Pembrolizumab Therapy Leading to Complete Remission for Recurrence of Pulmonary Metastases after their Resection and Radical Cystectomy following Gemcitabine and Cisplatin Therapy.

Case Reports in Urology Pub Date : 2024-01-17 eCollection Date: 2024-01-01 DOI:10.1155/2024/5586448
Kyohei Ishida, Go Hasegawa, Takehisa Hashimoto, Yohei Ikeda, Noboru Hara, Tsutomu Nishiyama
{"title":"Pembrolizumab Therapy Leading to Complete Remission for Recurrence of Pulmonary Metastases after their Resection and Radical Cystectomy following Gemcitabine and Cisplatin Therapy.","authors":"Kyohei Ishida, Go Hasegawa, Takehisa Hashimoto, Yohei Ikeda, Noboru Hara, Tsutomu Nishiyama","doi":"10.1155/2024/5586448","DOIUrl":null,"url":null,"abstract":"<p><p>A 64-year-old man was diagnosed with invasive bladder and right lower ureteral urothelial cancer with right pelvic lymph node and lung metastases. He received four courses of gemcitabine and cisplatin therapy. He underwent lung metastasectomy and radical cystoprostatectomy, with not only primary lesions but also metastatic lesions showing a complete response. New multiple lung metastases were revealed five months after adjuvant chemotherapy. On starting pembrolizumab therapy, the metastatic lesions are notably reduced in size. He is currently receiving pembrolizumab therapy, and no recurrence has been observed for over one year.</p>","PeriodicalId":30323,"journal":{"name":"Case Reports in Urology","volume":"2024 ","pages":"5586448"},"PeriodicalIF":0.0000,"publicationDate":"2024-01-17","publicationTypes":"Journal Article","fieldsOfStudy":null,"isOpenAccess":false,"openAccessPdf":"https://www.ncbi.nlm.nih.gov/pmc/articles/PMC10807942/pdf/","citationCount":"0","resultStr":null,"platform":"Semanticscholar","paperid":null,"PeriodicalName":"Case Reports in Urology","FirstCategoryId":"1085","ListUrlMain":"https://doi.org/10.1155/2024/5586448","RegionNum":0,"RegionCategory":null,"ArticlePicture":[],"TitleCN":null,"AbstractTextCN":null,"PMCID":null,"EPubDate":"2024/1/1 0:00:00","PubModel":"eCollection","JCR":"","JCRName":"","Score":null,"Total":0}
引用次数: 0

Abstract

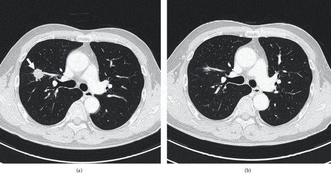
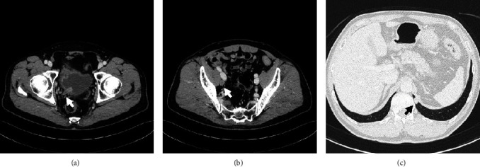
A 64-year-old man was diagnosed with invasive bladder and right lower ureteral urothelial cancer with right pelvic lymph node and lung metastases. He received four courses of gemcitabine and cisplatin therapy. He underwent lung metastasectomy and radical cystoprostatectomy, with not only primary lesions but also metastatic lesions showing a complete response. New multiple lung metastases were revealed five months after adjuvant chemotherapy. On starting pembrolizumab therapy, the metastatic lesions are notably reduced in size. He is currently receiving pembrolizumab therapy, and no recurrence has been observed for over one year.

Abstract Image

Abstract Image

Abstract Image

Pembrolizumab疗法使吉西他滨和顺铂治疗后肺转移灶切除和根治性膀胱切除术后复发的患者获得完全缓解
一名 64 岁的男子被诊断出患有浸润性膀胱癌和右输尿管下段尿路上皮癌,并伴有右盆腔淋巴结和肺转移。他接受了四个疗程的吉西他滨和顺铂治疗。他接受了肺转移灶切除术和根治性前列腺膀胱切除术,不仅原发病灶,转移病灶也显示出完全反应。辅助化疗五个月后发现新的多发性肺转移灶。开始接受pembrolizumab治疗后,转移病灶明显缩小。他目前正在接受pembrolizumab治疗,一年多以来未见复发。
本文章由计算机程序翻译,如有差异,请以英文原文为准。
求助全文
约1分钟内获得全文 求助全文
来源期刊
自引率
0.00%
发文量
28
审稿时长
13 weeks
×
引用
GB/T 7714-2015
复制
MLA
复制
APA
复制
导出至
BibTeX EndNote RefMan NoteFirst NoteExpress
×
提示
您的信息不完整,为了账户安全,请先补充。
现在去补充
×
提示
您因"违规操作"
具体请查看互助需知
我知道了
×
提示
确定
请完成安全验证×
copy
已复制链接
快去分享给好友吧!
我知道了
右上角分享
点击右上角分享
0
联系我们:info@booksci.cn Book学术提供免费学术资源搜索服务,方便国内外学者检索中英文文献。致力于提供最便捷和优质的服务体验。 Copyright © 2023 布克学术 All rights reserved.
京ICP备2023020795号-1
ghs 京公网安备 11010802042870号
Book学术文献互助
Book学术文献互助群
群 号:604180095
Book学术官方微信