Symptomatic Liver Cyst Successfully Treated with Transgastric Drainage and Sclerotherapy Using Minocycline Hydrochloride.

IF 0.5 Q4 GASTROENTEROLOGY & HEPATOLOGY
Case Reports in Gastrointestinal Medicine Pub Date : 2024-01-17 eCollection Date: 2024-01-01 DOI:10.1155/2024/6942345
Kengo Yoshitomi, Yudai Koya, Koichiro Miyagawa, Yuki Maruno, Koki Yamaguchi, Ryuta Taniguchi, Koji Onitsuka, Yoshitaka Sakamoto, Shinji Oe, Masaru Harada
{"title":"Symptomatic Liver Cyst Successfully Treated with Transgastric Drainage and Sclerotherapy Using Minocycline Hydrochloride.","authors":"Kengo Yoshitomi, Yudai Koya, Koichiro Miyagawa, Yuki Maruno, Koki Yamaguchi, Ryuta Taniguchi, Koji Onitsuka, Yoshitaka Sakamoto, Shinji Oe, Masaru Harada","doi":"10.1155/2024/6942345","DOIUrl":null,"url":null,"abstract":"<p><p>A liver cyst is hepatic fluid-filled cavities often detected in clinical surveillances such as a health examination. Although the liver cyst is usually asymptomatic and observed without any therapeutic intervention, it can be symptomatic and needs treatment due to its enlargement, hemorrhage, and infection. A 74-year-old woman presented with upper abdominal pain and a huge liver cyst in the left lobe. Several examinations including image findings revealed that the symptom could be derived from the liver cyst. Although there is no definite guideline of treatment for symptomatic liver cysts, percutaneous ultrasound-guided drainage with sclerotherapy or surgery is often selected. Because of anatomical accessibility to the liver cyst and the patient's wish, we performed endoscopic transgastric drainage with insertion of both an internal stent and an external nasocystic tube. Sclerotherapy with minocycline hydrochloride was performed through the nasocystic tube, and the liver cyst shrunk completely without any complications. This is the first reported method of administering minocycline hydrochloride through a nasocystic tube, which can be a therapeutic option for patients with symptomatic liver cysts.</p>","PeriodicalId":45645,"journal":{"name":"Case Reports in Gastrointestinal Medicine","volume":"2024 ","pages":"6942345"},"PeriodicalIF":0.5000,"publicationDate":"2024-01-17","publicationTypes":"Journal Article","fieldsOfStudy":null,"isOpenAccess":false,"openAccessPdf":"https://www.ncbi.nlm.nih.gov/pmc/articles/PMC10807977/pdf/","citationCount":"0","resultStr":null,"platform":"Semanticscholar","paperid":null,"PeriodicalName":"Case Reports in Gastrointestinal Medicine","FirstCategoryId":"1085","ListUrlMain":"https://doi.org/10.1155/2024/6942345","RegionNum":0,"RegionCategory":null,"ArticlePicture":[],"TitleCN":null,"AbstractTextCN":null,"PMCID":null,"EPubDate":"2024/1/1 0:00:00","PubModel":"eCollection","JCR":"Q4","JCRName":"GASTROENTEROLOGY & HEPATOLOGY","Score":null,"Total":0}
引用次数: 0

Abstract

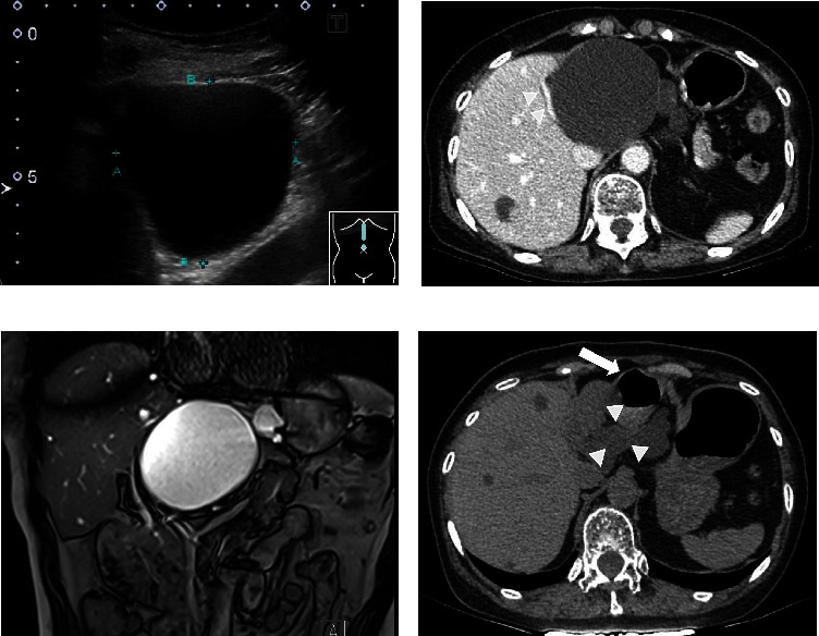
A liver cyst is hepatic fluid-filled cavities often detected in clinical surveillances such as a health examination. Although the liver cyst is usually asymptomatic and observed without any therapeutic intervention, it can be symptomatic and needs treatment due to its enlargement, hemorrhage, and infection. A 74-year-old woman presented with upper abdominal pain and a huge liver cyst in the left lobe. Several examinations including image findings revealed that the symptom could be derived from the liver cyst. Although there is no definite guideline of treatment for symptomatic liver cysts, percutaneous ultrasound-guided drainage with sclerotherapy or surgery is often selected. Because of anatomical accessibility to the liver cyst and the patient's wish, we performed endoscopic transgastric drainage with insertion of both an internal stent and an external nasocystic tube. Sclerotherapy with minocycline hydrochloride was performed through the nasocystic tube, and the liver cyst shrunk completely without any complications. This is the first reported method of administering minocycline hydrochloride through a nasocystic tube, which can be a therapeutic option for patients with symptomatic liver cysts.

Abstract Image

Abstract Image

Abstract Image

使用盐酸米诺环素经胃引流术和硬化剂疗法成功治疗症状性肝囊肿
肝囊肿是肝脏内充满液体的空腔,通常是在健康检查等临床调查中发现的。虽然肝囊肿通常无症状,无需任何治疗干预,但由于其肿大、出血和感染,也可能出现症状,需要治疗。一名 74 岁的妇女因上腹部疼痛和左叶巨大肝囊肿就诊。包括影像检查在内的多项检查结果显示,症状可能来自肝囊肿。虽然目前还没有治疗无症状肝囊肿的明确指南,但通常会选择经皮超声引导引流和硬化剂注射或手术治疗。考虑到肝囊肿的解剖学可及性和患者的意愿,我们进行了经胃内镜引流术,同时插入了内支架和外鼻囊管。通过鼻囊管使用盐酸米诺环素进行硬化剂治疗,肝囊肿完全缩小,没有出现任何并发症。这是首次报道通过鼻囊管施用盐酸米诺环素的方法,可作为无症状肝囊肿患者的一种治疗选择。
本文章由计算机程序翻译,如有差异,请以英文原文为准。
求助全文
约1分钟内获得全文 求助全文
来源期刊
Case Reports in Gastrointestinal Medicine
Case Reports in Gastrointestinal Medicine GASTROENTEROLOGY & HEPATOLOGY-
自引率
0.00%
发文量
33
审稿时长
14 weeks
×
引用
GB/T 7714-2015
复制
MLA
复制
APA
复制
导出至
BibTeX EndNote RefMan NoteFirst NoteExpress
×
提示
您的信息不完整,为了账户安全,请先补充。
现在去补充
×
提示
您因"违规操作"
具体请查看互助需知
我知道了
×
提示
确定
请完成安全验证×
copy
已复制链接
快去分享给好友吧!
我知道了
右上角分享
点击右上角分享
0
联系我们:info@booksci.cn Book学术提供免费学术资源搜索服务,方便国内外学者检索中英文文献。致力于提供最便捷和优质的服务体验。 Copyright © 2023 布克学术 All rights reserved.
京ICP备2023020795号-1
ghs 京公网安备 11010802042870号
Book学术文献互助
Book学术文献互助群
群 号:604180095
Book学术官方微信