Safety and hemostatic effect of Achillea millefolium L. in localized bleeding.

IF 2.1 Q4 GASTROENTEROLOGY & HEPATOLOGY
Hepatology Forum Pub Date : 2024-01-16 eCollection Date: 2024-01-01 DOI:10.14744/hf.2022.2022.0041
Amin Bagheri, Gholamreza Amin, Seyed Mohammad Tavangar, Matineh Heidari, Jamshid Bagheri
{"title":"Safety and hemostatic effect of <i>Achillea millefolium</i> L. in localized bleeding.","authors":"Amin Bagheri, Gholamreza Amin, Seyed Mohammad Tavangar, Matineh Heidari, Jamshid Bagheri","doi":"10.14744/hf.2022.2022.0041","DOIUrl":null,"url":null,"abstract":"<p><strong>Background and aim: </strong>This study aims to demonstrate the hemostatic effect of the hydroalcoholic extract of <i>Achillea millefolium</i> L. in localized bleeding and to assess the safety of its topical application on rat liver.</p><p><strong>Materials and methods: </strong>The aerial parts of <i>A. millefolium</i> were macerated in methanol for two days. Twelve female Wistar rats, weighing 120-220 g, underwent anesthesia and laparotomy. The liver was exposed, and two incisions were made to induce bleeding. One incision was treated with a sponge soaked in <i>A. millefolium</i> extract, while the other served as a control. The animals were divided into two groups: in one, <i>A. millefolium</i> (150 mg/kg) was applied to the first incision, and in the other, to the second incision. Liver biopsies were collected after 4, 6, and 8 weeks.</p><p><strong>Results: </strong>Application of <i>A. millefolium</i> to liver incisions, whether first or second, significantly reduced bleeding time (by 36.1% and 31.9%, respectively). Histopathological analysis showed no signs of toxicity or hepatic damage after 4, 6, and 8 weeks in the female rats.</p><p><strong>Conclusion: </strong>The study confirms the hemostatic effect of the hydroalcoholic extract of <i>A. millefolium</i> in localized bleeding and establishes its safety for topical use.</p>","PeriodicalId":29722,"journal":{"name":"Hepatology Forum","volume":"5 1","pages":"25-27"},"PeriodicalIF":2.1000,"publicationDate":"2024-01-16","publicationTypes":"Journal Article","fieldsOfStudy":null,"isOpenAccess":false,"openAccessPdf":"https://www.ncbi.nlm.nih.gov/pmc/articles/PMC10809340/pdf/","citationCount":"0","resultStr":null,"platform":"Semanticscholar","paperid":null,"PeriodicalName":"Hepatology Forum","FirstCategoryId":"1085","ListUrlMain":"https://doi.org/10.14744/hf.2022.2022.0041","RegionNum":0,"RegionCategory":null,"ArticlePicture":[],"TitleCN":null,"AbstractTextCN":null,"PMCID":null,"EPubDate":"2024/1/1 0:00:00","PubModel":"eCollection","JCR":"Q4","JCRName":"GASTROENTEROLOGY & HEPATOLOGY","Score":null,"Total":0}
引用次数: 0

Abstract

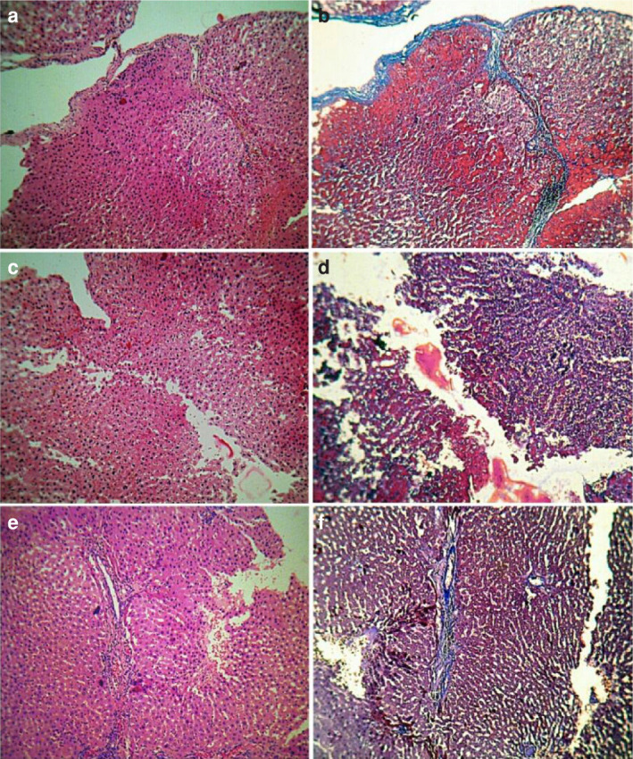
Background and aim: This study aims to demonstrate the hemostatic effect of the hydroalcoholic extract of Achillea millefolium L. in localized bleeding and to assess the safety of its topical application on rat liver.

Materials and methods: The aerial parts of A. millefolium were macerated in methanol for two days. Twelve female Wistar rats, weighing 120-220 g, underwent anesthesia and laparotomy. The liver was exposed, and two incisions were made to induce bleeding. One incision was treated with a sponge soaked in A. millefolium extract, while the other served as a control. The animals were divided into two groups: in one, A. millefolium (150 mg/kg) was applied to the first incision, and in the other, to the second incision. Liver biopsies were collected after 4, 6, and 8 weeks.

Results: Application of A. millefolium to liver incisions, whether first or second, significantly reduced bleeding time (by 36.1% and 31.9%, respectively). Histopathological analysis showed no signs of toxicity or hepatic damage after 4, 6, and 8 weeks in the female rats.

Conclusion: The study confirms the hemostatic effect of the hydroalcoholic extract of A. millefolium in localized bleeding and establishes its safety for topical use.

Abstract Image

Abstract Image

Achillea millefolium L.对局部出血的安全性和止血效果。
背景和目的:本研究旨在证明蓍草水醇提取物对局部出血的止血效果,并评估其在大鼠肝脏局部应用的安全性:将 A. millefolium 的气生部分在甲醇中浸泡两天。12 只体重 120-220 克的雌性 Wistar 大鼠接受了麻醉和开腹手术。暴露肝脏,切开两个切口以诱导出血。一个切口用浸泡过 A. millefolium 提取物的海绵处理,另一个切口作为对照。动物被分为两组:一组在第一个切口处涂抹 A. millefolium(150 毫克/千克),另一组在第二个切口处涂抹 A. millefolium(150 毫克/千克)。4周、6周和8周后收集肝脏活组织切片:结果:在肝脏切口(无论是第一切口还是第二切口)上涂抹 A. millefolium 能显著缩短出血时间(分别缩短了 36.1% 和 31.9%)。组织病理学分析表明,雌性大鼠在 4、6 和 8 周后未出现毒性或肝损伤迹象:该研究证实了 A. millefolium 水醇提取物对局部出血的止血效果,并确定了其局部使用的安全性。
本文章由计算机程序翻译,如有差异,请以英文原文为准。
求助全文
约1分钟内获得全文 求助全文
来源期刊
CiteScore
1.90
自引率
12.50%
发文量
0
×
引用
GB/T 7714-2015
复制
MLA
复制
APA
复制
导出至
BibTeX EndNote RefMan NoteFirst NoteExpress
×
提示
您的信息不完整,为了账户安全,请先补充。
现在去补充
×
提示
您因"违规操作"
具体请查看互助需知
我知道了
×
提示
确定
请完成安全验证×
copy
已复制链接
快去分享给好友吧!
我知道了
右上角分享
点击右上角分享
0
联系我们:info@booksci.cn Book学术提供免费学术资源搜索服务,方便国内外学者检索中英文文献。致力于提供最便捷和优质的服务体验。 Copyright © 2023 布克学术 All rights reserved.
京ICP备2023020795号-1
ghs 京公网安备 11010802042870号
Book学术文献互助
Book学术文献互助群
群 号:604180095
Book学术官方微信