Clinical characteristics and prognostic analysis of patients with HIV and glioma: A case series and literature review.

IF 2.3
Experimental and therapeutic medicine Pub Date : 2024-01-08 eCollection Date: 2024-02-01 DOI:10.3892/etm.2024.12380
Xinghuan Ding, Tingyu Liang, Bo Liang, Xingang Zhou, Jiamin Chen, Haili Gao, Fang Wang, Xinmei Zheng, Enshan Feng
{"title":"Clinical characteristics and prognostic analysis of patients with HIV and glioma: A case series and literature review.","authors":"Xinghuan Ding, Tingyu Liang, Bo Liang, Xingang Zhou, Jiamin Chen, Haili Gao, Fang Wang, Xinmei Zheng, Enshan Feng","doi":"10.3892/etm.2024.12380","DOIUrl":null,"url":null,"abstract":"<p><p>Cerebral glial tumors have become increasingly common in human immunodeficiency virus (HIV)-positive patients. The present study aimed to report a series of such cases, explore their clinical and pathological characteristics and subject all the reported cases to a survival analysis. The characteristics, management and prognosis of 10 HIV-positive patients with brain gliomas enrolled in a single hospital were investigated in detail. Immunohistochemical assessment of CD31, CD68 and CD163 was performed in the 10 HIV-positive patients with glioma and 18 HIV-negative patients with glioma. The relevant literature was also reviewed using relevant search terms. The potential predictive factors were screened by univariate and multivariate logistic regression analyses, and a nomogram was established based on the potential predictive factors. A total of 50 patients, including the 10 primary cases, were included in the survival analysis. The median survival time was 9 months. The gliomas of HIV-negative patients had a lower cell count of CD163<sup>+</sup> cells than those of HIV-positive patients. High CD4<sup>+</sup> T-cell count and the use of highly active antiretroviral therapy (HAART) tended to increase the median survival duration, although not significantly according to the log-rank analysis. In the univariate analysis, only surgery, radiotherapy (RT) and World Health Organization (WHO) tumor grade had significant associations with overall survival. In the multivariate analysis, only RT and WHO grade were independent predictors. In conclusion, gliomas may occur more frequently in HIV-positive populations than is currently recognized. The survival duration of most HIV-positive patients with glioma is determined by the tumor rather than HIV status. Adjuvant radiotherapy and the WHO grade of the glioma are predicted to be independent prognostic factors. Surgical resection followed by RT plus regular HAART is recommended for patients with glioma who are HIV-positive.</p>","PeriodicalId":94002,"journal":{"name":"Experimental and therapeutic medicine","volume":"27 2","pages":"90"},"PeriodicalIF":2.3000,"publicationDate":"2024-01-08","publicationTypes":"Journal Article","fieldsOfStudy":null,"isOpenAccess":false,"openAccessPdf":"https://www.ncbi.nlm.nih.gov/pmc/articles/PMC10809446/pdf/","citationCount":"0","resultStr":null,"platform":"Semanticscholar","paperid":null,"PeriodicalName":"Experimental and therapeutic medicine","FirstCategoryId":"1085","ListUrlMain":"https://doi.org/10.3892/etm.2024.12380","RegionNum":0,"RegionCategory":null,"ArticlePicture":[],"TitleCN":null,"AbstractTextCN":null,"PMCID":null,"EPubDate":"2024/2/1 0:00:00","PubModel":"eCollection","JCR":"","JCRName":"","Score":null,"Total":0}
引用次数: 0

Abstract

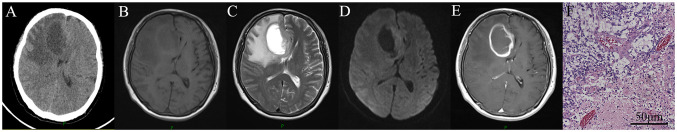
Cerebral glial tumors have become increasingly common in human immunodeficiency virus (HIV)-positive patients. The present study aimed to report a series of such cases, explore their clinical and pathological characteristics and subject all the reported cases to a survival analysis. The characteristics, management and prognosis of 10 HIV-positive patients with brain gliomas enrolled in a single hospital were investigated in detail. Immunohistochemical assessment of CD31, CD68 and CD163 was performed in the 10 HIV-positive patients with glioma and 18 HIV-negative patients with glioma. The relevant literature was also reviewed using relevant search terms. The potential predictive factors were screened by univariate and multivariate logistic regression analyses, and a nomogram was established based on the potential predictive factors. A total of 50 patients, including the 10 primary cases, were included in the survival analysis. The median survival time was 9 months. The gliomas of HIV-negative patients had a lower cell count of CD163+ cells than those of HIV-positive patients. High CD4+ T-cell count and the use of highly active antiretroviral therapy (HAART) tended to increase the median survival duration, although not significantly according to the log-rank analysis. In the univariate analysis, only surgery, radiotherapy (RT) and World Health Organization (WHO) tumor grade had significant associations with overall survival. In the multivariate analysis, only RT and WHO grade were independent predictors. In conclusion, gliomas may occur more frequently in HIV-positive populations than is currently recognized. The survival duration of most HIV-positive patients with glioma is determined by the tumor rather than HIV status. Adjuvant radiotherapy and the WHO grade of the glioma are predicted to be independent prognostic factors. Surgical resection followed by RT plus regular HAART is recommended for patients with glioma who are HIV-positive.

Abstract Image

Abstract Image

Abstract Image

艾滋病毒合并胶质瘤患者的临床特征和预后分析:病例系列和文献综述。
脑胶质瘤在人类免疫缺陷病毒(HIV)阳性患者中越来越常见。本研究旨在报告一系列此类病例,探讨其临床和病理特征,并对所有报告病例进行生存分析。本研究对一家医院收治的10例HIV阳性脑胶质瘤患者的特征、治疗和预后进行了详细调查。研究人员对 10 名 HIV 阳性脑胶质瘤患者和 18 名 HIV 阴性脑胶质瘤患者的 CD31、CD68 和 CD163 进行了免疫组化评估。此外,还使用相关检索词查阅了相关文献。通过单变量和多变量逻辑回归分析筛选了潜在的预测因素,并根据潜在的预测因素建立了一个提名图。包括 10 例原发性病例在内,共有 50 例患者被纳入生存分析。中位生存时间为 9 个月。与艾滋病病毒阳性患者相比,艾滋病病毒阴性患者胶质瘤中的CD163+细胞数量较少。CD4+ T细胞数量高和使用高效抗逆转录病毒疗法(HAART)往往会延长中位生存期,但根据对数秩分析,这两点的影响并不显著。在单变量分析中,只有手术、放射治疗(RT)和世界卫生组织(WHO)肿瘤分级与总生存期有显著相关性。在多变量分析中,只有RT和WHO分级是独立的预测因素。总之,HIV 阳性人群中神经胶质瘤的发病率可能比目前公认的要高。大多数HIV阳性胶质瘤患者的生存期是由肿瘤而非HIV状态决定的。据预测,辅助放疗和胶质瘤的 WHO 分级是独立的预后因素。建议对 HIV 阳性的胶质瘤患者进行手术切除,然后进行 RT 和常规 HAART 治疗。
本文章由计算机程序翻译,如有差异,请以英文原文为准。
求助全文
约1分钟内获得全文 求助全文
来源期刊
自引率
0.00%
发文量
0
×
引用
GB/T 7714-2015
复制
MLA
复制
APA
复制
导出至
BibTeX EndNote RefMan NoteFirst NoteExpress
×
提示
您的信息不完整,为了账户安全,请先补充。
现在去补充
×
提示
您因"违规操作"
具体请查看互助需知
我知道了
×
提示
确定
请完成安全验证×
copy
已复制链接
快去分享给好友吧!
我知道了
右上角分享
点击右上角分享
0
联系我们:info@booksci.cn Book学术提供免费学术资源搜索服务,方便国内外学者检索中英文文献。致力于提供最便捷和优质的服务体验。 Copyright © 2023 布克学术 All rights reserved.
京ICP备2023020795号-1
ghs 京公网安备 11010802042870号
Book学术文献互助
Book学术文献互助群
群 号:604180095
Book学术官方微信