Impact of Stem Cells on Reparative Regeneration in Abdominal and Dorsal Skin in the Rat.

IF 2.5 Q3 DEVELOPMENTAL BIOLOGY
Evgeniya Kananykhina, Andrey Elchaninov, Galina Bolshakova
{"title":"Impact of Stem Cells on Reparative Regeneration in Abdominal and Dorsal Skin in the Rat.","authors":"Evgeniya Kananykhina, Andrey Elchaninov, Galina Bolshakova","doi":"10.3390/jdb12010006","DOIUrl":null,"url":null,"abstract":"<p><p>A characteristic feature of repair processes in mammals is the formation of scar tissue at the site of injury, which is designed to quickly prevent contact between the internal environment of the organism and the external environment. Despite this general pattern, different organs differ in the degree of severity of scar changes in response to injury. One of the areas in which regeneration after wounding leads to the formation of a structure close to the original one is the abdominal skin of laboratory rats. Finding out the reasons for such a phenomenon is essential for the development of ways to stimulate full regeneration. The model of skin wound healing in the abdominal region of laboratory animals was reproduced in this work. It was found that the wound surface is completely epithelialized on the abdomen by 20 days, while on the back-by 30 days. The qPCR method revealed higher expression of marker genes of skin stem cells (<i>Sox9</i>, <i>Lgr6</i>, <i>Gli1</i>, <i>Lrig1</i>) in the intact skin of the abdomen compared to the back, which corresponded to a greater number of hairs with which stem cells are associated on the abdomen compared to the back. Considering that some stem cell populations are associated with hair, it can be suggested that one of the factors in faster regeneration of abdominal skin in the rat is the greater number of stem cells in this area.</p>","PeriodicalId":15563,"journal":{"name":"Journal of Developmental Biology","volume":"12 1","pages":""},"PeriodicalIF":2.5000,"publicationDate":"2024-01-27","publicationTypes":"Journal Article","fieldsOfStudy":null,"isOpenAccess":false,"openAccessPdf":"https://www.ncbi.nlm.nih.gov/pmc/articles/PMC10885081/pdf/","citationCount":"0","resultStr":null,"platform":"Semanticscholar","paperid":null,"PeriodicalName":"Journal of Developmental Biology","FirstCategoryId":"1085","ListUrlMain":"https://doi.org/10.3390/jdb12010006","RegionNum":0,"RegionCategory":null,"ArticlePicture":[],"TitleCN":null,"AbstractTextCN":null,"PMCID":null,"EPubDate":"","PubModel":"","JCR":"Q3","JCRName":"DEVELOPMENTAL BIOLOGY","Score":null,"Total":0}
引用次数: 0

Abstract

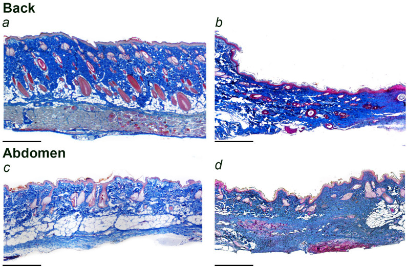
A characteristic feature of repair processes in mammals is the formation of scar tissue at the site of injury, which is designed to quickly prevent contact between the internal environment of the organism and the external environment. Despite this general pattern, different organs differ in the degree of severity of scar changes in response to injury. One of the areas in which regeneration after wounding leads to the formation of a structure close to the original one is the abdominal skin of laboratory rats. Finding out the reasons for such a phenomenon is essential for the development of ways to stimulate full regeneration. The model of skin wound healing in the abdominal region of laboratory animals was reproduced in this work. It was found that the wound surface is completely epithelialized on the abdomen by 20 days, while on the back-by 30 days. The qPCR method revealed higher expression of marker genes of skin stem cells (Sox9, Lgr6, Gli1, Lrig1) in the intact skin of the abdomen compared to the back, which corresponded to a greater number of hairs with which stem cells are associated on the abdomen compared to the back. Considering that some stem cell populations are associated with hair, it can be suggested that one of the factors in faster regeneration of abdominal skin in the rat is the greater number of stem cells in this area.

Abstract Image

Abstract Image

Abstract Image

干细胞对大鼠腹部和背部皮肤修复再生的影响
哺乳动物修复过程的一个特点是在受伤部位形成疤痕组织,其目的是迅速阻止机体内部环境与外部环境的接触。尽管存在这种一般模式,但不同器官在受伤后疤痕变化的严重程度上有所不同。实验鼠的腹部皮肤是伤口再生后形成接近原始结构的部位之一。找出这种现象的原因对于开发刺激全面再生的方法至关重要。这项研究再现了实验动物腹部皮肤伤口愈合的模型。结果发现,腹部的伤口表面在 20 天内完全上皮化,而背部则在 30 天内完全上皮化。qPCR方法显示,腹部完整皮肤中皮肤干细胞标记基因(Sox9、Lgr6、Gli1、Lrig1)的表达量高于背部,这与腹部干细胞相关毛发数量多于背部相对应。考虑到一些干细胞群与毛发相关,可以认为大鼠腹部皮肤再生更快的因素之一是该区域干细胞数量更多。
本文章由计算机程序翻译,如有差异,请以英文原文为准。
求助全文
约1分钟内获得全文 求助全文
来源期刊
Journal of Developmental Biology
Journal of Developmental Biology Biochemistry, Genetics and Molecular Biology-Developmental Biology
CiteScore
4.10
自引率
18.50%
发文量
44
审稿时长
11 weeks
期刊介绍: The Journal of Developmental Biology (ISSN 2221-3759) is an international, peer-reviewed, quick-refereeing, open access journal, which publishes reviews, research papers and communications on the development of multicellular organisms at the molecule, cell, tissue, organ and whole organism levels. Our aim is to encourage researchers to effortlessly publish their new findings or concepts rapidly in an open access medium, overseen by their peers. There is no restriction on the length of the papers; the full experimental details must be provided so that the results can be reproduced. Electronic files regarding the full details of the experimental procedure, if unable to be published in a normal way, can be deposited as supplementary material. Journal of Developmental Biology focuses on: -Development mechanisms and genetics -Cell differentiation -Embryonal development -Tissue/organism growth -Metamorphosis and regeneration of the organisms. It involves many biological fields, such as Molecular biology, Genetics, Physiology, Cell biology, Anatomy, Embryology, Cancer research, Neurobiology, Immunology, Ecology, Evolutionary biology.
×
引用
GB/T 7714-2015
复制
MLA
复制
APA
复制
导出至
BibTeX EndNote RefMan NoteFirst NoteExpress
×
提示
您的信息不完整,为了账户安全,请先补充。
现在去补充
×
提示
您因"违规操作"
具体请查看互助需知
我知道了
×
提示
确定
请完成安全验证×
copy
已复制链接
快去分享给好友吧!
我知道了
右上角分享
点击右上角分享
0
联系我们:info@booksci.cn Book学术提供免费学术资源搜索服务,方便国内外学者检索中英文文献。致力于提供最便捷和优质的服务体验。 Copyright © 2023 布克学术 All rights reserved.
京ICP备2023020795号-1
ghs 京公网安备 11010802042870号
Book学术文献互助
Book学术文献互助群
群 号:604180095
Book学术官方微信