A Case of Nasal Glial Heterotopia That Can Be Misdiagnosed as Storiform Patterned Sclerotic Fibroma/Collagenoma.

IF 2.1 Q4 PATHOLOGY
Fatma Gundogdu, Deniz Ates Ozdemir, Ibrahim Vargel
{"title":"A Case of Nasal Glial Heterotopia That Can Be Misdiagnosed as Storiform Patterned Sclerotic Fibroma/Collagenoma.","authors":"Fatma Gundogdu, Deniz Ates Ozdemir, Ibrahim Vargel","doi":"10.5146/tjpath.2023.13053","DOIUrl":null,"url":null,"abstract":"<p><strong>Objective: </strong>Nasal glioma, also known as nasal glial heterotopia, is a rare tumor-like lesion that often affects newborns or infants with no hereditary predisposition.</p><p><strong>Case report: </strong>A 4-year-old child with a growth on the nasal dorsum since birth was diagnosed with nasal glial heterotopia/nasal glioma. The lesion showed a sclerotic fibroma/collagenoma-like storiform pattern with entrapped glial tissue that was S100 and GFAP positive.</p><p><strong>Conclusion: </strong>When a biopsy of the nasal dorsum demonstrates sclerotic microscopic findings with a storiform pattern, nasal glioma should be considered before making a diagnosis in the collagen-rich tissue spectrum (collagenoma or Gardner's fibroma), and an immunohistochemical panel should be requested to demonstrate the presence of an unrecognized light microscopically visible glial component.</p>","PeriodicalId":45415,"journal":{"name":"Turkish Journal of Pathology","volume":" ","pages":"134-137"},"PeriodicalIF":2.1000,"publicationDate":"2024-01-01","publicationTypes":"Journal Article","fieldsOfStudy":null,"isOpenAccess":false,"openAccessPdf":"https://www.ncbi.nlm.nih.gov/pmc/articles/PMC11131565/pdf/","citationCount":"0","resultStr":null,"platform":"Semanticscholar","paperid":null,"PeriodicalName":"Turkish Journal of Pathology","FirstCategoryId":"1085","ListUrlMain":"https://doi.org/10.5146/tjpath.2023.13053","RegionNum":0,"RegionCategory":null,"ArticlePicture":[],"TitleCN":null,"AbstractTextCN":null,"PMCID":null,"EPubDate":"","PubModel":"","JCR":"Q4","JCRName":"PATHOLOGY","Score":null,"Total":0}
引用次数: 0

Abstract

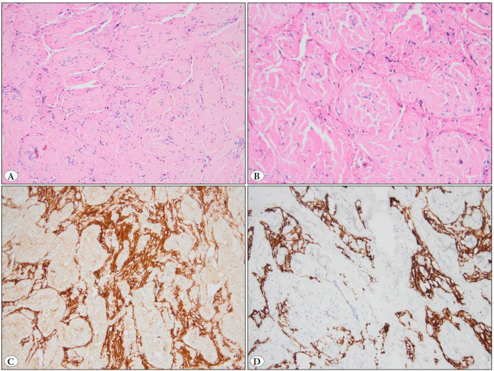
Objective: Nasal glioma, also known as nasal glial heterotopia, is a rare tumor-like lesion that often affects newborns or infants with no hereditary predisposition.

Case report: A 4-year-old child with a growth on the nasal dorsum since birth was diagnosed with nasal glial heterotopia/nasal glioma. The lesion showed a sclerotic fibroma/collagenoma-like storiform pattern with entrapped glial tissue that was S100 and GFAP positive.

Conclusion: When a biopsy of the nasal dorsum demonstrates sclerotic microscopic findings with a storiform pattern, nasal glioma should be considered before making a diagnosis in the collagen-rich tissue spectrum (collagenoma or Gardner's fibroma), and an immunohistochemical panel should be requested to demonstrate the presence of an unrecognized light microscopically visible glial component.

Abstract Image

Abstract Image

一例鼻腔胶质异位症,可误诊为星状花纹硬化性纤维瘤/胶原瘤。
摘要鼻胶质瘤又称鼻胶质异位症,是一种罕见的肿瘤样病变,通常发生在新生儿或婴儿身上,没有遗传倾向:病例报告:一名 4 岁儿童自出生起鼻背就长有赘生物,被诊断为鼻胶质异位症/鼻胶质瘤。病变呈硬化性纤维瘤/胶原瘤样星状形态,内含胶质组织,S100 和 GFAP 阳性:结论:当鼻背活组织检查显示硬化性显微镜检查结果并伴有storiform模式时,在做出富胶原组织谱(胶原瘤或Gardner纤维瘤)的诊断之前,应考虑鼻胶质瘤,并应要求进行免疫组化检查,以证明存在未被识别的光镜下可见的胶质成分。
本文章由计算机程序翻译,如有差异,请以英文原文为准。
求助全文
约1分钟内获得全文 求助全文
来源期刊
CiteScore
1.90
自引率
10.00%
发文量
23
审稿时长
14 weeks
×
引用
GB/T 7714-2015
复制
MLA
复制
APA
复制
导出至
BibTeX EndNote RefMan NoteFirst NoteExpress
×
提示
您的信息不完整,为了账户安全,请先补充。
现在去补充
×
提示
您因"违规操作"
具体请查看互助需知
我知道了
×
提示
确定
请完成安全验证×
copy
已复制链接
快去分享给好友吧!
我知道了
右上角分享
点击右上角分享
0
联系我们:info@booksci.cn Book学术提供免费学术资源搜索服务,方便国内外学者检索中英文文献。致力于提供最便捷和优质的服务体验。 Copyright © 2023 布克学术 All rights reserved.
京ICP备2023020795号-1
ghs 京公网安备 11010802042870号
Book学术文献互助
Book学术文献互助群
群 号:604180095
Book学术官方微信