Double Primary Cancers of Earlobe Merkel Cell Carcinoma and Lung Adenocarcinoma.

IF 1.4 Q3 OTORHINOLARYNGOLOGY
Journal of Audiology and Otology Pub Date : 2024-07-01 Epub Date: 2024-02-22 DOI:10.7874/jao.2023.00479
Kyung Il Jang, So Yun Lim, Jeon Mi Lee, Eun-Ju Jeon, Hyun Jin Lee
{"title":"Double Primary Cancers of Earlobe Merkel Cell Carcinoma and Lung Adenocarcinoma.","authors":"Kyung Il Jang, So Yun Lim, Jeon Mi Lee, Eun-Ju Jeon, Hyun Jin Lee","doi":"10.7874/jao.2023.00479","DOIUrl":null,"url":null,"abstract":"<p><p>Merkel cell carcinoma (MCC) is an aggressive neuroendocrine carcinoma with a high rate of metastasis. MCC is rarely suspected during clinical examination, thus requiring biopsy to establish a pathologic diagnosis. In addition, MCC sometimes occurs in double primary cancers. Although there have been reviews on double primary cancers, only a few cases involving MCC have been described. Herein, we report a case of a 54-year-old female patient who presented to our clinic with a diagnosis of earlobe MCC following an excisional biopsy performed by another clinic. Further evaluation, including chest imaging, revealed a mass in the lung. The patient underwent a wide excision of the right earlobe, and video-assisted thoracic surgery on the lung. Pathology confirmed MCC in the right earlobe and adenocarcinoma in the lung. The patient underwent postoperative adjuvant chemotherapy followed by radiotherapy. Up to this point, 3 years after the surgery, there has been no evidence of recurrence.</p>","PeriodicalId":44886,"journal":{"name":"Journal of Audiology and Otology","volume":" ","pages":"236-240"},"PeriodicalIF":1.4000,"publicationDate":"2024-07-01","publicationTypes":"Journal Article","fieldsOfStudy":null,"isOpenAccess":false,"openAccessPdf":"https://www.ncbi.nlm.nih.gov/pmc/articles/PMC11273190/pdf/","citationCount":"0","resultStr":null,"platform":"Semanticscholar","paperid":null,"PeriodicalName":"Journal of Audiology and Otology","FirstCategoryId":"1085","ListUrlMain":"https://doi.org/10.7874/jao.2023.00479","RegionNum":0,"RegionCategory":null,"ArticlePicture":[],"TitleCN":null,"AbstractTextCN":null,"PMCID":null,"EPubDate":"2024/2/22 0:00:00","PubModel":"Epub","JCR":"Q3","JCRName":"OTORHINOLARYNGOLOGY","Score":null,"Total":0}
引用次数: 0

Abstract

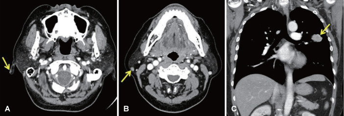
Merkel cell carcinoma (MCC) is an aggressive neuroendocrine carcinoma with a high rate of metastasis. MCC is rarely suspected during clinical examination, thus requiring biopsy to establish a pathologic diagnosis. In addition, MCC sometimes occurs in double primary cancers. Although there have been reviews on double primary cancers, only a few cases involving MCC have been described. Herein, we report a case of a 54-year-old female patient who presented to our clinic with a diagnosis of earlobe MCC following an excisional biopsy performed by another clinic. Further evaluation, including chest imaging, revealed a mass in the lung. The patient underwent a wide excision of the right earlobe, and video-assisted thoracic surgery on the lung. Pathology confirmed MCC in the right earlobe and adenocarcinoma in the lung. The patient underwent postoperative adjuvant chemotherapy followed by radiotherapy. Up to this point, 3 years after the surgery, there has been no evidence of recurrence.

Abstract Image

Abstract Image

Abstract Image

耳垂梅克尔细胞癌和肺腺癌双原发癌。
梅克尔细胞癌(MCC)是一种侵袭性神经内分泌癌,转移率很高。梅克尔细胞癌很少在临床检查中被怀疑,因此需要通过活组织检查来确定病理诊断。此外,MCC 有时会出现在双原发性癌症中。虽然已有关于双原发癌的综述,但涉及 MCC 的病例却寥寥无几。在此,我们报告了一例 54 岁女性患者的病例,她在另一家诊所进行切除活检后,被诊断为耳垂 MCC。进一步的评估,包括胸部成像,发现肺部有肿块。患者接受了右耳垂广泛切除术和肺部视频辅助胸腔手术。病理证实右耳垂有 MCC,肺部有腺癌。患者接受了术后辅助化疗和放疗。手术 3 年后的今天,还没有复发的迹象。
本文章由计算机程序翻译,如有差异,请以英文原文为准。
求助全文
约1分钟内获得全文 求助全文
来源期刊
Journal of Audiology and Otology
Journal of Audiology and Otology OTORHINOLARYNGOLOGY-
CiteScore
1.90
自引率
9.10%
发文量
20
期刊介绍: Journal of Audiology and Otology (JAO) (formerly known as Korean Journal of Audiology) aims to publish the most advanced findings for all aspects of the auditory and vestibular system and diseases of the ear using state-of-the-art techniques and analyses. The journal covers recent trends related to the topics of audiology, otology, and neurotology conducted by professionals, with the goal of providing better possible treatment to people of all ages, from infants to the elderly, who suffer from auditory and/or vestibular disorders and thus, improving their quality of life. This journal encourages the submission of review papers about current professional issues, research papers presenting a scientific base and clinical application, and case papers with unique reports or clinical trials. We also invite letters to the editor and papers related to the manufacture and distribution of medical devices. This journal provides integrated views from otologists, audiologists, and other healthcare practitioners, offering readers high quality scientific and clinical information. This peer-reviewed and open access journal has been the official journal of the Korean Audiological Society since 1997 and of both the Korean Audiological Society and the Korean Otological Society since 2017. It is published in English four times a year in January, April, July, and October.
×
引用
GB/T 7714-2015
复制
MLA
复制
APA
复制
导出至
BibTeX EndNote RefMan NoteFirst NoteExpress
×
提示
您的信息不完整,为了账户安全,请先补充。
现在去补充
×
提示
您因"违规操作"
具体请查看互助需知
我知道了
×
提示
确定
请完成安全验证×
copy
已复制链接
快去分享给好友吧!
我知道了
右上角分享
点击右上角分享
0
联系我们:info@booksci.cn Book学术提供免费学术资源搜索服务,方便国内外学者检索中英文文献。致力于提供最便捷和优质的服务体验。 Copyright © 2023 布克学术 All rights reserved.
京ICP备2023020795号-1
ghs 京公网安备 11010802042870号
Book学术文献互助
Book学术文献互助群
群 号:604180095
Book学术官方微信