Gestational Exposure to Bisphenol A Causes DNA Hypomethylation and the Upregulation of Progesterone Receptor Expression in the Uterus in Adult Female Offspring Rats.

Development & reproduction Pub Date : 2023-12-01 Epub Date: 2023-12-31 DOI:10.12717/DR.2023.27.4.195
Seung Gee Lee, Ji-Eun Park, Yong-Pil Cheon, Jong-Min Kim
{"title":"Gestational Exposure to Bisphenol A Causes DNA Hypomethylation and the Upregulation of Progesterone Receptor Expression in the Uterus in Adult Female Offspring Rats.","authors":"Seung Gee Lee, Ji-Eun Park, Yong-Pil Cheon, Jong-Min Kim","doi":"10.12717/DR.2023.27.4.195","DOIUrl":null,"url":null,"abstract":"<p><p>Exposure to environmental chemicals, including endocrine-disrupting chemicals, during the gestational period can have profound adverse effects on several organs in offspring. Bisphenol A (BPA) can infiltrate the human body through food and drinks, and its metabolites can cross both the placental and the blood-brain barriers. In this study, we investigate the effect of gestational exposure to BPA on epigenetic, biochemical, and histological modifications in the uterine tissues of F1 adult offspring rats. Pregnant rats were exposed to BPA from gestational day 8-15, and changes in global DNA methylation in uterine tissues obtained from adult offspring born to the exposed mothers were analyzed. Global DNA methylation analysis revealed that gestational exposure to BPA resulted in DNA hypomethylation in the uterus. Progesterone receptor (PR) protein expression in uterine tissues was monitored using western blot analysis, which revealed that the PR protein content was considerably higher in all BPA-exposed groups than in the control. Immunohistochemical examination for the PR revealed that intense PR-positive cells were more frequently observed in the BPA-exposed group than in the control group. To date, the evidence that the upregulation of PRs observed in the present study was caused by the non-methylation of specific PR promoter regions is lacking. Conclusively, these results indicate that exposure to BPA during gestation induces epigenetic alterations in the uteri of adult female offspring. We speculate that the global DNA hypomethylation and upregulation of the PR observed simultaneously in this study might be associated with the uterus.</p>","PeriodicalId":72791,"journal":{"name":"Development & reproduction","volume":"27 4","pages":"195-203"},"PeriodicalIF":0.0000,"publicationDate":"2023-12-01","publicationTypes":"Journal Article","fieldsOfStudy":null,"isOpenAccess":false,"openAccessPdf":"https://www.ncbi.nlm.nih.gov/pmc/articles/PMC10824565/pdf/","citationCount":"0","resultStr":null,"platform":"Semanticscholar","paperid":null,"PeriodicalName":"Development & reproduction","FirstCategoryId":"1085","ListUrlMain":"https://doi.org/10.12717/DR.2023.27.4.195","RegionNum":0,"RegionCategory":null,"ArticlePicture":[],"TitleCN":null,"AbstractTextCN":null,"PMCID":null,"EPubDate":"2023/12/31 0:00:00","PubModel":"Epub","JCR":"","JCRName":"","Score":null,"Total":0}
引用次数: 0

Abstract

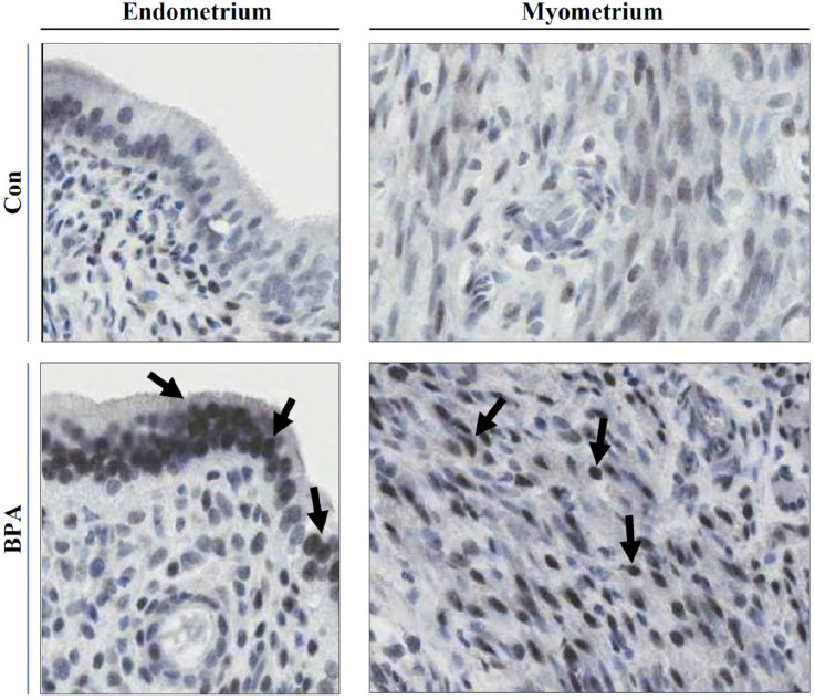
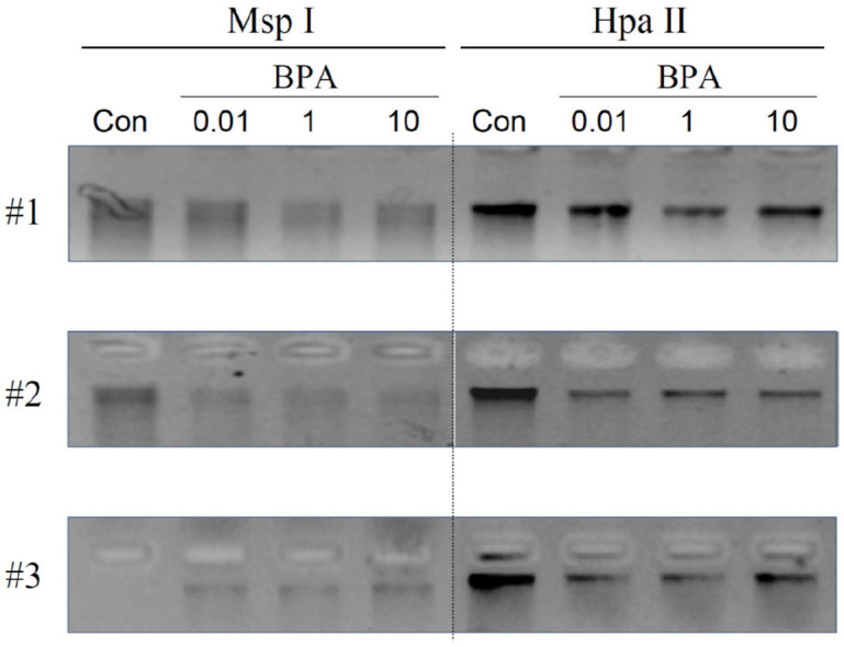
Exposure to environmental chemicals, including endocrine-disrupting chemicals, during the gestational period can have profound adverse effects on several organs in offspring. Bisphenol A (BPA) can infiltrate the human body through food and drinks, and its metabolites can cross both the placental and the blood-brain barriers. In this study, we investigate the effect of gestational exposure to BPA on epigenetic, biochemical, and histological modifications in the uterine tissues of F1 adult offspring rats. Pregnant rats were exposed to BPA from gestational day 8-15, and changes in global DNA methylation in uterine tissues obtained from adult offspring born to the exposed mothers were analyzed. Global DNA methylation analysis revealed that gestational exposure to BPA resulted in DNA hypomethylation in the uterus. Progesterone receptor (PR) protein expression in uterine tissues was monitored using western blot analysis, which revealed that the PR protein content was considerably higher in all BPA-exposed groups than in the control. Immunohistochemical examination for the PR revealed that intense PR-positive cells were more frequently observed in the BPA-exposed group than in the control group. To date, the evidence that the upregulation of PRs observed in the present study was caused by the non-methylation of specific PR promoter regions is lacking. Conclusively, these results indicate that exposure to BPA during gestation induces epigenetic alterations in the uteri of adult female offspring. We speculate that the global DNA hypomethylation and upregulation of the PR observed simultaneously in this study might be associated with the uterus.

Abstract Image

Abstract Image

Abstract Image

妊娠期暴露于双酚 A 会导致 DNA 低甲基化和成年雌性后代大鼠子宫中孕酮受体表达的上调。
妊娠期接触环境化学物质,包括干扰内分泌的化学物质,会对后代的多个器官产生深远的不利影响。双酚 A(BPA)可通过食物和饮料渗入人体,其代谢物可穿过胎盘和血脑屏障。本研究调查了妊娠期暴露于双酚 A 对 F1 成年后代大鼠子宫组织的表观遗传学、生物化学和组织学改变的影响。妊娠大鼠从妊娠第 8-15 天开始暴露于双酚 A,并分析了暴露母鼠所生成年后代子宫组织中全局 DNA 甲基化的变化。全局 DNA 甲基化分析表明,妊娠期暴露于双酚 A 会导致子宫内 DNA 低甲基化。利用 Western 印迹分析监测了子宫组织中孕酮受体(PR)蛋白的表达,结果显示所有暴露于双酚 A 的组别中 PR 蛋白的含量都明显高于对照组。PR 免疫组化检查显示,双酚 A 暴露组比对照组更常观察到 PR 强阳性细胞。到目前为止,还没有证据表明本研究中观察到的 PR 上调是由特定 PR 启动子区域的非甲基化引起的。总之,这些结果表明,妊娠期暴露于双酚 A 会诱导成年女性后代的子宫发生表观遗传学改变。我们推测,在本研究中同时观察到的 DNA 整体低甲基化和 PR 的上调可能与子宫有关。
本文章由计算机程序翻译,如有差异,请以英文原文为准。
求助全文
约1分钟内获得全文 求助全文
来源期刊
自引率
0.00%
发文量
0
×
引用
GB/T 7714-2015
复制
MLA
复制
APA
复制
导出至
BibTeX EndNote RefMan NoteFirst NoteExpress
×
提示
您的信息不完整,为了账户安全,请先补充。
现在去补充
×
提示
您因"违规操作"
具体请查看互助需知
我知道了
×
提示
确定
请完成安全验证×
copy
已复制链接
快去分享给好友吧!
我知道了
右上角分享
点击右上角分享
0
联系我们:info@booksci.cn Book学术提供免费学术资源搜索服务,方便国内外学者检索中英文文献。致力于提供最便捷和优质的服务体验。 Copyright © 2023 布克学术 All rights reserved.
京ICP备2023020795号-1
ghs 京公网安备 11010802042870号
Book学术文献互助
Book学术文献互助群
群 号:604180095
Book学术官方微信