Podocyte Disease Following Treatment with Intravenous Ibandronate in an Older Patient.

IF 3.2 Q3 GERIATRICS & GERONTOLOGY
Annals of Geriatric Medicine and Research Pub Date : 2024-06-01 Epub Date: 2024-02-22 DOI:10.4235/agmr.23.0195
Ye Rin Chung, Hyun Soon Lee, Dong Young Lee, Sang Hee Lee, Jin Seon Jeong, Beom Kim
{"title":"Podocyte Disease Following Treatment with Intravenous Ibandronate in an Older Patient.","authors":"Ye Rin Chung, Hyun Soon Lee, Dong Young Lee, Sang Hee Lee, Jin Seon Jeong, Beom Kim","doi":"10.4235/agmr.23.0195","DOIUrl":null,"url":null,"abstract":"<p><p>Bisphosphonates are commonly used to treat osteoporosis. While renal toxicity is common with pamidronate and zoledronate, few ibandronate-related cases are reported. We describe a rare case of ibandronate-associated nephrotoxicity. An 88-year-old woman was admitted for edema. She had been receiving intravenous ibandronate treatment for postmenopausal osteoporosis and had no other diagnosed diseases. She was presented with proteinuria, hypoalbuminemia (1.9 g/dL), and an elevated serum creatinine level (1.8 mg/dL). Renal biopsy revealed podocyte disease, favoring a diagnosis of focal segmental glomerulosclerosis. She was treated with diuretics, tacrolimus, and fimasartan. Steroids were avoided due to severe osteoporosis. Three months later, the edema had subsided and the laboratory findings had improved (serum albumin 3.5 g/dL, serum creatinine 0.97 mg/dL). This case emphasizes the importance of careful monitoring of proteinuria and renal function during ibandronate treatment. In older adult patients, kidney biopsy and immunosuppressive treatment may be considered based on physical activity and underlying diseases.</p>","PeriodicalId":44729,"journal":{"name":"Annals of Geriatric Medicine and Research","volume":" ","pages":"228-230"},"PeriodicalIF":3.2000,"publicationDate":"2024-06-01","publicationTypes":"Journal Article","fieldsOfStudy":null,"isOpenAccess":false,"openAccessPdf":"https://www.ncbi.nlm.nih.gov/pmc/articles/PMC11217659/pdf/","citationCount":"0","resultStr":null,"platform":"Semanticscholar","paperid":null,"PeriodicalName":"Annals of Geriatric Medicine and Research","FirstCategoryId":"1085","ListUrlMain":"https://doi.org/10.4235/agmr.23.0195","RegionNum":0,"RegionCategory":null,"ArticlePicture":[],"TitleCN":null,"AbstractTextCN":null,"PMCID":null,"EPubDate":"2024/2/22 0:00:00","PubModel":"Epub","JCR":"Q3","JCRName":"GERIATRICS & GERONTOLOGY","Score":null,"Total":0}
引用次数: 0

Abstract

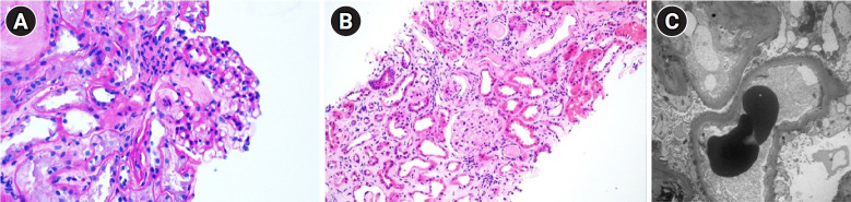
Bisphosphonates are commonly used to treat osteoporosis. While renal toxicity is common with pamidronate and zoledronate, few ibandronate-related cases are reported. We describe a rare case of ibandronate-associated nephrotoxicity. An 88-year-old woman was admitted for edema. She had been receiving intravenous ibandronate treatment for postmenopausal osteoporosis and had no other diagnosed diseases. She was presented with proteinuria, hypoalbuminemia (1.9 g/dL), and an elevated serum creatinine level (1.8 mg/dL). Renal biopsy revealed podocyte disease, favoring a diagnosis of focal segmental glomerulosclerosis. She was treated with diuretics, tacrolimus, and fimasartan. Steroids were avoided due to severe osteoporosis. Three months later, the edema had subsided and the laboratory findings had improved (serum albumin 3.5 g/dL, serum creatinine 0.97 mg/dL). This case emphasizes the importance of careful monitoring of proteinuria and renal function during ibandronate treatment. In older adult patients, kidney biopsy and immunosuppressive treatment may be considered based on physical activity and underlying diseases.

Abstract Image

一名老年患者接受伊班膦酸钠静脉注射治疗后出现荚膜细胞病变。
双膦酸盐常用于治疗骨质疏松症。帕米膦酸钠和唑来膦酸钠的肾毒性很常见,但与伊班膦酸钠相关的病例却鲜有报道。我们描述了一例罕见的伊班膦酸盐相关肾毒性病例。一名 88 岁的妇女因水肿入院。她一直在接受伊班膦酸钠静脉注射治疗绝经后骨质疏松症,没有其他确诊疾病。她出现蛋白尿、低白蛋白血症(1.9 克/分升)和血清肌酐水平升高(1.8 毫克/分升)。肾活检发现荚膜细胞病变,诊断为局灶节段性肾小球硬化症。她接受了利尿剂、他克莫司和非马沙坦治疗。由于严重的骨质疏松症,她避免使用类固醇。三个月后,水肿消退,实验室检查结果也有所改善(血清白蛋白 3.5 克/分升,血清肌酐 0.97 毫克/分升)。该病例强调了在伊班膦酸钠治疗期间仔细监测蛋白尿和肾功能的重要性。对于老年患者,可根据体力活动和基础疾病考虑进行肾活检和免疫抑制治疗。
本文章由计算机程序翻译,如有差异,请以英文原文为准。
求助全文
约1分钟内获得全文 求助全文
来源期刊
Annals of Geriatric Medicine and Research
Annals of Geriatric Medicine and Research GERIATRICS & GERONTOLOGY-
CiteScore
4.90
自引率
11.10%
发文量
35
审稿时长
4 weeks
×
引用
GB/T 7714-2015
复制
MLA
复制
APA
复制
导出至
BibTeX EndNote RefMan NoteFirst NoteExpress
×
提示
您的信息不完整,为了账户安全,请先补充。
现在去补充
×
提示
您因"违规操作"
具体请查看互助需知
我知道了
×
提示
确定
请完成安全验证×
copy
已复制链接
快去分享给好友吧!
我知道了
右上角分享
点击右上角分享
0
联系我们:info@booksci.cn Book学术提供免费学术资源搜索服务,方便国内外学者检索中英文文献。致力于提供最便捷和优质的服务体验。 Copyright © 2023 布克学术 All rights reserved.
京ICP备2023020795号-1
ghs 京公网安备 11010802042870号
Book学术文献互助
Book学术文献互助群
群 号:604180095
Book学术官方微信