Two Rare Benign Lesions on 18F-FDG PET/CT: Peliosis Hepatis and SANT.

IF 1.1 Q4 RADIOLOGY, NUCLEAR MEDICINE & MEDICAL IMAGING
Ediz Beyhan, Ahu Senem Demiröz, İbrahim Taşkın Rakıcı, Tevfik Fikret Çermik, Esra Arslan
{"title":"Two Rare Benign Lesions on <sup>18</sup>F-FDG PET/CT: Peliosis Hepatis and SANT.","authors":"Ediz Beyhan, Ahu Senem Demiröz, İbrahim Taşkın Rakıcı, Tevfik Fikret Çermik, Esra Arslan","doi":"10.4274/mirt.galenos.2023.02328","DOIUrl":null,"url":null,"abstract":"<p><p>Peliosis hepatis (PH) and sclerosing angiomatoid nodular transformation of the spleen are uncommon benign lesions. Diagnosis can be difficult in some patients. Herein, we present the case of a 28-year-old woman referred with abdominal pain who had spleen lesions. <sup>18</sup>F-fluorodeoxyglucose (FDG) positron emission tomography/computed tomography revealed multiple non-FDG avid lesions in the liver and hypermetabolic lesions in the spleen. In addition, abdominal magnetic resonance imaging was performed. Histopathology revealed sclerosing angiomatoid nodular transformation in the spleen and PH in the liver.</p>","PeriodicalId":44681,"journal":{"name":"Molecular Imaging and Radionuclide Therapy","volume":"33 1","pages":"43-46"},"PeriodicalIF":1.1000,"publicationDate":"2024-02-22","publicationTypes":"Journal Article","fieldsOfStudy":null,"isOpenAccess":false,"openAccessPdf":"https://www.ncbi.nlm.nih.gov/pmc/articles/PMC10899747/pdf/","citationCount":"0","resultStr":null,"platform":"Semanticscholar","paperid":null,"PeriodicalName":"Molecular Imaging and Radionuclide Therapy","FirstCategoryId":"1085","ListUrlMain":"https://doi.org/10.4274/mirt.galenos.2023.02328","RegionNum":0,"RegionCategory":null,"ArticlePicture":[],"TitleCN":null,"AbstractTextCN":null,"PMCID":null,"EPubDate":"","PubModel":"","JCR":"Q4","JCRName":"RADIOLOGY, NUCLEAR MEDICINE & MEDICAL IMAGING","Score":null,"Total":0}
引用次数: 0

Abstract

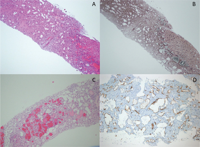
Peliosis hepatis (PH) and sclerosing angiomatoid nodular transformation of the spleen are uncommon benign lesions. Diagnosis can be difficult in some patients. Herein, we present the case of a 28-year-old woman referred with abdominal pain who had spleen lesions. 18F-fluorodeoxyglucose (FDG) positron emission tomography/computed tomography revealed multiple non-FDG avid lesions in the liver and hypermetabolic lesions in the spleen. In addition, abdominal magnetic resonance imaging was performed. Histopathology revealed sclerosing angiomatoid nodular transformation in the spleen and PH in the liver.

Abstract Image

Abstract Image

18F-FDG PET/CT 上的两种罕见良性病变:肝脓肿和 SANT。
肝脓肿(PH)和脾硬化性血管瘤样结节变是不常见的良性病变。有些患者很难确诊。在此,我们介绍了一例因腹痛而转诊的 28 岁女性脾脏病变病例。18F- 氟脱氧葡萄糖(FDG)正电子发射断层扫描/计算机断层扫描显示肝脏有多个非 FDG 阳性病变,脾脏有高代谢病变。此外,还进行了腹部磁共振成像检查。组织病理学显示,脾脏出现硬化性血管瘤样结节转化,肝脏出现 PH。
本文章由计算机程序翻译,如有差异,请以英文原文为准。
求助全文
约1分钟内获得全文 求助全文
来源期刊
Molecular Imaging and Radionuclide Therapy
Molecular Imaging and Radionuclide Therapy RADIOLOGY, NUCLEAR MEDICINE & MEDICAL IMAGING-
CiteScore
1.30
自引率
0.00%
发文量
50
期刊介绍: Molecular Imaging and Radionuclide Therapy (Mol Imaging Radionucl Ther, MIRT) is publishes original research articles, invited reviews, editorials, short communications, letters, consensus statements, guidelines and case reports with a literature review on the topic, in the field of molecular imaging, multimodality imaging, nuclear medicine, radionuclide therapy, radiopharmacy, medical physics, dosimetry and radiobiology.
×
引用
GB/T 7714-2015
复制
MLA
复制
APA
复制
导出至
BibTeX EndNote RefMan NoteFirst NoteExpress
×
提示
您的信息不完整,为了账户安全,请先补充。
现在去补充
×
提示
您因"违规操作"
具体请查看互助需知
我知道了
×
提示
确定
请完成安全验证×
copy
已复制链接
快去分享给好友吧!
我知道了
右上角分享
点击右上角分享
0
联系我们:info@booksci.cn Book学术提供免费学术资源搜索服务,方便国内外学者检索中英文文献。致力于提供最便捷和优质的服务体验。 Copyright © 2023 布克学术 All rights reserved.
京ICP备2023020795号-1
ghs 京公网安备 11010802042870号
Book学术文献互助
Book学术文献互助群
群 号:604180095
Book学术官方微信