Acute interstitial nephritis with acute kidney injury after COVID-19 vaccination: a case report.

IF 1.3 Q4 IMMUNOLOGY
Jimin Lim, Jin Hyuk Paek, Hyeong Chan Shin, Woo Yeong Park, Kyubok Jin, Misun Choe, Seungyeup Han, Yaerim Kim
{"title":"Acute interstitial nephritis with acute kidney injury after COVID-19 vaccination: a case report.","authors":"Jimin Lim, Jin Hyuk Paek, Hyeong Chan Shin, Woo Yeong Park, Kyubok Jin, Misun Choe, Seungyeup Han, Yaerim Kim","doi":"10.7774/cevr.2024.13.1.68","DOIUrl":null,"url":null,"abstract":"<p><p>In the context of the massive spread of coronavirus disease 2019 (COVID-19), the development of a COVID-19 vaccine is urgently needed. The Pfizer-BioNTech COVID-19 vaccine has been widely applied across global populations. Herein, we report a case of acute interstitial nephritis with acute kidney injury in a young healthy subject after administration of the COVID-19 vaccine. A 20-year-old man was admitted with abdominal discomfort and nausea. He had received the Pfizer-BioNTech COVID-19 vaccine 6 days before. At 9 days after vaccination, his kidney function was decreased, with serum creatinine levels of 1.8 mg/dL. Even with supportive care with hydration, his kidney function worsened, and he underwent a kidney biopsy. The pathology findings revealed diffuse interstitial infiltration of inflammatory cells, predominantly comprising lymphocytes, with preservation of the glomerulus. No abnormal findings were noted by immunofluorescence or electron microscopy. Based on a diagnosis of drug-related acute interstitial nephritis, we treated the patient with high-dose prednisolone. After administration of prednisolone, kidney function slowly improved. A close linkage between COVID-19 vaccination and acute interstitial nephritis should be considered in the clinic, despite the low incidence.</p>","PeriodicalId":51768,"journal":{"name":"Clinical and Experimental Vaccine Research","volume":"13 1","pages":"68-71"},"PeriodicalIF":1.3000,"publicationDate":"2024-01-01","publicationTypes":"Journal Article","fieldsOfStudy":null,"isOpenAccess":false,"openAccessPdf":"https://www.ncbi.nlm.nih.gov/pmc/articles/PMC10864883/pdf/","citationCount":"0","resultStr":null,"platform":"Semanticscholar","paperid":null,"PeriodicalName":"Clinical and Experimental Vaccine Research","FirstCategoryId":"1085","ListUrlMain":"https://doi.org/10.7774/cevr.2024.13.1.68","RegionNum":0,"RegionCategory":null,"ArticlePicture":[],"TitleCN":null,"AbstractTextCN":null,"PMCID":null,"EPubDate":"2024/1/31 0:00:00","PubModel":"Epub","JCR":"Q4","JCRName":"IMMUNOLOGY","Score":null,"Total":0}
引用次数: 0

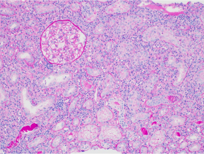
Abstract

In the context of the massive spread of coronavirus disease 2019 (COVID-19), the development of a COVID-19 vaccine is urgently needed. The Pfizer-BioNTech COVID-19 vaccine has been widely applied across global populations. Herein, we report a case of acute interstitial nephritis with acute kidney injury in a young healthy subject after administration of the COVID-19 vaccine. A 20-year-old man was admitted with abdominal discomfort and nausea. He had received the Pfizer-BioNTech COVID-19 vaccine 6 days before. At 9 days after vaccination, his kidney function was decreased, with serum creatinine levels of 1.8 mg/dL. Even with supportive care with hydration, his kidney function worsened, and he underwent a kidney biopsy. The pathology findings revealed diffuse interstitial infiltration of inflammatory cells, predominantly comprising lymphocytes, with preservation of the glomerulus. No abnormal findings were noted by immunofluorescence or electron microscopy. Based on a diagnosis of drug-related acute interstitial nephritis, we treated the patient with high-dose prednisolone. After administration of prednisolone, kidney function slowly improved. A close linkage between COVID-19 vaccination and acute interstitial nephritis should be considered in the clinic, despite the low incidence.

Abstract Image

Abstract Image

接种 COVID-19 疫苗后出现急性肾损伤的急性间质性肾炎:病例报告。
在冠状病毒病 2019(COVID-19)大规模传播的背景下,迫切需要开发 COVID-19 疫苗。辉瑞-生物技术公司的 COVID-19 疫苗已在全球人群中广泛应用。在此,我们报告了一例年轻健康人在接种 COVID-19 疫苗后出现急性间质性肾炎并伴有急性肾损伤的病例。一名 20 岁男子因腹部不适和恶心入院。他在6天前接种了辉瑞生物技术公司生产的COVID-19疫苗。接种疫苗 9 天后,他的肾功能下降,血清肌酐水平为 1.8 mg/dL。即使进行了补液等支持性护理,他的肾功能还是恶化了,于是他接受了肾活检。病理检查结果显示炎症细胞弥漫性间质浸润,主要由淋巴细胞组成,肾小球保存完好。免疫荧光或电子显微镜检查均未发现异常。根据与药物有关的急性间质性肾炎的诊断,我们对患者进行了大剂量泼尼松龙治疗。使用泼尼松龙后,肾功能缓慢改善。尽管 COVID-19 疫苗接种与急性间质性肾炎的发病率较低,但临床上应考虑到两者之间的密切联系。
本文章由计算机程序翻译,如有差异,请以英文原文为准。
求助全文
约1分钟内获得全文 求助全文
来源期刊
CiteScore
3.70
自引率
3.70%
发文量
29
审稿时长
8 weeks
期刊介绍: Clin Exp Vaccine Res, the official English journal of the Korean Vaccine Society, is an international, peer reviewed, and open-access journal. It covers all areas related to vaccines and vaccination. Clin Exp Vaccine Res publishes editorials, review articles, special articles, original articles, case reports, brief communications, and correspondences covering a wide range of clinical and experimental subjects including vaccines and vaccination for human and animals against infectious diseases caused by viruses, bacteria, parasites and tumor. The scope of the journal is to disseminate information that may contribute to elaborate vaccine development and vaccination strategies targeting infectious diseases and tumors in human and animals. Relevant topics range from experimental approaches to (pre)clinical trials for the vaccine research based on, but not limited to, basic laboratory, translational, and (pre)clinical investigations, epidemiology of infectious diseases and progression of all aspects in the health related issues. It is published printed and open accessed online issues (https://ecevr.org) two times per year in 31 January and 31 July. Clin Exp Vaccine Res is linked to many international databases and is made freely available to institutions and individuals worldwide
×
引用
GB/T 7714-2015
复制
MLA
复制
APA
复制
导出至
BibTeX EndNote RefMan NoteFirst NoteExpress
×
提示
您的信息不完整,为了账户安全,请先补充。
现在去补充
×
提示
您因"违规操作"
具体请查看互助需知
我知道了
×
提示
确定
请完成安全验证×
copy
已复制链接
快去分享给好友吧!
我知道了
右上角分享
点击右上角分享
0
联系我们:info@booksci.cn Book学术提供免费学术资源搜索服务,方便国内外学者检索中英文文献。致力于提供最便捷和优质的服务体验。 Copyright © 2023 布克学术 All rights reserved.
京ICP备2023020795号-1
ghs 京公网安备 11010802042870号
Book学术文献互助
Book学术文献互助群
群 号:604180095
Book学术官方微信