Genetic blueprint of congenital muscular dystrophies with brain malformations in Egypt: A report of 11 families.

IF 1.2 4区 医学 Q3 CLINICAL NEUROLOGY
Neurogenetics Pub Date : 2024-04-01 Epub Date: 2024-02-01 DOI:10.1007/s10048-024-00745-z
Sylvia Safwat, Kyle P Flannery, Ahmed A El Beheiry, Mohamed M Mokhtar, Ebtesam Abdalla, M Chiara Manzini
{"title":"Genetic blueprint of congenital muscular dystrophies with brain malformations in Egypt: A report of 11 families.","authors":"Sylvia Safwat, Kyle P Flannery, Ahmed A El Beheiry, Mohamed M Mokhtar, Ebtesam Abdalla, M Chiara Manzini","doi":"10.1007/s10048-024-00745-z","DOIUrl":null,"url":null,"abstract":"<p><p>Congenital muscular dystrophies (CMDs) are a group of rare muscle disorders characterized by early onset hypotonia and motor developmental delay associated with brain malformations with or without eye anomalies in the most severe cases. In this study, we aimed to uncover the genetic basis of severe CMD in Egypt and to determine the efficacy of whole exome sequencing (WES)-based genetic diagnosis in this population. We recruited twelve individuals from eleven families with a clinical diagnosis of CMD with brain malformations that fell into two groups: seven patients with suspected dystroglycanopathy and five patients with suspected merosin-deficient CMD. WES was analyzed by variant filtering using multiple approaches including splicing and copy number variant (CNV) analysis. We identified likely pathogenic variants in FKRP in two cases and variants in POMT1, POMK, and B3GALNT2 in three individuals. All individuals with merosin-deficient CMD had truncating variants in LAMA2. Further analysis in one of the two unsolved cases showed a homozygous protein-truncating variant in Feline Leukemia Virus subgroup C Receptor 1 (FLVCR1). FLVCR1 loss of function has never been previously reported. Yet, loss of function of its paralog, FLVCR2, causes lethal hydranencephaly-hydrocephaly syndrome (Fowler Syndrome) which should be considered in the differential diagnosis for dystroglycanopathy. Overall, we reached a diagnostic rate of 86% (6/7) for dystroglycanopathies and 100% (5/5) for merosinopathy. In conclusion, our results provide further evidence that WES is an important diagnostic method in CMD in developing countries to improve the diagnostic rate, management plan, and genetic counseling for these disorders.</p>","PeriodicalId":56106,"journal":{"name":"Neurogenetics","volume":" ","pages":"93-102"},"PeriodicalIF":1.2000,"publicationDate":"2024-04-01","publicationTypes":"Journal Article","fieldsOfStudy":null,"isOpenAccess":false,"openAccessPdf":"https://www.ncbi.nlm.nih.gov/pmc/articles/PMC11076401/pdf/","citationCount":"0","resultStr":null,"platform":"Semanticscholar","paperid":null,"PeriodicalName":"Neurogenetics","FirstCategoryId":"3","ListUrlMain":"https://doi.org/10.1007/s10048-024-00745-z","RegionNum":4,"RegionCategory":"医学","ArticlePicture":[],"TitleCN":null,"AbstractTextCN":null,"PMCID":null,"EPubDate":"2024/2/1 0:00:00","PubModel":"Epub","JCR":"Q3","JCRName":"CLINICAL NEUROLOGY","Score":null,"Total":0}
引用次数: 0

Abstract

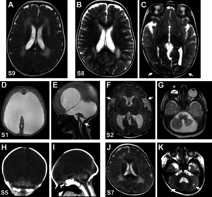
Congenital muscular dystrophies (CMDs) are a group of rare muscle disorders characterized by early onset hypotonia and motor developmental delay associated with brain malformations with or without eye anomalies in the most severe cases. In this study, we aimed to uncover the genetic basis of severe CMD in Egypt and to determine the efficacy of whole exome sequencing (WES)-based genetic diagnosis in this population. We recruited twelve individuals from eleven families with a clinical diagnosis of CMD with brain malformations that fell into two groups: seven patients with suspected dystroglycanopathy and five patients with suspected merosin-deficient CMD. WES was analyzed by variant filtering using multiple approaches including splicing and copy number variant (CNV) analysis. We identified likely pathogenic variants in FKRP in two cases and variants in POMT1, POMK, and B3GALNT2 in three individuals. All individuals with merosin-deficient CMD had truncating variants in LAMA2. Further analysis in one of the two unsolved cases showed a homozygous protein-truncating variant in Feline Leukemia Virus subgroup C Receptor 1 (FLVCR1). FLVCR1 loss of function has never been previously reported. Yet, loss of function of its paralog, FLVCR2, causes lethal hydranencephaly-hydrocephaly syndrome (Fowler Syndrome) which should be considered in the differential diagnosis for dystroglycanopathy. Overall, we reached a diagnostic rate of 86% (6/7) for dystroglycanopathies and 100% (5/5) for merosinopathy. In conclusion, our results provide further evidence that WES is an important diagnostic method in CMD in developing countries to improve the diagnostic rate, management plan, and genetic counseling for these disorders.

Abstract Image

Abstract Image

埃及先天性肌肉萎缩症伴有脑畸形的遗传蓝图:11 个家庭的报告。
先天性肌营养不良症(CMDs)是一组罕见的肌肉疾病,其特征是早发性肌张力低下和运动发育迟缓,最严重的病例伴有或不伴有眼球异常的脑畸形。在本研究中,我们旨在揭示埃及重症CMD的遗传基础,并确定基于全外显子组测序(WES)的遗传诊断在该人群中的有效性。我们从11个临床诊断为CMD伴脑畸形的家庭中招募了12名患者,这些患者分为两组:7名疑似肌张力障碍性CMD患者和5名疑似美拉辛缺陷型CMD患者。我们采用剪接和拷贝数变异(CNV)分析等多种方法对 WES 进行了变异过滤分析。我们在两个病例中发现了 FKRP 的可能致病变体,在三个人中发现了 POMT1、POMK 和 B3GALNT2 的变体。所有患有美拉辛缺陷型 CMD 的患者都有 LAMA2 的截短变异。对两个未解决病例中的一个病例的进一步分析表明,猫白血病病毒 C 亚群受体 1(FLVCR1)中存在一个同卵蛋白截短变体。FLVCR1 的功能缺失以前从未报道过。然而,其同系物 FLVCR2 的功能缺失会导致致命的脑积水-头畸形综合征(Fowler 综合征),应在肌营养不良症的鉴别诊断中予以考虑。总体而言,我们对肌营养不良症的诊断率达到了 86%(6/7),对美罗氏病的诊断率达到了 100%(5/5)。总之,我们的研究结果进一步证明,在发展中国家,WES 是一种重要的 CMD 诊断方法,可提高这些疾病的诊断率、管理计划和遗传咨询。
本文章由计算机程序翻译,如有差异,请以英文原文为准。
求助全文
约1分钟内获得全文 求助全文
来源期刊
Neurogenetics
Neurogenetics 医学-临床神经学
CiteScore
3.90
自引率
0.00%
发文量
24
审稿时长
6 months
期刊介绍: Neurogenetics publishes findings that contribute to a better understanding of the genetic basis of normal and abnormal function of the nervous system. Neurogenetic disorders are the main focus of the journal. Neurogenetics therefore includes findings in humans and other organisms that help understand neurological disease mechanisms and publishes papers from many different fields such as biophysics, cell biology, human genetics, neuroanatomy, neurochemistry, neurology, neuropathology, neurosurgery and psychiatry. All papers submitted to Neurogenetics should be of sufficient immediate importance to justify urgent publication. They should present new scientific results. Data merely confirming previously published findings are not acceptable.
×
引用
GB/T 7714-2015
复制
MLA
复制
APA
复制
导出至
BibTeX EndNote RefMan NoteFirst NoteExpress
×
提示
您的信息不完整,为了账户安全,请先补充。
现在去补充
×
提示
您因"违规操作"
具体请查看互助需知
我知道了
×
提示
确定
请完成安全验证×
copy
已复制链接
快去分享给好友吧!
我知道了
右上角分享
点击右上角分享
0
联系我们:info@booksci.cn Book学术提供免费学术资源搜索服务,方便国内外学者检索中英文文献。致力于提供最便捷和优质的服务体验。 Copyright © 2023 布克学术 All rights reserved.
京ICP备2023020795号-1
ghs 京公网安备 11010802042870号
Book学术文献互助
Book学术文献互助群
群 号:604180095
Book学术官方微信