Urethral Recurrence After Cystectomy and Orthotopic Bladder Reconstruction: A Rare Case of Recurrent Bladder Cancer After 12 Years and Review of the Literature.

IF 0.6 Q3 MEDICINE, GENERAL & INTERNAL
Clinical Medicine Insights. Case Reports Pub Date : 2024-01-21 eCollection Date: 2024-01-01 DOI:10.1177/11795476231224188
Trong-Tan Ho Truong, Dang-Khoa Huynh Nguyen, Ky Nam Dinh, Minh Sam Thai
{"title":"Urethral Recurrence After Cystectomy and Orthotopic Bladder Reconstruction: A Rare Case of Recurrent Bladder Cancer After 12 Years and Review of the Literature.","authors":"Trong-Tan Ho Truong, Dang-Khoa Huynh Nguyen, Ky Nam Dinh, Minh Sam Thai","doi":"10.1177/11795476231224188","DOIUrl":null,"url":null,"abstract":"<p><strong>Introduction: </strong>Radical cystectomy combined with orthotopic urinary diversion is a chosen approach for treating invasive bladder cancer. However, urothelial cell carcinoma is characterized by its potential for recurrence and the development of multiple tumors in the urinary tracts. In the natural progression of transitional cell carcinoma, the remaining ureteral stump is considered a predicted site for possible recurrence after radical cystectomy. Currently, there is no specific recommendation for the diagnosis and management of this condition.</p><p><strong>Objective: </strong>We report a rare case in a 74-year-old male patient who was diagnosed with anterior urethral carcinoma following a history of radical cystectomy and Hautmann ileal neobladder reconstruction. Additionally, we summarize some novel findings regarding risk factors, diagnosis, treatment, and prognosis in patients with recurrent bladder cancer in the urethra after radical cystectomy.</p><p><strong>Methods: </strong>A case report and mini review.</p><p><strong>Results: </strong>The patient was diagnosed with recurrent bladder cancer in the urethral after radical cystectomy using magnetic resonance imaging of the pelvis, cystoscopy, and biopsy. Complete urethrectomy and creation of a permanent percutaneous urinary diversion were performed. No intraoperative or postoperative complications were recorded. The patient was discharged 3 days after the surgery.</p><p><strong>Conclusion: </strong>Urethral cancer following radical cystectomy for bladder cancer treatment is a rare condition. Risk factors for this occurrence include male gender, non-use of orthotopic neobladder reconstruction technique, invasive tumors in the prostatic urethra, and multifocal tumors. The treatment of these tumors can be determined based on the extent of invasion and histological characteristics, leading to the choice between radical urethrectomy or alternative conservative treatments.</p>","PeriodicalId":10357,"journal":{"name":"Clinical Medicine Insights. Case Reports","volume":"17 ","pages":"11795476231224188"},"PeriodicalIF":0.6000,"publicationDate":"2024-01-21","publicationTypes":"Journal Article","fieldsOfStudy":null,"isOpenAccess":false,"openAccessPdf":"https://www.ncbi.nlm.nih.gov/pmc/articles/PMC10804922/pdf/","citationCount":"0","resultStr":null,"platform":"Semanticscholar","paperid":null,"PeriodicalName":"Clinical Medicine Insights. Case Reports","FirstCategoryId":"1085","ListUrlMain":"https://doi.org/10.1177/11795476231224188","RegionNum":0,"RegionCategory":null,"ArticlePicture":[],"TitleCN":null,"AbstractTextCN":null,"PMCID":null,"EPubDate":"2024/1/1 0:00:00","PubModel":"eCollection","JCR":"Q3","JCRName":"MEDICINE, GENERAL & INTERNAL","Score":null,"Total":0}
引用次数: 0

Abstract

Introduction: Radical cystectomy combined with orthotopic urinary diversion is a chosen approach for treating invasive bladder cancer. However, urothelial cell carcinoma is characterized by its potential for recurrence and the development of multiple tumors in the urinary tracts. In the natural progression of transitional cell carcinoma, the remaining ureteral stump is considered a predicted site for possible recurrence after radical cystectomy. Currently, there is no specific recommendation for the diagnosis and management of this condition.

Objective: We report a rare case in a 74-year-old male patient who was diagnosed with anterior urethral carcinoma following a history of radical cystectomy and Hautmann ileal neobladder reconstruction. Additionally, we summarize some novel findings regarding risk factors, diagnosis, treatment, and prognosis in patients with recurrent bladder cancer in the urethra after radical cystectomy.

Methods: A case report and mini review.

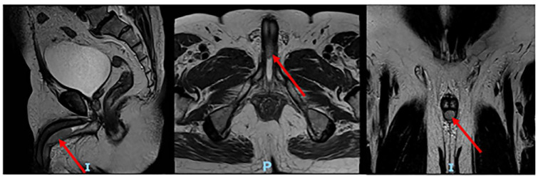
Results: The patient was diagnosed with recurrent bladder cancer in the urethral after radical cystectomy using magnetic resonance imaging of the pelvis, cystoscopy, and biopsy. Complete urethrectomy and creation of a permanent percutaneous urinary diversion were performed. No intraoperative or postoperative complications were recorded. The patient was discharged 3 days after the surgery.

Conclusion: Urethral cancer following radical cystectomy for bladder cancer treatment is a rare condition. Risk factors for this occurrence include male gender, non-use of orthotopic neobladder reconstruction technique, invasive tumors in the prostatic urethra, and multifocal tumors. The treatment of these tumors can be determined based on the extent of invasion and histological characteristics, leading to the choice between radical urethrectomy or alternative conservative treatments.

Abstract Image

Abstract Image

Abstract Image

膀胱切除术和异位膀胱重建术后尿道复发:12年后膀胱癌复发的罕见病例及文献综述。
导言:根治性膀胱切除术结合正位尿流改道术是治疗浸润性膀胱癌的首选方法。然而,尿路上皮细胞癌的特点是可能复发和在尿路中发展成多个肿瘤。在过渡细胞癌的自然发展过程中,剩余的输尿管残端被认为是根治性膀胱切除术后可能复发的预测部位。目前,对这种情况的诊断和处理还没有具体的建议:我们报告了一例罕见病例,一名 74 岁的男性患者在接受根治性膀胱切除术和 Hautmann 回肠新膀胱重建术后被诊断为前尿道癌。此外,我们还总结了根治性膀胱切除术后尿道复发膀胱癌患者在风险因素、诊断、治疗和预后方面的一些新发现:病例报告和微型综述:结果:通过盆腔磁共振成像、膀胱镜检查和活检,患者被诊断为根治性膀胱切除术后尿道复发性膀胱癌。患者接受了尿道全切术和永久性经皮尿路转流术。术中和术后均未出现并发症。患者术后3天出院:结论:膀胱癌根治术后尿道癌是一种罕见病。结论:膀胱癌根治性切除术后尿道癌是一种罕见病,其发生的风险因素包括男性、未使用正位新膀胱重建技术、前列腺尿道内的浸润性肿瘤以及多灶性肿瘤。对这些肿瘤的治疗可根据肿瘤的侵犯程度和组织学特征来决定,从而选择根治性尿道切除术或其他保守治疗方法。
本文章由计算机程序翻译,如有差异,请以英文原文为准。
求助全文
约1分钟内获得全文 求助全文
来源期刊
Clinical Medicine Insights. Case Reports
Clinical Medicine Insights. Case Reports MEDICINE, GENERAL & INTERNAL-
CiteScore
1.10
自引率
0.00%
发文量
57
审稿时长
8 weeks
×
引用
GB/T 7714-2015
复制
MLA
复制
APA
复制
导出至
BibTeX EndNote RefMan NoteFirst NoteExpress
×
提示
您的信息不完整,为了账户安全,请先补充。
现在去补充
×
提示
您因"违规操作"
具体请查看互助需知
我知道了
×
提示
确定
请完成安全验证×
copy
已复制链接
快去分享给好友吧!
我知道了
右上角分享
点击右上角分享
0
联系我们:info@booksci.cn Book学术提供免费学术资源搜索服务,方便国内外学者检索中英文文献。致力于提供最便捷和优质的服务体验。 Copyright © 2023 布克学术 All rights reserved.
京ICP备2023020795号-1
ghs 京公网安备 11010802042870号
Book学术文献互助
Book学术文献互助群
群 号:604180095
Book学术官方微信