS 和 NF1 并存时 MRI 病变的鉴别可能会很困难,而治疗决策可能会具有挑战性,这主要是由于有关 MS 免疫调节疗法致癌风险的数据很少。因此,临床医生在治疗这类患者时,需要权衡恶性肿瘤发展的风险和进行性神经残疾的风险。
本文章由计算机程序翻译,如有差异,请以英文原文为准。
求助全文
约1分钟内获得全文 求助全文
来源期刊
Case Reports in Neurology
Case Reports in Neurology Medicine-Neurology (clinical)
CiteScore
1.50
自引率
0.00%
发文量
67
审稿时长
14 weeks
期刊介绍: This new peer-reviewed online-only journal publishes original case reports covering the entire spectrum of neurology. Clinicians and researchers are given a tool to disseminate their personal experience to a wider public as well as to review interesting cases encountered by colleagues all over the world. To complement the contributions supplementary material is welcomed. The reports are searchable according to the key words supplied by the authors; it will thus be possible to search across the entire growing collection of case reports with universally used terms, further facilitating the retrieval of specific information. Following the open access principle, the entire contents can be retrieved at no charge, guaranteeing easy access to this valuable source of anecdotal information at all times.
×
引用
GB/T 7714-2015
复制
MLA
复制
APA
复制
导出至
BibTeX EndNote RefMan NoteFirst NoteExpress
×
提示
您的信息不完整,为了账户安全,请先补充。
现在去补充
×
提示
您因"违规操作"
具体请查看互助需知
我知道了
×
提示
确定
请完成安全验证×
copy
已复制链接
快去分享给好友吧!
我知道了
右上角分享
点击右上角分享
0
联系我们:info@booksci.cn Book学术提供免费学术资源搜索服务,方便国内外学者检索中英文文献。致力于提供最便捷和优质的服务体验。 Copyright © 2023 布克学术 All rights reserved.
京ICP备2023020795号-1
ghs 京公网安备 11010802042870号
Book学术文献互助
Book学术文献互助群
群 号:604180095
Book学术官方微信