Type 1 Gaucher's Disease. A Rare Genetic Lipid Metabolic Disorder Whose Diagnosis Was Concealed by Recurrent Malaria Infections in a 12-Year-Old Girl.

IF 2.7 Q3 HEMATOLOGY
Journal of Blood Medicine Pub Date : 2024-01-20 eCollection Date: 2024-01-01 DOI:10.2147/JBM.S444296
Yekosani Mitala, Abraham Birungi, Branchard Mushabe, John Manzi, Brian Ssenkumba, Raymond Atwine, Siyadora Ankunda
{"title":"Type 1 Gaucher's Disease. A Rare Genetic Lipid Metabolic Disorder Whose Diagnosis Was Concealed by Recurrent Malaria Infections in a 12-Year-Old Girl.","authors":"Yekosani Mitala, Abraham Birungi, Branchard Mushabe, John Manzi, Brian Ssenkumba, Raymond Atwine, Siyadora Ankunda","doi":"10.2147/JBM.S444296","DOIUrl":null,"url":null,"abstract":"<p><strong>Introduction: </strong>Gaucher disease is a rare autosomal recessive lysosomal storage disease with unknown prevalence in Africa and no record of the disease exists in Uganda.</p><p><strong>Case presentation: </strong>We report a case of a 12-year-old female, the last born of 6 from a family with no known familial disease who presented with non-neuronopathic Gaucher disease and superimposed malaria. The disease was initially misdiagnosed as hyperreactive malarial splenomegaly but was subsequently confirmed by examination of the bone marrow smear and core. The disease was managed supportively and splenectomy was done due to worsening hematological parameters. She currently takes morphine for bone pains in addition to physiotherapy.</p><p><strong>Conclusion: </strong>Always HMS is a common complication in malaria endemic areas, other causes of hepatosplenomegaly need to be excluded before the diagnosis is made. Diagnosis and treatment of patients with rare conditions like GD is still a challenge in developing countries. Although splenectomy is indicated in GD, it should only be done when it is absolutely necessary.</p>","PeriodicalId":15166,"journal":{"name":"Journal of Blood Medicine","volume":"15 ","pages":"1-7"},"PeriodicalIF":2.7000,"publicationDate":"2024-01-20","publicationTypes":"Journal Article","fieldsOfStudy":null,"isOpenAccess":false,"openAccessPdf":"https://www.ncbi.nlm.nih.gov/pmc/articles/PMC10807272/pdf/","citationCount":"0","resultStr":null,"platform":"Semanticscholar","paperid":null,"PeriodicalName":"Journal of Blood Medicine","FirstCategoryId":"1085","ListUrlMain":"https://doi.org/10.2147/JBM.S444296","RegionNum":0,"RegionCategory":null,"ArticlePicture":[],"TitleCN":null,"AbstractTextCN":null,"PMCID":null,"EPubDate":"2024/1/1 0:00:00","PubModel":"eCollection","JCR":"Q3","JCRName":"HEMATOLOGY","Score":null,"Total":0}
引用次数: 0

Abstract

Introduction: Gaucher disease is a rare autosomal recessive lysosomal storage disease with unknown prevalence in Africa and no record of the disease exists in Uganda.

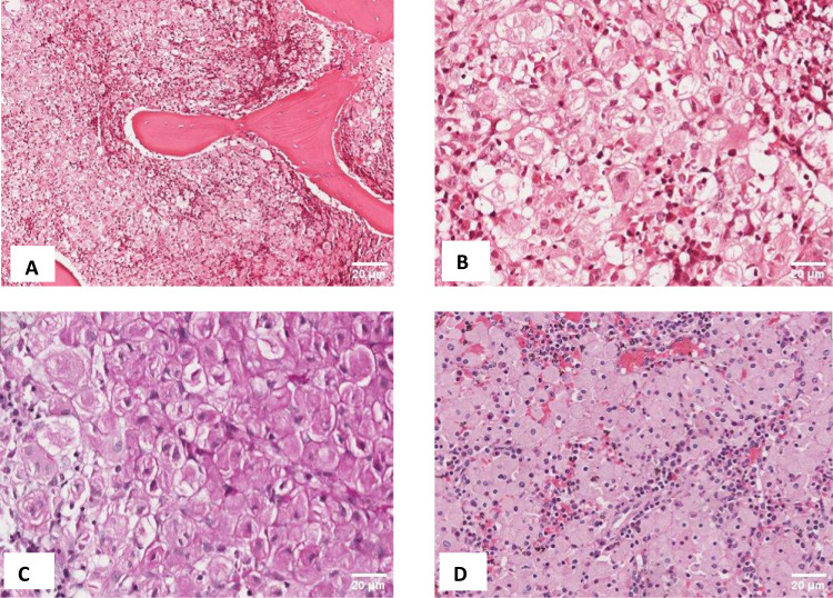
Case presentation: We report a case of a 12-year-old female, the last born of 6 from a family with no known familial disease who presented with non-neuronopathic Gaucher disease and superimposed malaria. The disease was initially misdiagnosed as hyperreactive malarial splenomegaly but was subsequently confirmed by examination of the bone marrow smear and core. The disease was managed supportively and splenectomy was done due to worsening hematological parameters. She currently takes morphine for bone pains in addition to physiotherapy.

Conclusion: Always HMS is a common complication in malaria endemic areas, other causes of hepatosplenomegaly need to be excluded before the diagnosis is made. Diagnosis and treatment of patients with rare conditions like GD is still a challenge in developing countries. Although splenectomy is indicated in GD, it should only be done when it is absolutely necessary.

Abstract Image

Abstract Image

Abstract Image

1型戈谢病。一种罕见的遗传性脂质代谢紊乱,12 岁女孩因反复感染疟疾而被掩盖了诊断。
导言:戈谢病是一种罕见的常染色体隐性溶酶体储积病,在非洲的发病率不详,乌干达也没有该病的记录:我们报告了一例 12 岁女性的病例,她是家中 6 个孩子中的最后一个,没有已知的家族性疾病。该病最初被误诊为高反应性恶性脾肿大,但随后通过骨髓涂片和骨髓核检查得到确诊。对该病进行了支持性治疗,由于血液学指标恶化,进行了脾脏切除术。目前,除了物理治疗外,她还服用吗啡治疗骨痛:在疟疾流行地区,肝脾肿大是一种常见的并发症,在确诊前需要排除导致肝脾肿大的其他原因。在发展中国家,诊断和治疗 GD 等罕见疾病患者仍是一项挑战。尽管脾切除术适用于 GD,但只有在绝对必要的情况下才能进行。
本文章由计算机程序翻译,如有差异,请以英文原文为准。
求助全文
约1分钟内获得全文 求助全文
来源期刊
CiteScore
3.50
自引率
0.00%
发文量
94
审稿时长
16 weeks
期刊介绍: The Journal of Blood Medicine is an international, peer-reviewed, open access, online journal publishing laboratory, experimental and clinical aspects of all topics pertaining to blood based medicine including but not limited to: Transfusion Medicine (blood components, stem cell transplantation, apheresis, gene based therapeutics), Blood collection, Donor issues, Transmittable diseases, and Blood banking logistics, Immunohematology, Artificial and alternative blood based therapeutics, Hematology including disorders/pathology related to leukocytes/immunology, red cells, platelets and hemostasis, Biotechnology/nanotechnology of blood related medicine, Legal aspects of blood medicine, Historical perspectives. Original research, short reports, reviews, case reports and commentaries are invited.
×
引用
GB/T 7714-2015
复制
MLA
复制
APA
复制
导出至
BibTeX EndNote RefMan NoteFirst NoteExpress
×
提示
您的信息不完整,为了账户安全,请先补充。
现在去补充
×
提示
您因"违规操作"
具体请查看互助需知
我知道了
×
提示
确定
请完成安全验证×
copy
已复制链接
快去分享给好友吧!
我知道了
右上角分享
点击右上角分享
0
联系我们:info@booksci.cn Book学术提供免费学术资源搜索服务,方便国内外学者检索中英文文献。致力于提供最便捷和优质的服务体验。 Copyright © 2023 布克学术 All rights reserved.
京ICP备2023020795号-1
ghs 京公网安备 11010802042870号
Book学术文献互助
Book学术文献互助群
群 号:604180095
Book学术官方微信