Under the Microscope: A Case Report of Thoracic SMARCA4-Deficient Undifferentiated Tumor with Review of the Literature.

IF 2.1 Q4 PATHOLOGY
Manasi Mundada, Khalid Abdul Mannan, Divya Vasu, Faiq Ahmed, Suseela K
{"title":"Under the Microscope: A Case Report of Thoracic SMARCA4-Deficient Undifferentiated Tumor with Review of the Literature.","authors":"Manasi Mundada, Khalid Abdul Mannan, Divya Vasu, Faiq Ahmed, Suseela K","doi":"10.5146/tjpath.2023.12965","DOIUrl":null,"url":null,"abstract":"<p><strong>Objective: </strong>SMARCA4-deficient undifferentiated tumor (SMARCA4-UT) is a highly malignant neoplasm with an undifferentiated or rhabdoid phenotype, posing a diagnostic challenge. This case report aims to create awareness about this rare neoplasm while dealing with cases presenting with undifferentiated morphology.</p><p><strong>Case report: </strong>A 55-year-old gentleman with constitutional symptoms and lymphadenopathy. Imaging revealed a mass lesion in the right upper lobe of the lung. A biopsy of the cervical lymph node showed diffusely effaced architecture replaced by sheets of undifferentiated pleomorphic cells with vesicular nuclei, prominent nucleoli, eosinophilic cytoplasm, and multiple necrotic foci. An extensive immunohistochemistry (IHC) panel was applied, which showed positivity for synaptophysin, vimentin, and focal CD34 and EMA expression. Other markers like pan-cytokeratin, p40, TTF1, CD56, INSM1, calretinin, CD45, SOX10, S100, CD30, CD117, SMA, and Desmin were negative, with INI1 retained. The IHC panel excluded the morphological differentials of carcinoma, lymphoma, rhabdomyosarcoma, melanoma, and germ cell tumor. Further literature review led to the possibility of the SMARCA4-UT entity, which had a morphology and IHC profile similar to the present case. Testing for SMARCA4 (BRG-1) by IHC showed a complete loss in the tumor cells, favoring the diagnosis of Thoracic SMARCA4-deficient undifferentiated tumor (SMARCA4-UT).</p><p><strong>Conclusion: </strong>SMARCA4-UTs are rare, highly aggressive, and poorly differentiated thoracic tumors. Recognizing them is vital as there is potential for therapeutic interventions such as immunotherapy and SMARCA4-targeted therapies, offering promising prospects for the future.</p>","PeriodicalId":45415,"journal":{"name":"Turkish Journal of Pathology","volume":" ","pages":"128-133"},"PeriodicalIF":2.1000,"publicationDate":"2024-01-01","publicationTypes":"Journal Article","fieldsOfStudy":null,"isOpenAccess":false,"openAccessPdf":"https://www.ncbi.nlm.nih.gov/pmc/articles/PMC11131568/pdf/","citationCount":"0","resultStr":null,"platform":"Semanticscholar","paperid":null,"PeriodicalName":"Turkish Journal of Pathology","FirstCategoryId":"1085","ListUrlMain":"https://doi.org/10.5146/tjpath.2023.12965","RegionNum":0,"RegionCategory":null,"ArticlePicture":[],"TitleCN":null,"AbstractTextCN":null,"PMCID":null,"EPubDate":"","PubModel":"","JCR":"Q4","JCRName":"PATHOLOGY","Score":null,"Total":0}
引用次数: 0

Abstract

Objective: SMARCA4-deficient undifferentiated tumor (SMARCA4-UT) is a highly malignant neoplasm with an undifferentiated or rhabdoid phenotype, posing a diagnostic challenge. This case report aims to create awareness about this rare neoplasm while dealing with cases presenting with undifferentiated morphology.

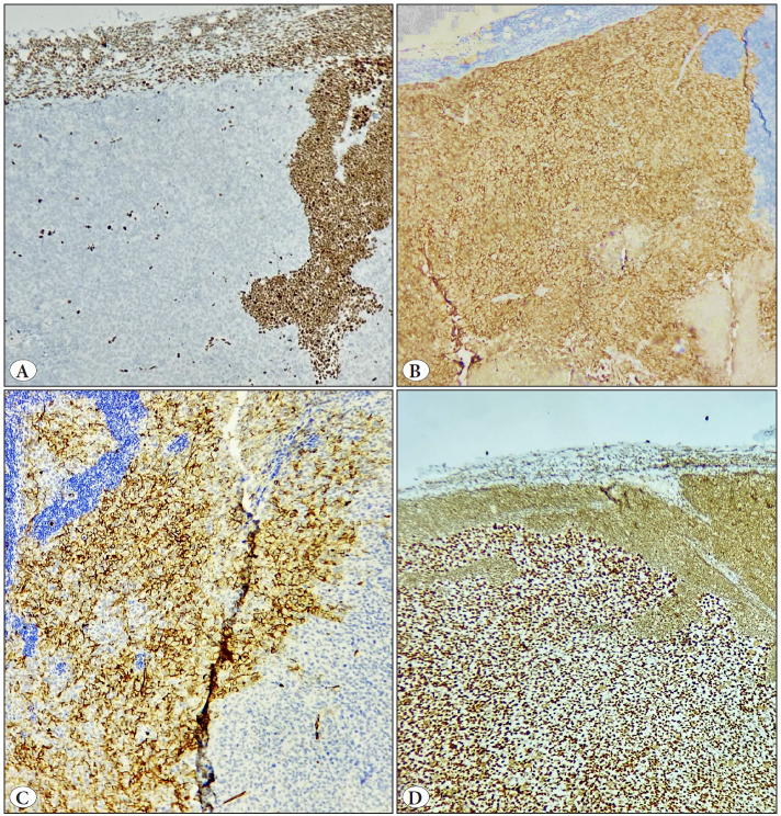
Case report: A 55-year-old gentleman with constitutional symptoms and lymphadenopathy. Imaging revealed a mass lesion in the right upper lobe of the lung. A biopsy of the cervical lymph node showed diffusely effaced architecture replaced by sheets of undifferentiated pleomorphic cells with vesicular nuclei, prominent nucleoli, eosinophilic cytoplasm, and multiple necrotic foci. An extensive immunohistochemistry (IHC) panel was applied, which showed positivity for synaptophysin, vimentin, and focal CD34 and EMA expression. Other markers like pan-cytokeratin, p40, TTF1, CD56, INSM1, calretinin, CD45, SOX10, S100, CD30, CD117, SMA, and Desmin were negative, with INI1 retained. The IHC panel excluded the morphological differentials of carcinoma, lymphoma, rhabdomyosarcoma, melanoma, and germ cell tumor. Further literature review led to the possibility of the SMARCA4-UT entity, which had a morphology and IHC profile similar to the present case. Testing for SMARCA4 (BRG-1) by IHC showed a complete loss in the tumor cells, favoring the diagnosis of Thoracic SMARCA4-deficient undifferentiated tumor (SMARCA4-UT).

Conclusion: SMARCA4-UTs are rare, highly aggressive, and poorly differentiated thoracic tumors. Recognizing them is vital as there is potential for therapeutic interventions such as immunotherapy and SMARCA4-targeted therapies, offering promising prospects for the future.

Abstract Image

Abstract Image

显微镜下胸部 SMARCA4 缺失性未分化肿瘤病例报告及文献综述
目的:SMARCA4缺陷性未分化肿瘤(SMARCA4-UT)是一种具有未分化或横纹肌样表型的高度恶性肿瘤,给诊断带来了挑战。本病例报告旨在提高人们对这种罕见肿瘤的认识,同时处理出现未分化形态的病例:病例报告:一名 55 岁的男性,有全身症状和淋巴结病。影像学检查发现右肺上叶有肿块病变。颈淋巴结活检显示,弥漫性结构被成片的未分化多形性细胞所取代,这些细胞具有水泡状核、突出的核小体、嗜酸性细胞质和多个坏死灶。应用广泛的免疫组化(IHC)检测,结果显示突触素、波形蛋白、局灶性 CD34 和 EMA 表达阳性。其他标记物如泛细胞角蛋白、p40、TTF1、CD56、INSM1、钙凝蛋白、CD45、SOX10、S100、CD30、CD117、SMA和Desmin均为阴性,INI1保留。IHC检测结果排除了癌、淋巴瘤、横纹肌肉瘤、黑色素瘤和生殖细胞瘤的形态学鉴别。进一步查阅文献后,发现可能是SMARCA4-UT实体,其形态和IHC特征与本病例相似。通过IHC检测SMARCA4 (BRG-1),发现肿瘤细胞中的SMARCA4 (BRG-1)完全缺失,因此诊断为胸部SMARCA4缺失性未分化肿瘤(SMARCA4-UT):结论:SMARCA4-UT是一种罕见、侵袭性强、分化差的胸部肿瘤。识别它们至关重要,因为它们有可能被用于治疗干预,如免疫疗法和SMARCA4靶向疗法,为未来提供了美好的前景。
本文章由计算机程序翻译,如有差异,请以英文原文为准。
求助全文
约1分钟内获得全文 求助全文
来源期刊
CiteScore
1.90
自引率
10.00%
发文量
23
审稿时长
14 weeks
×
引用
GB/T 7714-2015
复制
MLA
复制
APA
复制
导出至
BibTeX EndNote RefMan NoteFirst NoteExpress
×
提示
您的信息不完整,为了账户安全,请先补充。
现在去补充
×
提示
您因"违规操作"
具体请查看互助需知
我知道了
×
提示
确定
请完成安全验证×
copy
已复制链接
快去分享给好友吧!
我知道了
右上角分享
点击右上角分享
0
联系我们:info@booksci.cn Book学术提供免费学术资源搜索服务,方便国内外学者检索中英文文献。致力于提供最便捷和优质的服务体验。 Copyright © 2023 布克学术 All rights reserved.
京ICP备2023020795号-1
ghs 京公网安备 11010802042870号
Book学术文献互助
Book学术文献互助群
群 号:604180095
Book学术官方微信