Atypical Presentation of Metastatic Castrate-resistant Prostate Cancer in a Middle Aged African Male with Good Response to Radioligand Therapy.

IF 1.1 Q4 RADIOLOGY, NUCLEAR MEDICINE & MEDICAL IMAGING
Osayande Evbuomwan, Walter Endres, Tebatso Tebeila, Gerrit Engelbrecht
{"title":"Atypical Presentation of Metastatic Castrate-resistant Prostate Cancer in a Middle Aged African Male with Good Response to Radioligand Therapy.","authors":"Osayande Evbuomwan, Walter Endres, Tebatso Tebeila, Gerrit Engelbrecht","doi":"10.4274/mirt.galenos.2023.13471","DOIUrl":null,"url":null,"abstract":"<p><p>Prostate cancer typically follows a characteristic pattern of metastatic spread to the pelvic lymph nodes and bone. Atypical patterns of metastasis are rare but have been documented. In African men, this disease tends to follow a more aggressive course, with the possibility of an atypical site of metastatic spread. We present a case of a 58-year- old African male with metastatic castrate-resistant prostate cancer who presented with both typical and atypical patterns of metastatic disease detected by a fluorine 18 prostate-specific membrane antigen positron emission tomography/computed tomography scan. This patient also had a good response to radioligand therapy.</p>","PeriodicalId":44681,"journal":{"name":"Molecular Imaging and Radionuclide Therapy","volume":"33 1","pages":"57-62"},"PeriodicalIF":1.1000,"publicationDate":"2024-02-22","publicationTypes":"Journal Article","fieldsOfStudy":null,"isOpenAccess":false,"openAccessPdf":"https://www.ncbi.nlm.nih.gov/pmc/articles/PMC10899738/pdf/","citationCount":"0","resultStr":null,"platform":"Semanticscholar","paperid":null,"PeriodicalName":"Molecular Imaging and Radionuclide Therapy","FirstCategoryId":"1085","ListUrlMain":"https://doi.org/10.4274/mirt.galenos.2023.13471","RegionNum":0,"RegionCategory":null,"ArticlePicture":[],"TitleCN":null,"AbstractTextCN":null,"PMCID":null,"EPubDate":"","PubModel":"","JCR":"Q4","JCRName":"RADIOLOGY, NUCLEAR MEDICINE & MEDICAL IMAGING","Score":null,"Total":0}
引用次数: 0

Abstract

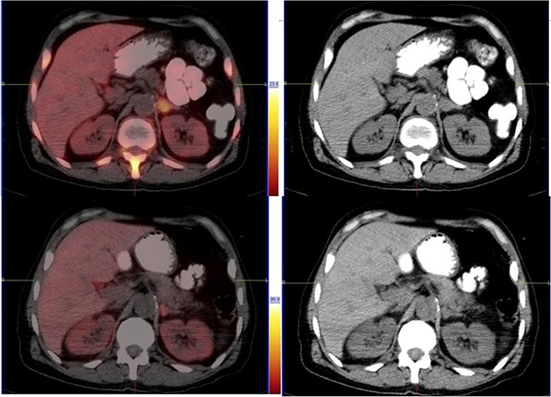
Prostate cancer typically follows a characteristic pattern of metastatic spread to the pelvic lymph nodes and bone. Atypical patterns of metastasis are rare but have been documented. In African men, this disease tends to follow a more aggressive course, with the possibility of an atypical site of metastatic spread. We present a case of a 58-year- old African male with metastatic castrate-resistant prostate cancer who presented with both typical and atypical patterns of metastatic disease detected by a fluorine 18 prostate-specific membrane antigen positron emission tomography/computed tomography scan. This patient also had a good response to radioligand therapy.

Abstract Image

Abstract Image

Abstract Image

一名对放射性配体疗法反应良好的非洲中年男性转移性抗阉割前列腺癌的非典型表现。
前列腺癌通常会向盆腔淋巴结和骨骼转移,这是前列腺癌的典型转移模式。不典型的转移模式很少见,但也有记录。在非洲男性中,这种疾病的病程往往更具侵袭性,转移扩散的部位也可能不典型。我们介绍了一例 58 岁的非洲男性转移性阉割耐药前列腺癌患者,通过氟 18 前列腺特异性膜抗原正电子发射断层扫描/计算机断层扫描发现,该患者既有典型的转移病灶,也有非典型的转移病灶。这名患者对放射性配体疗法也有良好的反应。
本文章由计算机程序翻译,如有差异,请以英文原文为准。
求助全文
约1分钟内获得全文 求助全文
来源期刊
Molecular Imaging and Radionuclide Therapy
Molecular Imaging and Radionuclide Therapy RADIOLOGY, NUCLEAR MEDICINE & MEDICAL IMAGING-
CiteScore
1.30
自引率
0.00%
发文量
50
期刊介绍: Molecular Imaging and Radionuclide Therapy (Mol Imaging Radionucl Ther, MIRT) is publishes original research articles, invited reviews, editorials, short communications, letters, consensus statements, guidelines and case reports with a literature review on the topic, in the field of molecular imaging, multimodality imaging, nuclear medicine, radionuclide therapy, radiopharmacy, medical physics, dosimetry and radiobiology.
×
引用
GB/T 7714-2015
复制
MLA
复制
APA
复制
导出至
BibTeX EndNote RefMan NoteFirst NoteExpress
×
提示
您的信息不完整,为了账户安全,请先补充。
现在去补充
×
提示
您因"违规操作"
具体请查看互助需知
我知道了
×
提示
确定
请完成安全验证×
copy
已复制链接
快去分享给好友吧!
我知道了
右上角分享
点击右上角分享
0
联系我们:info@booksci.cn Book学术提供免费学术资源搜索服务,方便国内外学者检索中英文文献。致力于提供最便捷和优质的服务体验。 Copyright © 2023 布克学术 All rights reserved.
京ICP备2023020795号-1
ghs 京公网安备 11010802042870号
Book学术文献互助
Book学术文献互助群
群 号:604180095
Book学术官方微信