Commercially available artificial intelligence tools for fracture detection: the evidence.

IF 2.1
BJR open Pub Date : 2023-12-12 eCollection Date: 2024-01-01 DOI:10.1093/bjro/tzad005
Cato Pauling, Baris Kanber, Owen J Arthurs, Susan C Shelmerdine
{"title":"Commercially available artificial intelligence tools for fracture detection: the evidence.","authors":"Cato Pauling, Baris Kanber, Owen J Arthurs, Susan C Shelmerdine","doi":"10.1093/bjro/tzad005","DOIUrl":null,"url":null,"abstract":"<p><p>Missed fractures are a costly healthcare issue, not only negatively impacting patient lives, leading to potential long-term disability and time off work, but also responsible for high medicolegal disbursements that could otherwise be used to improve other healthcare services. When fractures are overlooked in children, they are particularly concerning as opportunities for safeguarding may be missed. Assistance from artificial intelligence (AI) in interpreting medical images may offer a possible solution for improving patient care, and several commercial AI tools are now available for radiology workflow implementation. However, information regarding their development, evidence for performance and validation as well as the intended target population is not always clear, but vital when evaluating a potential AI solution for implementation. In this article, we review the range of available products utilizing AI for fracture detection (in both adults and children) and summarize the evidence, or lack thereof, behind their performance. This will allow others to make better informed decisions when deciding which product to procure for their specific clinical requirements.</p>","PeriodicalId":72419,"journal":{"name":"BJR open","volume":"6 1","pages":"tzad005"},"PeriodicalIF":2.1000,"publicationDate":"2023-12-12","publicationTypes":"Journal Article","fieldsOfStudy":null,"isOpenAccess":false,"openAccessPdf":"https://www.ncbi.nlm.nih.gov/pmc/articles/PMC10860511/pdf/","citationCount":"0","resultStr":null,"platform":"Semanticscholar","paperid":null,"PeriodicalName":"BJR open","FirstCategoryId":"1085","ListUrlMain":"https://doi.org/10.1093/bjro/tzad005","RegionNum":0,"RegionCategory":null,"ArticlePicture":[],"TitleCN":null,"AbstractTextCN":null,"PMCID":null,"EPubDate":"2024/1/1 0:00:00","PubModel":"eCollection","JCR":"","JCRName":"","Score":null,"Total":0}
引用次数: 0

Abstract

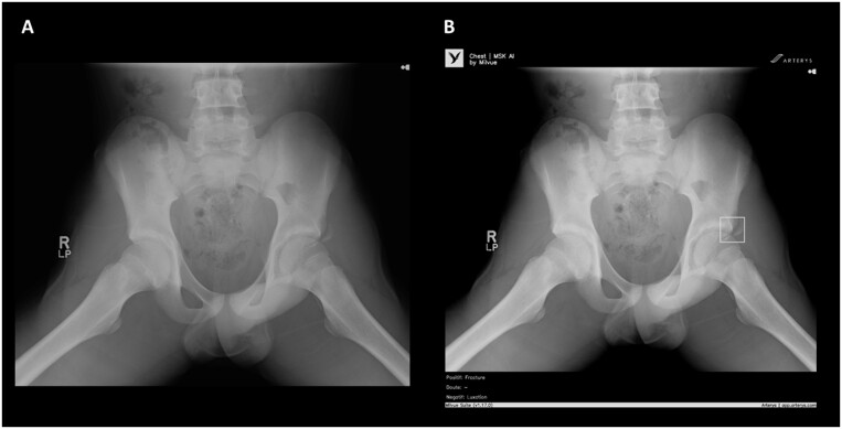
Missed fractures are a costly healthcare issue, not only negatively impacting patient lives, leading to potential long-term disability and time off work, but also responsible for high medicolegal disbursements that could otherwise be used to improve other healthcare services. When fractures are overlooked in children, they are particularly concerning as opportunities for safeguarding may be missed. Assistance from artificial intelligence (AI) in interpreting medical images may offer a possible solution for improving patient care, and several commercial AI tools are now available for radiology workflow implementation. However, information regarding their development, evidence for performance and validation as well as the intended target population is not always clear, but vital when evaluating a potential AI solution for implementation. In this article, we review the range of available products utilizing AI for fracture detection (in both adults and children) and summarize the evidence, or lack thereof, behind their performance. This will allow others to make better informed decisions when deciding which product to procure for their specific clinical requirements.

Abstract Image

Abstract Image

Abstract Image

用于骨折检测的商用人工智能工具:证据。
漏诊骨折是一个代价高昂的医疗问题,不仅会对患者的生活造成负面影响,导致潜在的长期残疾和停工,还会造成高额的医疗费用支出,而这些费用本可以用于改善其他医疗服务。当儿童骨折被忽视时,尤其令人担忧,因为可能会错失保障机会。人工智能(AI)在解读医学影像方面的协助可能会为改善患者护理提供一种可行的解决方案,目前已有几种商业人工智能工具可用于放射学工作流程的实施。然而,有关这些工具的开发、性能和验证证据以及目标人群的信息并不总是很清楚,但在评估潜在的人工智能解决方案时却至关重要。在本文中,我们将回顾利用人工智能进行骨折检测(成人和儿童)的现有产品范围,并总结其性能背后的证据或缺乏证据的情况。这将使其他人在决定采购哪种产品以满足其特定临床需求时能做出更明智的决定。
本文章由计算机程序翻译,如有差异,请以英文原文为准。
求助全文
约1分钟内获得全文 求助全文
来源期刊
自引率
0.00%
发文量
0
审稿时长
18 weeks
×
引用
GB/T 7714-2015
复制
MLA
复制
APA
复制
导出至
BibTeX EndNote RefMan NoteFirst NoteExpress
×
提示
您的信息不完整,为了账户安全,请先补充。
现在去补充
×
提示
您因"违规操作"
具体请查看互助需知
我知道了
×
提示
确定
请完成安全验证×
copy
已复制链接
快去分享给好友吧!
我知道了
右上角分享
点击右上角分享
0
联系我们:info@booksci.cn Book学术提供免费学术资源搜索服务,方便国内外学者检索中英文文献。致力于提供最便捷和优质的服务体验。 Copyright © 2023 布克学术 All rights reserved.
京ICP备2023020795号-1
ghs 京公网安备 11010802042870号
Book学术文献互助
Book学术文献互助群
群 号:604180095
Book学术官方微信