An adult with recurrent atypical teratoid rhabdoid tumor of the spine.

Q1 Medicine
CNS Oncology Pub Date : 2024-01-01 Epub Date: 2024-02-21 DOI:10.2217/cns-2023-0017
Antoinette J Charles, Vanessa L Smith, C Rory Goodwin, Margaret O Johnson
{"title":"An adult with recurrent atypical teratoid rhabdoid tumor of the spine.","authors":"Antoinette J Charles, Vanessa L Smith, C Rory Goodwin, Margaret O Johnson","doi":"10.2217/cns-2023-0017","DOIUrl":null,"url":null,"abstract":"<p><p>Atypical teratoid rhabdoid tumors (AT/RT) are rare and highly malignant CNS neoplasms primarily affecting children. Adult cases are extremely uncommon, with only approximately 92 reported. Spinal AT/RT in adults is particularly rare. Here, we present the case of a 50-year-old patient diagnosed with AT/RT of the spine. Initially, they were diagnosed and treated for a spinal ependymoma. However, after 10 years, a recurrence was detected through magnetic resonance imaging (MRI) and the tumor was reclassified as AT/RT. We discuss the significance of <i>SMARCB1</i> gene mutations in diagnosing AT/RT and describe our unique treatment approach involving surgery, radiation and anti-PD1 therapy in this patient.</p>","PeriodicalId":10469,"journal":{"name":"CNS Oncology","volume":" ","pages":"CNS105"},"PeriodicalIF":0.0000,"publicationDate":"2024-01-01","publicationTypes":"Journal Article","fieldsOfStudy":null,"isOpenAccess":false,"openAccessPdf":"https://www.ncbi.nlm.nih.gov/pmc/articles/PMC11131339/pdf/","citationCount":"0","resultStr":null,"platform":"Semanticscholar","paperid":null,"PeriodicalName":"CNS Oncology","FirstCategoryId":"1085","ListUrlMain":"https://doi.org/10.2217/cns-2023-0017","RegionNum":0,"RegionCategory":null,"ArticlePicture":[],"TitleCN":null,"AbstractTextCN":null,"PMCID":null,"EPubDate":"2024/2/21 0:00:00","PubModel":"Epub","JCR":"Q1","JCRName":"Medicine","Score":null,"Total":0}
引用次数: 0

Abstract

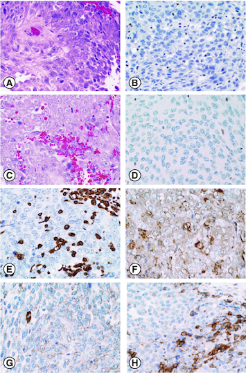
Atypical teratoid rhabdoid tumors (AT/RT) are rare and highly malignant CNS neoplasms primarily affecting children. Adult cases are extremely uncommon, with only approximately 92 reported. Spinal AT/RT in adults is particularly rare. Here, we present the case of a 50-year-old patient diagnosed with AT/RT of the spine. Initially, they were diagnosed and treated for a spinal ependymoma. However, after 10 years, a recurrence was detected through magnetic resonance imaging (MRI) and the tumor was reclassified as AT/RT. We discuss the significance of SMARCB1 gene mutations in diagnosing AT/RT and describe our unique treatment approach involving surgery, radiation and anti-PD1 therapy in this patient.

Abstract Image

Abstract Image

一名患有复发性脊柱非典型畸胎横纹肌瘤的成年人。
非典型畸形横纹肌瘤(AT/RT)是一种罕见的高度恶性中枢神经系统肿瘤,主要影响儿童。成人病例极为罕见,仅有约 92 例报道。成人脊髓横纹肌瘤尤其罕见。在此,我们介绍一例被诊断为脊柱 AT/RT 的 50 岁患者。最初,他们被诊断为脊柱上皮瘤并接受了治疗。然而,10 年后,通过磁共振成像(MRI)发现肿瘤复发,肿瘤被重新归类为 AT/RT。我们讨论了 SMARCB1 基因突变在诊断 AT/RT 中的意义,并介绍了我们对该患者采取的包括手术、放疗和抗 PD1 治疗在内的独特治疗方法。
本文章由计算机程序翻译,如有差异,请以英文原文为准。
求助全文
约1分钟内获得全文 求助全文
来源期刊
CNS Oncology
CNS Oncology Medicine-Neurology (clinical)
CiteScore
3.80
自引率
0.00%
发文量
12
审稿时长
13 weeks
×
引用
GB/T 7714-2015
复制
MLA
复制
APA
复制
导出至
BibTeX EndNote RefMan NoteFirst NoteExpress
×
提示
您的信息不完整,为了账户安全,请先补充。
现在去补充
×
提示
您因"违规操作"
具体请查看互助需知
我知道了
×
提示
确定
请完成安全验证×
copy
已复制链接
快去分享给好友吧!
我知道了
右上角分享
点击右上角分享
0
联系我们:info@booksci.cn Book学术提供免费学术资源搜索服务,方便国内外学者检索中英文文献。致力于提供最便捷和优质的服务体验。 Copyright © 2023 布克学术 All rights reserved.
京ICP备2023020795号-1
ghs 京公网安备 11010802042870号
Book学术文献互助
Book学术文献互助群
群 号:604180095
Book学术官方微信