Bone and Parathyroid Scintigraphy Findings in Sagliker Syndrome.

IF 1.1 Q4 RADIOLOGY, NUCLEAR MEDICINE & MEDICAL IMAGING
Çağlagül Erol, Özlem Şahin, Ahmet Eren Şen, Zeynep Aydın
{"title":"Bone and Parathyroid Scintigraphy Findings in Sagliker Syndrome.","authors":"Çağlagül Erol, Özlem Şahin, Ahmet Eren Şen, Zeynep Aydın","doi":"10.4274/mirt.galenos.2023.24382","DOIUrl":null,"url":null,"abstract":"<p><p>Sagliker syndrome (SS) is a rare, exaggerated form of chronic kidney disease (CKD)-mineral and bone disorder resulting from untreated secondary hyperparathyroidism due to CKD. Herein, we describe a 34-year-old male patient whose Tc-99m-methylene diphosphonate bone scintigraphy and Tc-99m-sestamibi parathyroid scintigraphy revealed hints of SS and exhibited its defining characteristics.</p>","PeriodicalId":44681,"journal":{"name":"Molecular Imaging and Radionuclide Therapy","volume":"33 1","pages":"40-42"},"PeriodicalIF":1.1000,"publicationDate":"2024-02-22","publicationTypes":"Journal Article","fieldsOfStudy":null,"isOpenAccess":false,"openAccessPdf":"https://www.ncbi.nlm.nih.gov/pmc/articles/PMC10899744/pdf/","citationCount":"0","resultStr":null,"platform":"Semanticscholar","paperid":null,"PeriodicalName":"Molecular Imaging and Radionuclide Therapy","FirstCategoryId":"1085","ListUrlMain":"https://doi.org/10.4274/mirt.galenos.2023.24382","RegionNum":0,"RegionCategory":null,"ArticlePicture":[],"TitleCN":null,"AbstractTextCN":null,"PMCID":null,"EPubDate":"","PubModel":"","JCR":"Q4","JCRName":"RADIOLOGY, NUCLEAR MEDICINE & MEDICAL IMAGING","Score":null,"Total":0}
引用次数: 0

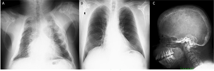
Abstract

Sagliker syndrome (SS) is a rare, exaggerated form of chronic kidney disease (CKD)-mineral and bone disorder resulting from untreated secondary hyperparathyroidism due to CKD. Herein, we describe a 34-year-old male patient whose Tc-99m-methylene diphosphonate bone scintigraphy and Tc-99m-sestamibi parathyroid scintigraphy revealed hints of SS and exhibited its defining characteristics.

Abstract Image

Abstract Image

萨格里克综合征的骨骼和甲状旁腺闪烁扫描结果
萨格利克综合征(Sagliker syndrome,SS)是慢性肾脏病(CKD)的一种罕见、夸张的矿物质和骨骼疾病,由于CKD引起的继发性甲状旁腺功能亢进症未经治疗而导致。在这里,我们描述了一名34岁的男性患者,他的Tc-99m-亚甲基二膦酸盐骨闪烁扫描和Tc-99m-sestamibi甲状旁腺闪烁扫描显示出了SS的蛛丝马迹,并表现出了SS的特征。
本文章由计算机程序翻译,如有差异,请以英文原文为准。
求助全文
约1分钟内获得全文 求助全文
来源期刊
Molecular Imaging and Radionuclide Therapy
Molecular Imaging and Radionuclide Therapy RADIOLOGY, NUCLEAR MEDICINE & MEDICAL IMAGING-
CiteScore
1.30
自引率
0.00%
发文量
50
期刊介绍: Molecular Imaging and Radionuclide Therapy (Mol Imaging Radionucl Ther, MIRT) is publishes original research articles, invited reviews, editorials, short communications, letters, consensus statements, guidelines and case reports with a literature review on the topic, in the field of molecular imaging, multimodality imaging, nuclear medicine, radionuclide therapy, radiopharmacy, medical physics, dosimetry and radiobiology.
×
引用
GB/T 7714-2015
复制
MLA
复制
APA
复制
导出至
BibTeX EndNote RefMan NoteFirst NoteExpress
×
提示
您的信息不完整,为了账户安全,请先补充。
现在去补充
×
提示
您因"违规操作"
具体请查看互助需知
我知道了
×
提示
确定
请完成安全验证×
copy
已复制链接
快去分享给好友吧!
我知道了
右上角分享
点击右上角分享
0
联系我们:info@booksci.cn Book学术提供免费学术资源搜索服务,方便国内外学者检索中英文文献。致力于提供最便捷和优质的服务体验。 Copyright © 2023 布克学术 All rights reserved.
京ICP备2023020795号-1
ghs 京公网安备 11010802042870号
Book学术文献互助
Book学术文献互助群
群 号:604180095
Book学术官方微信