Intracranial Involvement of Systemic Hodgkin Lymphoma: A Case Report and Literature Review.

Hwanhee Lee, Sangjun Ahn, Seung Heon Cha, Won Ho Cho
{"title":"Intracranial Involvement of Systemic Hodgkin Lymphoma: A Case Report and Literature Review.","authors":"Hwanhee Lee, Sangjun Ahn, Seung Heon Cha, Won Ho Cho","doi":"10.14791/btrt.2023.0041","DOIUrl":null,"url":null,"abstract":"<p><p>A 27-year-old male patient, previously diagnosed with Hodgkin lymphoma (HL), presented with gait disturbance. Brain MRI showed a 4.5 cm mass lesion in the right occipital lobe, suggesting either intracranial involvement of HL or a potential meningioma. Despite high-dose methotrexate and steroid treatment, the patient's symptoms persisted, and imaging showed an enlarging mass, leading to surgical intervention. Histopathological examination confirmed central nervous system (CNS) involvement of HL. Postoperatively, the patient underwent whole-brain radiotherapy and demonstrated marked clinical improvement. Our literature review from 1980 to 2023 identified only 46 cases of intracranial HL (IC-HL), underscoring its rarity. Lymphomas represent 2.2% of brain tumors, with 90%-95% being diffuse large B-cell lymphoma (DLBCL). In contrast, the incidence of CNS-HL patients is a mere 0.02%. Notably, IC-HL and intracranial DLBCL have differences in their typical locations and treatment strategies. Unlike DLBCL, which predominantly appears in the supratentorial region (87%), IC-HL is found there in 61.5% of cases. Additionally, 33.3% of IC-HL cases occur in the cerebellum, with 43.5% associated with posterior circulation regions. Furthermore, while biopsy followed by chemotherapy induction is a common strategy for DLBCL, 81.8% of IC-HL cases underwent surgical resection, and only 18.1% had a biopsy alone. The distinct characteristics of IC-HL tumors, including their larger size, attachment to the dura, and fibrotic nature with clear boundaries, might account for the preference for surgical intervention. The unique features of IC-HL compared to DLBCL highlight the need for distinct considerations in diagnosis and management.</p>","PeriodicalId":72453,"journal":{"name":"Brain tumor research and treatment","volume":"12 1","pages":"63-69"},"PeriodicalIF":0.0000,"publicationDate":"2024-01-01","publicationTypes":"Journal Article","fieldsOfStudy":null,"isOpenAccess":false,"openAccessPdf":"https://www.ncbi.nlm.nih.gov/pmc/articles/PMC10864131/pdf/","citationCount":"0","resultStr":null,"platform":"Semanticscholar","paperid":null,"PeriodicalName":"Brain tumor research and treatment","FirstCategoryId":"1085","ListUrlMain":"https://doi.org/10.14791/btrt.2023.0041","RegionNum":0,"RegionCategory":null,"ArticlePicture":[],"TitleCN":null,"AbstractTextCN":null,"PMCID":null,"EPubDate":"","PubModel":"","JCR":"","JCRName":"","Score":null,"Total":0}
引用次数: 0

Abstract

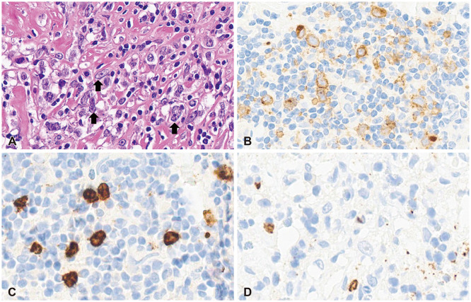
A 27-year-old male patient, previously diagnosed with Hodgkin lymphoma (HL), presented with gait disturbance. Brain MRI showed a 4.5 cm mass lesion in the right occipital lobe, suggesting either intracranial involvement of HL or a potential meningioma. Despite high-dose methotrexate and steroid treatment, the patient's symptoms persisted, and imaging showed an enlarging mass, leading to surgical intervention. Histopathological examination confirmed central nervous system (CNS) involvement of HL. Postoperatively, the patient underwent whole-brain radiotherapy and demonstrated marked clinical improvement. Our literature review from 1980 to 2023 identified only 46 cases of intracranial HL (IC-HL), underscoring its rarity. Lymphomas represent 2.2% of brain tumors, with 90%-95% being diffuse large B-cell lymphoma (DLBCL). In contrast, the incidence of CNS-HL patients is a mere 0.02%. Notably, IC-HL and intracranial DLBCL have differences in their typical locations and treatment strategies. Unlike DLBCL, which predominantly appears in the supratentorial region (87%), IC-HL is found there in 61.5% of cases. Additionally, 33.3% of IC-HL cases occur in the cerebellum, with 43.5% associated with posterior circulation regions. Furthermore, while biopsy followed by chemotherapy induction is a common strategy for DLBCL, 81.8% of IC-HL cases underwent surgical resection, and only 18.1% had a biopsy alone. The distinct characteristics of IC-HL tumors, including their larger size, attachment to the dura, and fibrotic nature with clear boundaries, might account for the preference for surgical intervention. The unique features of IC-HL compared to DLBCL highlight the need for distinct considerations in diagnosis and management.

Abstract Image

Abstract Image

Abstract Image

系统性霍奇金淋巴瘤颅内受累:病例报告与文献综述
一名曾被诊断为霍奇金淋巴瘤(HL)的 27 岁男性患者出现步态障碍。脑部核磁共振成像(MRI)显示,患者右枕叶有一个 4.5 厘米的肿块病变,提示 HL 或脑膜瘤可能累及颅内。尽管患者接受了大剂量甲氨蝶呤和类固醇治疗,但症状依然存在,影像学检查显示肿块增大,因此需要进行手术治疗。组织病理学检查证实,中枢神经系统(CNS)受累于 HL。术后,患者接受了全脑放疗,临床症状明显好转。从1980年到2023年,我们的文献综述仅发现了46例颅内HL(IC-HL)病例,凸显了其罕见性。淋巴瘤占脑肿瘤的 2.2%,其中 90%-95% 为弥漫大 B 细胞淋巴瘤(DLBCL)。相比之下,CNS-HL 患者的发病率仅为 0.02%。值得注意的是,IC-HL 和颅内 DLBCL 在典型部位和治疗策略上存在差异。DLBCL主要出现在颅内上部区域(87%),而IC-HL则不同,61.5%的病例出现在颅内上部区域。此外,33.3%的IC-HL病例发生在小脑,43.5%与后循环区域有关。此外,虽然活检后进行化疗是DLBCL的常见策略,但81.8%的IC-HL病例接受了手术切除,仅有18.1%的病例仅进行了活检。IC-HL肿瘤的独特特征,包括体积较大、附着于硬脑膜以及边界清晰的纤维化性质,可能是首选手术干预的原因。与DLBCL相比,IC-HL具有独特的特征,这突出表明在诊断和管理中需要考虑不同的因素。
本文章由计算机程序翻译,如有差异,请以英文原文为准。
求助全文
约1分钟内获得全文 求助全文
来源期刊
自引率
0.00%
发文量
0
×
引用
GB/T 7714-2015
复制
MLA
复制
APA
复制
导出至
BibTeX EndNote RefMan NoteFirst NoteExpress
×
提示
您的信息不完整,为了账户安全,请先补充。
现在去补充
×
提示
您因"违规操作"
具体请查看互助需知
我知道了
×
提示
确定
请完成安全验证×
copy
已复制链接
快去分享给好友吧!
我知道了
右上角分享
点击右上角分享
0
联系我们:info@booksci.cn Book学术提供免费学术资源搜索服务,方便国内外学者检索中英文文献。致力于提供最便捷和优质的服务体验。 Copyright © 2023 布克学术 All rights reserved.
京ICP备2023020795号-1
ghs 京公网安备 11010802042870号
Book学术文献互助
Book学术文献互助群
群 号:604180095
Book学术官方微信