Prevalence, predictors, and outcome of pulmonary mucormycosis in COVID-19 associated rhino orbital mucormycosis in a tertiary care center in South India.

Q3 Medicine
Karthigeyan Thanjavur Sethuraman, Jayaraj Athimanjeri Thiruvengadam, Abinaya Ravichandran, Santhi Thoppappatty Sengottaiyan
{"title":"Prevalence, predictors, and outcome of pulmonary mucormycosis in COVID-19 associated rhino orbital mucormycosis in a tertiary care center in South India.","authors":"Karthigeyan Thanjavur Sethuraman, Jayaraj Athimanjeri Thiruvengadam, Abinaya Ravichandran, Santhi Thoppappatty Sengottaiyan","doi":"10.22034/cmm.2023.345154.1486","DOIUrl":null,"url":null,"abstract":"<p><strong>Background and purpose: </strong>India witnessed an explosive rise in mucormycosis following COVID-19 infection. Pulmonary mucormycosis closely followed rhino orbital mucormycosis as the most common presentation. The need for advanced resources and lack of clinical suspicion for COVID-19-associated pulmonary mucormycosis led to widespread underdiagnosis and poor response to late therapy. The present study aimed to assess the prevalence of pulmonary mucormycosis in COVID-19-associated rhino-orbital mucormycosis using non-invasive techniques, such as sputum microscopy and chest imaging.</p><p><strong>Materials and methods: </strong>A prospective observational study was conducted at the Institute of Internal Medicine, Rajiv Gandhi Government General Hospital in Chennai, India between June 2021 and July 2021. All hospitalized patients with proven rhino orbital mucormycosis with or without cerebral involvement within three months of confirmed COVID-19 infection who had clinical symptoms compatible with pulmonary mucormycosis were included in this study. These patients were screened for probable and possible COVID-19-associated pulmonary mucormycosis using computed tomography (CT) chest imaging and sputum microscopy within 48 h of hospital admission.</p><p><strong>Results: </strong>Based on the findings, 8 (16%) out of 50 patients with rhino-orbital mucormycosis, had associated possible or probable pulmonary mucormycosis. All 8 patients were diabetics and had characteristic CT chest findings while only half of them had positive sputum microscopy. A higher prevalence of probably disseminated COVID-19-associated mucormycosis was noted among 51-60-year-old males with the use of corticosteroids and oxygen for COVID-19 therapy. The mortality rate was 100% in probably disseminated mucormycosis, 50% in possible disseminated mucormycosis, and only 9.5% in isolated rhino-orbital mucormycosis.</p><p><strong>Conclusion: </strong>Non-invasive and feasible methods, such as sputum microscopy and chest imaging can be considered for early screening and intensive management of probably disseminated mucormycosis to improve prognosis.</p>","PeriodicalId":10863,"journal":{"name":"Current Medical Mycology","volume":"9 3","pages":"33-37"},"PeriodicalIF":0.0000,"publicationDate":"2023-09-01","publicationTypes":"Journal Article","fieldsOfStudy":null,"isOpenAccess":false,"openAccessPdf":"https://www.ncbi.nlm.nih.gov/pmc/articles/PMC10864746/pdf/","citationCount":"0","resultStr":null,"platform":"Semanticscholar","paperid":null,"PeriodicalName":"Current Medical Mycology","FirstCategoryId":"1085","ListUrlMain":"https://doi.org/10.22034/cmm.2023.345154.1486","RegionNum":0,"RegionCategory":null,"ArticlePicture":[],"TitleCN":null,"AbstractTextCN":null,"PMCID":null,"EPubDate":"","PubModel":"","JCR":"Q3","JCRName":"Medicine","Score":null,"Total":0}
引用次数: 0

Abstract

Background and purpose: India witnessed an explosive rise in mucormycosis following COVID-19 infection. Pulmonary mucormycosis closely followed rhino orbital mucormycosis as the most common presentation. The need for advanced resources and lack of clinical suspicion for COVID-19-associated pulmonary mucormycosis led to widespread underdiagnosis and poor response to late therapy. The present study aimed to assess the prevalence of pulmonary mucormycosis in COVID-19-associated rhino-orbital mucormycosis using non-invasive techniques, such as sputum microscopy and chest imaging.

Materials and methods: A prospective observational study was conducted at the Institute of Internal Medicine, Rajiv Gandhi Government General Hospital in Chennai, India between June 2021 and July 2021. All hospitalized patients with proven rhino orbital mucormycosis with or without cerebral involvement within three months of confirmed COVID-19 infection who had clinical symptoms compatible with pulmonary mucormycosis were included in this study. These patients were screened for probable and possible COVID-19-associated pulmonary mucormycosis using computed tomography (CT) chest imaging and sputum microscopy within 48 h of hospital admission.

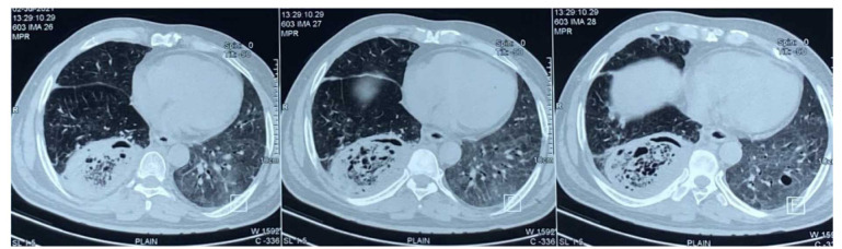
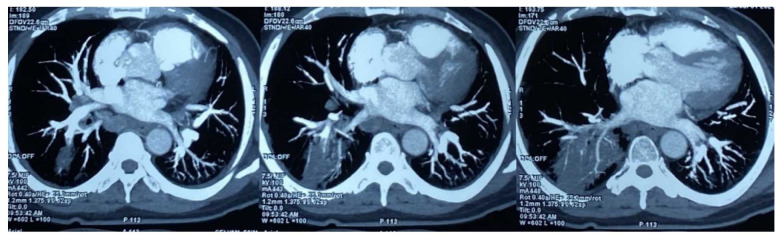
Results: Based on the findings, 8 (16%) out of 50 patients with rhino-orbital mucormycosis, had associated possible or probable pulmonary mucormycosis. All 8 patients were diabetics and had characteristic CT chest findings while only half of them had positive sputum microscopy. A higher prevalence of probably disseminated COVID-19-associated mucormycosis was noted among 51-60-year-old males with the use of corticosteroids and oxygen for COVID-19 therapy. The mortality rate was 100% in probably disseminated mucormycosis, 50% in possible disseminated mucormycosis, and only 9.5% in isolated rhino-orbital mucormycosis.

Conclusion: Non-invasive and feasible methods, such as sputum microscopy and chest imaging can be considered for early screening and intensive management of probably disseminated mucormycosis to improve prognosis.

Abstract Image

Abstract Image

南印度一家三级医疗中心与 COVID-19 相关的犀牛眼眶粘液瘤病中肺粘液瘤病的发病率、预测因素和预后。
背景和目的:在感染 COVID-19 之后,印度的粘孢子虫病呈爆炸性增长。肺粘孢子菌病紧随犀牛眼眶粘孢子菌病之后,成为最常见的病症。由于需要先进的资源以及临床上对 COVID-19 相关肺粘孢子菌病缺乏怀疑,导致普遍存在诊断不足和对后期治疗反应不佳的情况。本研究旨在利用痰液显微镜检查和胸部成像等非侵入性技术评估 COVID-19 相关性鼻眶粘液瘤病中肺粘液瘤病的发病率:2021 年 6 月至 2021 年 7 月期间,印度钦奈拉吉夫-甘地政府综合医院内科研究所开展了一项前瞻性观察研究。所有在确诊感染 COVID-19 后三个月内被证实患有犀牛眼眶粘液瘤病并伴有或不伴有脑部受累的住院患者,且其临床症状与肺部粘液瘤病相符的,均被纳入本研究。这些患者在入院后 48 小时内通过计算机断层扫描(CT)胸部成像和痰液显微镜检查,筛查可能和可能与 COVID-19 相关的肺粘孢子菌病:根据检查结果,在50名鼻眶粘液瘤病患者中,有8人(16%)伴有可能或疑似肺粘液瘤病。这 8 名患者均为糖尿病患者,具有特征性的胸部 CT 检查结果,而其中只有一半患者的痰液显微镜检查呈阳性。在使用皮质类固醇和氧气治疗 COVID-19 的 51-60 岁男性患者中,可能播散的 COVID-19 相关粘孢子菌病的发病率较高。可能播散性粘液瘤病的死亡率为100%,可能播散性粘液瘤病的死亡率为50%,而分离性鼻眶粘液瘤病的死亡率仅为9.5%:结论:痰镜检查和胸部成像等无创可行的方法可用于早期筛查和强化治疗可能播散性粘孢子菌病,以改善预后。
本文章由计算机程序翻译,如有差异,请以英文原文为准。
求助全文
约1分钟内获得全文 求助全文
来源期刊
Current Medical Mycology
Current Medical Mycology Medicine-Infectious Diseases
CiteScore
2.10
自引率
0.00%
发文量
16
审稿时长
4 weeks
×
引用
GB/T 7714-2015
复制
MLA
复制
APA
复制
导出至
BibTeX EndNote RefMan NoteFirst NoteExpress
×
提示
您的信息不完整,为了账户安全,请先补充。
现在去补充
×
提示
您因"违规操作"
具体请查看互助需知
我知道了
×
提示
确定
请完成安全验证×
copy
已复制链接
快去分享给好友吧!
我知道了
右上角分享
点击右上角分享
0
联系我们:info@booksci.cn Book学术提供免费学术资源搜索服务,方便国内外学者检索中英文文献。致力于提供最便捷和优质的服务体验。 Copyright © 2023 布克学术 All rights reserved.
京ICP备2023020795号-1
ghs 京公网安备 11010802042870号
Book学术文献互助
Book学术文献互助群
群 号:604180095
Book学术官方微信