Developmental Anomalies in Human Teeth: Odontoblastic Differentiation in Hamartomatous Calcifying Hyperplastic Dental Follicles Presenting with DSP, Nestin, and HES1.

IF 2.5 Q3 DEVELOPMENTAL BIOLOGY
Hiromasa Hasegawa, Katsumitsu Shimada, Takanaga Ochiai, Yasuo Okada
{"title":"Developmental Anomalies in Human Teeth: Odontoblastic Differentiation in Hamartomatous Calcifying Hyperplastic Dental Follicles Presenting with DSP, Nestin, and HES1.","authors":"Hiromasa Hasegawa, Katsumitsu Shimada, Takanaga Ochiai, Yasuo Okada","doi":"10.3390/jdb12010007","DOIUrl":null,"url":null,"abstract":"<p><p>Hyperplastic dental follicles (HDFs) represent odontogenic hamartomatous lesions originating from the pericoronal tissues and are often associated with impacted or embedded teeth. These lesions may occasionally feature unique calcifying bodies, known as calcifying whorled nodules (CWNs), characterized by stromal cells arranged in a whorled or spiral fashion. CWNs are typically observed in multiple calcifying hyperplastic dental follicles or regional odontodysplasia. In our study, we examined 40 cases of HDFs, including nine instances with characteristics of CWNs, referred to as calcifying hyperplastic dental follicles (CHDFs), which are infrequently accompanied by odontodysplasia. The median ages of the HDFs and CHDFs were 16 (ranging from 3 to 66) and 15 (ranging from 11 to 50) years, respectively. The lower third molars were the most frequently affected by HDSFs and CHDFs, followed by the upper canines. A histological examination was conducted on all 40 cases, with an immunohistochemical analysis performed on 21 of them. Among the cases with CWN, nine affected a single embedded tooth, with one exception. CWNs exhibited diverse calcifications featuring sparse or entirely deposited psammoma bodies, and some displayed dentinoid formation. Immunohistochemically, the stromal cells of HDFs were frequently positive for CD56 and nestin. By contrast, CWNs were negative for CD56 but positive for nestin as well as hairy and enhancer split 1 (HES1), with a few dentin sialoprotein (DSP)-positive calcified bodies. Our results revealed that hamartomatous CHDFs can impact multiple and single-embedded teeth. CWNs composed of nestin and HES1-positive ectomesenchymal cells demonstrated the potential to differentiate into odontoblasts and contribute to dentin matrix formation under the influence of HES1. This study is the first report documenting odontoblastic differentiation in HDFs. The rare occurrence of HDFs and CHDFs contributes to limited comprehension. To prevent misdiagnosis, a better understanding of these conditions is necessary.</p>","PeriodicalId":15563,"journal":{"name":"Journal of Developmental Biology","volume":"12 1","pages":""},"PeriodicalIF":2.5000,"publicationDate":"2024-01-30","publicationTypes":"Journal Article","fieldsOfStudy":null,"isOpenAccess":false,"openAccessPdf":"https://www.ncbi.nlm.nih.gov/pmc/articles/PMC10885117/pdf/","citationCount":"0","resultStr":null,"platform":"Semanticscholar","paperid":null,"PeriodicalName":"Journal of Developmental Biology","FirstCategoryId":"1085","ListUrlMain":"https://doi.org/10.3390/jdb12010007","RegionNum":0,"RegionCategory":null,"ArticlePicture":[],"TitleCN":null,"AbstractTextCN":null,"PMCID":null,"EPubDate":"","PubModel":"","JCR":"Q3","JCRName":"DEVELOPMENTAL BIOLOGY","Score":null,"Total":0}
引用次数: 0

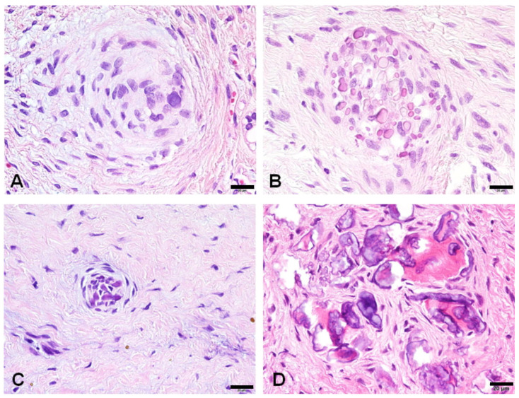
Abstract

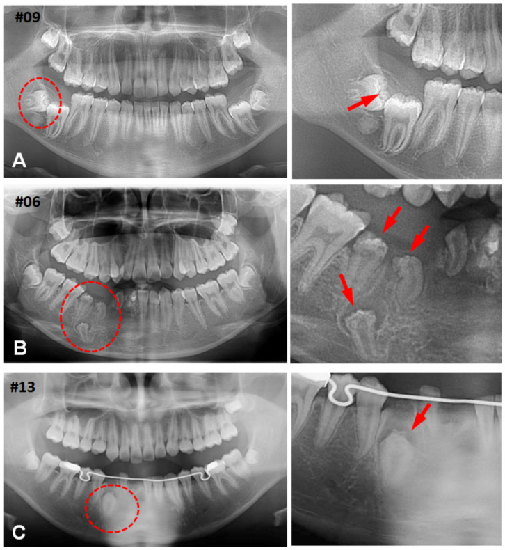
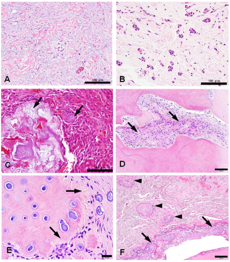
Hyperplastic dental follicles (HDFs) represent odontogenic hamartomatous lesions originating from the pericoronal tissues and are often associated with impacted or embedded teeth. These lesions may occasionally feature unique calcifying bodies, known as calcifying whorled nodules (CWNs), characterized by stromal cells arranged in a whorled or spiral fashion. CWNs are typically observed in multiple calcifying hyperplastic dental follicles or regional odontodysplasia. In our study, we examined 40 cases of HDFs, including nine instances with characteristics of CWNs, referred to as calcifying hyperplastic dental follicles (CHDFs), which are infrequently accompanied by odontodysplasia. The median ages of the HDFs and CHDFs were 16 (ranging from 3 to 66) and 15 (ranging from 11 to 50) years, respectively. The lower third molars were the most frequently affected by HDSFs and CHDFs, followed by the upper canines. A histological examination was conducted on all 40 cases, with an immunohistochemical analysis performed on 21 of them. Among the cases with CWN, nine affected a single embedded tooth, with one exception. CWNs exhibited diverse calcifications featuring sparse or entirely deposited psammoma bodies, and some displayed dentinoid formation. Immunohistochemically, the stromal cells of HDFs were frequently positive for CD56 and nestin. By contrast, CWNs were negative for CD56 but positive for nestin as well as hairy and enhancer split 1 (HES1), with a few dentin sialoprotein (DSP)-positive calcified bodies. Our results revealed that hamartomatous CHDFs can impact multiple and single-embedded teeth. CWNs composed of nestin and HES1-positive ectomesenchymal cells demonstrated the potential to differentiate into odontoblasts and contribute to dentin matrix formation under the influence of HES1. This study is the first report documenting odontoblastic differentiation in HDFs. The rare occurrence of HDFs and CHDFs contributes to limited comprehension. To prevent misdiagnosis, a better understanding of these conditions is necessary.

Abstract Image

Abstract Image

Abstract Image

人类牙齿的发育异常:伴有 DSP、Nestin 和 HES1 的 Hamartomatous Calcifying Hyperplastic Dental Follicles 中的牙胚分化。
增生性牙齿滤泡(HDFs)是源于冠周组织的牙源性肉芽肿病变,通常与阻生牙或嵌塞牙有关。这些病变偶尔会出现独特的钙化体,即钙化轮状结节(CWNs),其特点是基质细胞呈轮状或螺旋状排列。钙化白结节通常出现在多个钙化增生的牙泡或区域性牙体增生症中。在我们的研究中,我们检查了 40 例 HDFs,包括 9 例具有 CWNs 特征的 HDFs,这些 HDFs 被称为钙化增生性牙体滤泡(CHDFs),很少伴有牙体增生。HDFs和CHDFs的中位年龄分别为16岁(从3岁到66岁不等)和15岁(从11岁到50岁不等)。HDSF和CHDF最常发生在下第三磨牙,其次是上犬齿。对所有 40 个病例进行了组织学检查,并对其中 21 个病例进行了免疫组化分析。在患有 CWN 的病例中,除一例外,其余九例只影响一颗嵌入的牙齿。CWN表现出不同的钙化特征,有的呈稀疏沉积,有的则完全沉积,有的还表现出牙本质形成。免疫组化结果显示,HDFs 的基质细胞 CD56 和 nestin 常呈阳性。相比之下,CWNs的CD56呈阴性,但巢蛋白以及毛发和增强子分裂1(HES1)呈阳性,并伴有少量牙本质唾液蛋白(DSP)阳性的钙化体。我们的研究结果表明,hamartomatous CHDFs可影响多颗和单颗嵌入的牙齿。由巢蛋白和 HES1 阳性的外生充质细胞组成的 CWN 有可能分化成牙本质细胞,并在 HES1 的影响下促进牙本质基质的形成。该研究是第一份记录HDFs牙本质分化的报告。HDFs 和 CHDFs 的罕见性导致了对其理解的局限性。为了防止误诊,有必要更好地了解这些病症。
本文章由计算机程序翻译,如有差异,请以英文原文为准。
求助全文
约1分钟内获得全文 求助全文
来源期刊
Journal of Developmental Biology
Journal of Developmental Biology Biochemistry, Genetics and Molecular Biology-Developmental Biology
CiteScore
4.10
自引率
18.50%
发文量
44
审稿时长
11 weeks
期刊介绍: The Journal of Developmental Biology (ISSN 2221-3759) is an international, peer-reviewed, quick-refereeing, open access journal, which publishes reviews, research papers and communications on the development of multicellular organisms at the molecule, cell, tissue, organ and whole organism levels. Our aim is to encourage researchers to effortlessly publish their new findings or concepts rapidly in an open access medium, overseen by their peers. There is no restriction on the length of the papers; the full experimental details must be provided so that the results can be reproduced. Electronic files regarding the full details of the experimental procedure, if unable to be published in a normal way, can be deposited as supplementary material. Journal of Developmental Biology focuses on: -Development mechanisms and genetics -Cell differentiation -Embryonal development -Tissue/organism growth -Metamorphosis and regeneration of the organisms. It involves many biological fields, such as Molecular biology, Genetics, Physiology, Cell biology, Anatomy, Embryology, Cancer research, Neurobiology, Immunology, Ecology, Evolutionary biology.
×
引用
GB/T 7714-2015
复制
MLA
复制
APA
复制
导出至
BibTeX EndNote RefMan NoteFirst NoteExpress
×
提示
您的信息不完整,为了账户安全,请先补充。
现在去补充
×
提示
您因"违规操作"
具体请查看互助需知
我知道了
×
提示
确定
请完成安全验证×
copy
已复制链接
快去分享给好友吧!
我知道了
右上角分享
点击右上角分享
0
联系我们:info@booksci.cn Book学术提供免费学术资源搜索服务,方便国内外学者检索中英文文献。致力于提供最便捷和优质的服务体验。 Copyright © 2023 布克学术 All rights reserved.
京ICP备2023020795号-1
ghs 京公网安备 11010802042870号
Book学术文献互助
Book学术文献互助群
群 号:604180095
Book学术官方微信