Radiotherapy dose escalation using pre-treatment diffusion-weighted imaging in locally advanced rectal cancer: a planning study.

IF 2.1
BJR open Pub Date : 2023-12-12 eCollection Date: 2024-01-01 DOI:10.1093/bjro/tzad001
Nathan Hearn, Alexandria Leppien, Patrick O'Connor, Katelyn Cahill, Daisy Atwell, Dinesh Vignarajah, Myo Min
{"title":"Radiotherapy dose escalation using pre-treatment diffusion-weighted imaging in locally advanced rectal cancer: a planning study.","authors":"Nathan Hearn, Alexandria Leppien, Patrick O'Connor, Katelyn Cahill, Daisy Atwell, Dinesh Vignarajah, Myo Min","doi":"10.1093/bjro/tzad001","DOIUrl":null,"url":null,"abstract":"<p><strong>Objectives: </strong>Diffusion-weighted MRI (DWI) may provide biologically relevant target volumes for dose-escalated radiotherapy in locally advanced rectal cancer (LARC). This planning study assessed the dosimetric feasibility of delivering hypofractionated boost treatment to intra-tumoural regions of restricted diffusion prior to conventional long-course radiotherapy.</p><p><strong>Methods: </strong>Ten patients previously treated with curative-intent standard long-course radiotherapy (50 Gy/25#) were re-planned. Boost target volumes (<i>BTVs</i>) were delineated semi-automatically using 40th centile intra-tumoural apparent diffusion coefficient value with expansions (anteroposterior 11 mm, transverse 7 mm, craniocaudal 13 mm). Biased-dosed combined plans consisted of a single-fraction volumetric modulated arc therapy flattening-filter-free (VMAT-FFF) boost (phase 1) of 5, 7, or 10 Gy before long-course VMAT (phase 2). Phase 1 plans were assessed with reference to stereotactic conformality and deliverability measures. Combined plans were evaluated with reference to standard long-course therapy dose constraints.</p><p><strong>Results: </strong>Phase 1 BTV dose targets at 5/7/10 Gy were met in all instances. Conformality constraints were met with only 1 minor violation at 5 and 7 Gy. All phase 1 and combined phase 1 + 2 plans passed patient-specific quality assurance. Combined phase 1 + 2 plans generally met organ-at-risk dose constraints. Exceptions included high-dose spillage to bladder and large bowel, predominantly in cases where previously administered, clinically acceptable non-boosted plans also could not meet constraints.</p><p><strong>Conclusions: </strong>Targeted upfront LARC radiotherapy dose escalation to DWI-defined is feasible with appropriate patient selection and preparation.</p><p><strong>Advances in knowledge: </strong>This is the first study to evaluate the feasibility of DWI-targeted upfront radiotherapy boost in LARC. This work will inform an upcoming clinical feasibility study.</p>","PeriodicalId":72419,"journal":{"name":"BJR open","volume":"6 1","pages":"tzad001"},"PeriodicalIF":2.1000,"publicationDate":"2023-12-12","publicationTypes":"Journal Article","fieldsOfStudy":null,"isOpenAccess":false,"openAccessPdf":"https://www.ncbi.nlm.nih.gov/pmc/articles/PMC10860507/pdf/","citationCount":"0","resultStr":null,"platform":"Semanticscholar","paperid":null,"PeriodicalName":"BJR open","FirstCategoryId":"1085","ListUrlMain":"https://doi.org/10.1093/bjro/tzad001","RegionNum":0,"RegionCategory":null,"ArticlePicture":[],"TitleCN":null,"AbstractTextCN":null,"PMCID":null,"EPubDate":"2024/1/1 0:00:00","PubModel":"eCollection","JCR":"","JCRName":"","Score":null,"Total":0}
引用次数: 0

Abstract

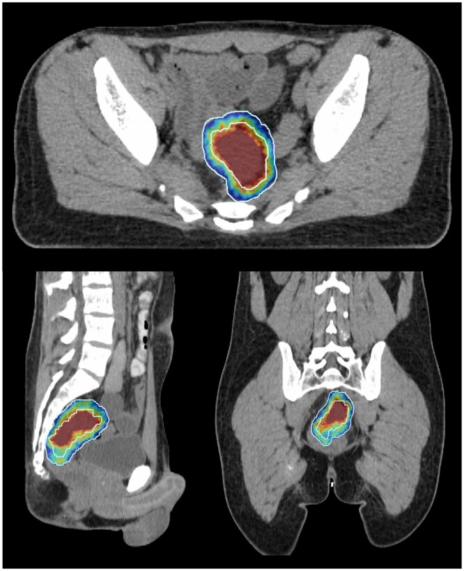
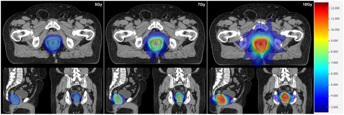
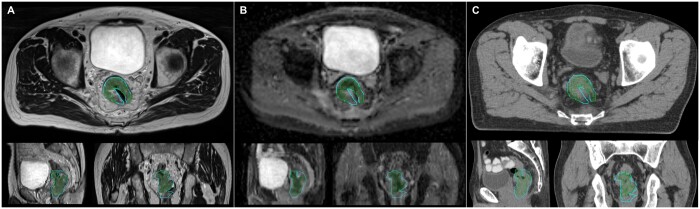
Objectives: Diffusion-weighted MRI (DWI) may provide biologically relevant target volumes for dose-escalated radiotherapy in locally advanced rectal cancer (LARC). This planning study assessed the dosimetric feasibility of delivering hypofractionated boost treatment to intra-tumoural regions of restricted diffusion prior to conventional long-course radiotherapy.

Methods: Ten patients previously treated with curative-intent standard long-course radiotherapy (50 Gy/25#) were re-planned. Boost target volumes (BTVs) were delineated semi-automatically using 40th centile intra-tumoural apparent diffusion coefficient value with expansions (anteroposterior 11 mm, transverse 7 mm, craniocaudal 13 mm). Biased-dosed combined plans consisted of a single-fraction volumetric modulated arc therapy flattening-filter-free (VMAT-FFF) boost (phase 1) of 5, 7, or 10 Gy before long-course VMAT (phase 2). Phase 1 plans were assessed with reference to stereotactic conformality and deliverability measures. Combined plans were evaluated with reference to standard long-course therapy dose constraints.

Results: Phase 1 BTV dose targets at 5/7/10 Gy were met in all instances. Conformality constraints were met with only 1 minor violation at 5 and 7 Gy. All phase 1 and combined phase 1 + 2 plans passed patient-specific quality assurance. Combined phase 1 + 2 plans generally met organ-at-risk dose constraints. Exceptions included high-dose spillage to bladder and large bowel, predominantly in cases where previously administered, clinically acceptable non-boosted plans also could not meet constraints.

Conclusions: Targeted upfront LARC radiotherapy dose escalation to DWI-defined is feasible with appropriate patient selection and preparation.

Advances in knowledge: This is the first study to evaluate the feasibility of DWI-targeted upfront radiotherapy boost in LARC. This work will inform an upcoming clinical feasibility study.

Abstract Image

Abstract Image

Abstract Image

利用局部晚期直肠癌治疗前弥散加权成像进行放疗剂量升级:一项规划研究。
目的:弥散加权磁共振成像(DWI)可为局部晚期直肠癌(LARC)的剂量递增放疗提供生物相关靶区。这项计划研究评估了在常规长程放疗前对扩散受限的瘤内区域进行低分次增量治疗的剂量可行性:方法:对之前接受过治愈性标准长程放疗(50 Gy/25#)的10名患者进行重新规划。使用第 40 百分位数的瘤内表观弥散系数值和扩展(前胸 11 毫米、横向 7 毫米、颅尾 13 毫米)半自动划定增强靶区(BTV)。偏倚剂量联合计划包括在长程 VMAT(第 2 阶段)之前进行 5、7 或 10 Gy 的单分段容积调制弧治疗平坦化-无滤过(VMAT-FFF)增强(第 1 阶段)。第一阶段计划参照立体定向适形性和可送达性指标进行评估。综合计划参照标准长程治疗剂量限制进行评估:结果:第一阶段的BTV剂量目标为5/7/10 Gy,全部达标。在 5 Gy 和 7 Gy 处仅有 1 次轻微违规,符合顺应性约束条件。所有第 1 阶段和第 1+2 阶段联合计划都通过了患者特定质量保证。1+2 期合并计划总体上符合器官风险剂量限制。例外情况包括膀胱和大肠的高剂量溢出,主要是之前实施的临床上可接受的非增强计划也无法满足限制条件:结论:通过适当的患者选择和准备,有针对性地将 LARC 前期放疗剂量升级到 DWI 定义的剂量是可行的:这是第一项评估 LARC 中 DWI 靶向前期放疗剂量提升可行性的研究。这项工作将为即将开展的临床可行性研究提供依据。
本文章由计算机程序翻译,如有差异,请以英文原文为准。
求助全文
约1分钟内获得全文 求助全文
来源期刊
自引率
0.00%
发文量
0
审稿时长
18 weeks
×
引用
GB/T 7714-2015
复制
MLA
复制
APA
复制
导出至
BibTeX EndNote RefMan NoteFirst NoteExpress
×
提示
您的信息不完整,为了账户安全,请先补充。
现在去补充
×
提示
您因"违规操作"
具体请查看互助需知
我知道了
×
提示
确定
请完成安全验证×
copy
已复制链接
快去分享给好友吧!
我知道了
右上角分享
点击右上角分享
0
联系我们:info@booksci.cn Book学术提供免费学术资源搜索服务,方便国内外学者检索中英文文献。致力于提供最便捷和优质的服务体验。 Copyright © 2023 布克学术 All rights reserved.
京ICP备2023020795号-1
ghs 京公网安备 11010802042870号
Book学术文献互助
Book学术文献互助群
群 号:604180095
Book学术官方微信