Atypical presentation of DeBakey type I aortic dissection mimicking pulmonary embolism in a pregnant patient: a case report.

IF 1.4 Q3 MEDICINE, GENERAL & INTERNAL
Journal of Yeungnam medical science Pub Date : 2024-04-01 Epub Date: 2024-02-05 DOI:10.12701/jyms.2023.01319
Sou Hyun Lee, Ji Hee Hong, Chaeeun Kim
{"title":"Atypical presentation of DeBakey type I aortic dissection mimicking pulmonary embolism in a pregnant patient: a case report.","authors":"Sou Hyun Lee, Ji Hee Hong, Chaeeun Kim","doi":"10.12701/jyms.2023.01319","DOIUrl":null,"url":null,"abstract":"<p><p>Aortic dissection in pregnant patients results in an inpatient mortality rate of 8.6%. Owing to the pronounced mortality rate and speed at which aortic dissections progress, efficient early detection methods are crucial. Here, we highlight the importance of early chest computed tomography (CT) for differentiating aortic dissection from pulmonary embolism in pregnant patients with dyspnea. We present the unique case of a 38-year-old pregnant woman with elevated D-dimer and N-terminal pro-brain natriuretic peptide (NT-proBNP) levels, initially suspected of having a pulmonary embolism. Initial transthoracic echocardiography did not indicate aortic dissection. Surprisingly, after an emergency cesarean section, a chest CT scan revealed a DeBakey type I aortic dissection, indicating a diagnostic error. Our findings emphasize the need for early chest CT in pregnant patients with dyspnea and elevated D-dimer and NT-proBNP levels. This case report highlights the critical importance of considering both aortic dissection and pulmonary embolism in the differential diagnosis of such cases, which will inform future clinical practice.</p>","PeriodicalId":74020,"journal":{"name":"Journal of Yeungnam medical science","volume":" ","pages":"128-133"},"PeriodicalIF":1.4000,"publicationDate":"2024-04-01","publicationTypes":"Journal Article","fieldsOfStudy":null,"isOpenAccess":false,"openAccessPdf":"https://www.ncbi.nlm.nih.gov/pmc/articles/PMC11074844/pdf/","citationCount":"0","resultStr":null,"platform":"Semanticscholar","paperid":null,"PeriodicalName":"Journal of Yeungnam medical science","FirstCategoryId":"1085","ListUrlMain":"https://doi.org/10.12701/jyms.2023.01319","RegionNum":0,"RegionCategory":null,"ArticlePicture":[],"TitleCN":null,"AbstractTextCN":null,"PMCID":null,"EPubDate":"2024/2/5 0:00:00","PubModel":"Epub","JCR":"Q3","JCRName":"MEDICINE, GENERAL & INTERNAL","Score":null,"Total":0}
引用次数: 0

Abstract

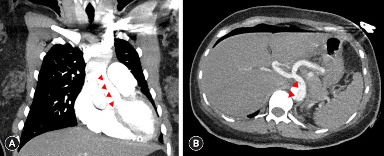
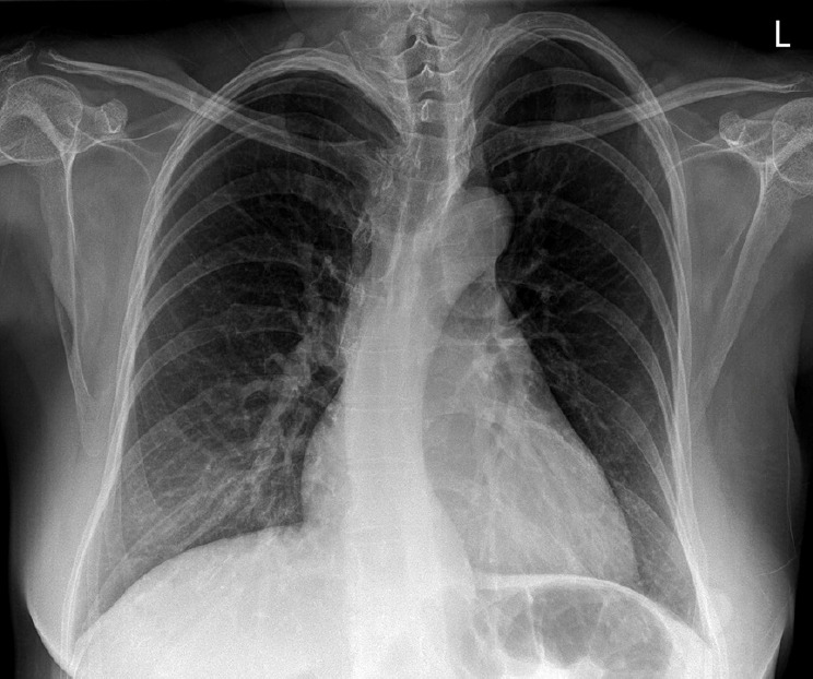
Aortic dissection in pregnant patients results in an inpatient mortality rate of 8.6%. Owing to the pronounced mortality rate and speed at which aortic dissections progress, efficient early detection methods are crucial. Here, we highlight the importance of early chest computed tomography (CT) for differentiating aortic dissection from pulmonary embolism in pregnant patients with dyspnea. We present the unique case of a 38-year-old pregnant woman with elevated D-dimer and N-terminal pro-brain natriuretic peptide (NT-proBNP) levels, initially suspected of having a pulmonary embolism. Initial transthoracic echocardiography did not indicate aortic dissection. Surprisingly, after an emergency cesarean section, a chest CT scan revealed a DeBakey type I aortic dissection, indicating a diagnostic error. Our findings emphasize the need for early chest CT in pregnant patients with dyspnea and elevated D-dimer and NT-proBNP levels. This case report highlights the critical importance of considering both aortic dissection and pulmonary embolism in the differential diagnosis of such cases, which will inform future clinical practice.

Abstract Image

Abstract Image

Abstract Image

一名怀孕患者模仿肺栓塞的 DeBakey I 型主动脉夹层的非典型表现:病例报告。
孕妇主动脉夹层导致的住院死亡率高达 8.6%。由于死亡率高且主动脉夹层发展速度快,有效的早期检测方法至关重要。在此,我们强调了早期胸部计算机断层扫描(CT)对于区分妊娠期呼吸困难患者主动脉夹层和肺栓塞的重要性。我们介绍了一个独特的病例:一名 38 岁的孕妇 D-二聚体和 N 端前脑钠尿肽(NT-proBNP)水平升高,最初被怀疑患有肺栓塞。最初的经胸超声心动图检查并未显示主动脉夹层。令人惊讶的是,在紧急剖腹产后,胸部 CT 扫描发现了 DeBakey I 型主动脉夹层,表明诊断错误。我们的研究结果强调,对于出现呼吸困难、D-二聚体和 NT-proBNP 水平升高的妊娠患者,需要尽早进行胸部 CT 检查。本病例报告强调了在此类病例的鉴别诊断中同时考虑主动脉夹层和肺栓塞的重要性,这将为今后的临床实践提供参考。
本文章由计算机程序翻译,如有差异,请以英文原文为准。
求助全文
约1分钟内获得全文 求助全文
来源期刊
CiteScore
0.80
自引率
0.00%
发文量
0
×
引用
GB/T 7714-2015
复制
MLA
复制
APA
复制
导出至
BibTeX EndNote RefMan NoteFirst NoteExpress
×
提示
您的信息不完整,为了账户安全,请先补充。
现在去补充
×
提示
您因"违规操作"
具体请查看互助需知
我知道了
×
提示
确定
请完成安全验证×
copy
已复制链接
快去分享给好友吧!
我知道了
右上角分享
点击右上角分享
0
联系我们:info@booksci.cn Book学术提供免费学术资源搜索服务,方便国内外学者检索中英文文献。致力于提供最便捷和优质的服务体验。 Copyright © 2023 布克学术 All rights reserved.
京ICP备2023020795号-1
ghs 京公网安备 11010802042870号
Book学术文献互助
Book学术文献互助群
群 号:604180095
Book学术官方微信