Anatomical variations in the circle of Willis on magnetic resonance angiography in a south Trinidad population.

IF 2.1
BJR open Pub Date : 2023-12-12 eCollection Date: 2024-01-01 DOI:10.1093/bjro/tzad002
Jason Diljohn, Fidel Rampersad, Paramanand Maharaj, Kristyn Parmesar
{"title":"Anatomical variations in the circle of Willis on magnetic resonance angiography in a south Trinidad population.","authors":"Jason Diljohn, Fidel Rampersad, Paramanand Maharaj, Kristyn Parmesar","doi":"10.1093/bjro/tzad002","DOIUrl":null,"url":null,"abstract":"<p><strong>Objectives: </strong>This article seeks to determine the prevalence of a complete circle of Willis (CoW) and its common morphological variations in a south Trinidad population, while also investigating the influence of gender, age, and ethnicity on CoW morphology.</p><p><strong>Methods: </strong>A prospective, descriptive, cross-sectional study was done on the magnetic resonance images for consecutive patients who had a brain MRI/magnetic resonance angiography at a tertiary health institution in south Trinidad between October 2019 and September 2020. Patients with significant cerebrovascular disease and/or a history of prior neurosurgical intervention were excluded.</p><p><strong>Results: </strong>A complete CoW was seen in 24.3%, with more complete circles observed in younger participants (≤45 years) and Afro-Trinidadians. No gender predilection for a complete CoW was demonstrated. The most common variations in the anterior and posterior parts of the circle were a hypoplastic anterior communicating artery (8.6%, <i>n</i> = 13) and bilateral aplastic posterior communicating arteries (18.4%, <i>n</i> = 28), respectively.</p><p><strong>Conclusions: </strong>Significant variations exist in the CoW of a south Trinidad population with a frequency of complete in 24.3%, and more complete circles in younger patients and Afro-Trinidadians. Gender did not influence CoW morphology.</p><p><strong>Advances in knowledge: </strong>Structural abnormalities in the CoW may be linked to future incidence of cerebrovascular diseases and should therefore be communicated to the referring physician in the written radiology report. Knowledge of variant anatomy and its frequency for a particular populations is also required by neurosurgeons and neuro-interventional radiologists to help with preprocedural planning and to minimize complications.</p>","PeriodicalId":72419,"journal":{"name":"BJR open","volume":"6 1","pages":"tzad002"},"PeriodicalIF":2.1000,"publicationDate":"2023-12-12","publicationTypes":"Journal Article","fieldsOfStudy":null,"isOpenAccess":false,"openAccessPdf":"https://www.ncbi.nlm.nih.gov/pmc/articles/PMC10860579/pdf/","citationCount":"0","resultStr":null,"platform":"Semanticscholar","paperid":null,"PeriodicalName":"BJR open","FirstCategoryId":"1085","ListUrlMain":"https://doi.org/10.1093/bjro/tzad002","RegionNum":0,"RegionCategory":null,"ArticlePicture":[],"TitleCN":null,"AbstractTextCN":null,"PMCID":null,"EPubDate":"2024/1/1 0:00:00","PubModel":"eCollection","JCR":"","JCRName":"","Score":null,"Total":0}
引用次数: 0

Abstract

Objectives: This article seeks to determine the prevalence of a complete circle of Willis (CoW) and its common morphological variations in a south Trinidad population, while also investigating the influence of gender, age, and ethnicity on CoW morphology.

Methods: A prospective, descriptive, cross-sectional study was done on the magnetic resonance images for consecutive patients who had a brain MRI/magnetic resonance angiography at a tertiary health institution in south Trinidad between October 2019 and September 2020. Patients with significant cerebrovascular disease and/or a history of prior neurosurgical intervention were excluded.

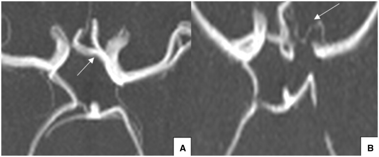
Results: A complete CoW was seen in 24.3%, with more complete circles observed in younger participants (≤45 years) and Afro-Trinidadians. No gender predilection for a complete CoW was demonstrated. The most common variations in the anterior and posterior parts of the circle were a hypoplastic anterior communicating artery (8.6%, n = 13) and bilateral aplastic posterior communicating arteries (18.4%, n = 28), respectively.

Conclusions: Significant variations exist in the CoW of a south Trinidad population with a frequency of complete in 24.3%, and more complete circles in younger patients and Afro-Trinidadians. Gender did not influence CoW morphology.

Advances in knowledge: Structural abnormalities in the CoW may be linked to future incidence of cerebrovascular diseases and should therefore be communicated to the referring physician in the written radiology report. Knowledge of variant anatomy and its frequency for a particular populations is also required by neurosurgeons and neuro-interventional radiologists to help with preprocedural planning and to minimize complications.

Abstract Image

Abstract Image

Abstract Image

特立尼达岛南部人群中威利斯圈在磁共振血管造影中的解剖学变化。
目的:本文旨在确定特立尼达岛南部人群中完整威利斯圈(CoW)的患病率及其常见的形态变异,同时调查性别、年龄和种族对CoW形态的影响:对2019年10月至2020年9月期间在特立尼达岛南部一家三级医疗机构接受脑磁共振成像/磁共振血管造影术的连续患者的磁共振图像进行了前瞻性、描述性、横断面研究。有严重脑血管疾病和/或既往神经外科干预史的患者被排除在外:24.3%的患者有完整的CoW,年轻患者(≤45岁)和非洲裔特立尼达人的CoW更完整。没有发现完整 CoW 的性别偏好。圆的前后部分最常见的变异分别是发育不良的前交通动脉(8.6%,n = 13)和双侧发育不良的后交通动脉(18.4%,n = 28):特立尼达岛南部人群的CoW存在显著差异,24.3%的患者为完全性CoW,年轻患者和非洲裔特立尼达人的CoW更为完全。性别并不影响CoW的形态:CoW结构异常可能与未来脑血管疾病的发病率有关,因此应在书面放射学报告中告知转诊医生。神经外科医生和神经介入放射科医生也需要了解变异解剖结构及其在特定人群中的出现频率,以帮助制定手术前计划并尽量减少并发症。
本文章由计算机程序翻译,如有差异,请以英文原文为准。
求助全文
约1分钟内获得全文 求助全文
来源期刊
自引率
0.00%
发文量
0
审稿时长
18 weeks
×
引用
GB/T 7714-2015
复制
MLA
复制
APA
复制
导出至
BibTeX EndNote RefMan NoteFirst NoteExpress
×
提示
您的信息不完整,为了账户安全,请先补充。
现在去补充
×
提示
您因"违规操作"
具体请查看互助需知
我知道了
×
提示
确定
请完成安全验证×
copy
已复制链接
快去分享给好友吧!
我知道了
右上角分享
点击右上角分享
0
联系我们:info@booksci.cn Book学术提供免费学术资源搜索服务,方便国内外学者检索中英文文献。致力于提供最便捷和优质的服务体验。 Copyright © 2023 布克学术 All rights reserved.
京ICP备2023020795号-1
ghs 京公网安备 11010802042870号
Book学术文献互助
Book学术文献互助群
群 号:604180095
Book学术官方微信