Metastatic Esophageal Adenocarcinoma Presenting as Neck Dermal Metastasis.

Q3 Medicine
Case Reports in Dermatological Medicine Pub Date : 2024-01-16 eCollection Date: 2024-01-01 DOI:10.1155/2024/7951391
Sara Ibrahim-Shaikh, Noah Shaikh, Nour Daboul, Esra Alshaikhnassir, Maria Hafez, Monika E Freiser
{"title":"Metastatic Esophageal Adenocarcinoma Presenting as Neck Dermal Metastasis.","authors":"Sara Ibrahim-Shaikh, Noah Shaikh, Nour Daboul, Esra Alshaikhnassir, Maria Hafez, Monika E Freiser","doi":"10.1155/2024/7951391","DOIUrl":null,"url":null,"abstract":"<p><p>Dermal metastasis is a rare manifestation of visceral disease, and esophageal adenocarcinomas represent around only 1% of primaries that present with cutaneous metastasis. In this case, we discuss a patient who presented with a painless submental mass and extensive right neck cutaneous induration and erythema. Core needle biopsy demonstrated poorly differentiated adenocarcinoma. Blood testing also demonstrated elevated carbohydrate antigen 19-9, carcinoembryonic antigen, and alkaline phosphatase. PET/CT followed by esophagoscopy led to the diagnosis of esophageal signet-cell adenocarcinoma primary with isolated dermal metastasis. The patient was started on palliative radiotherapy and passed away two months later from a suspected thoracic fistula and hydropneumothorax.</p>","PeriodicalId":9630,"journal":{"name":"Case Reports in Dermatological Medicine","volume":"2024 ","pages":"7951391"},"PeriodicalIF":0.0000,"publicationDate":"2024-01-16","publicationTypes":"Journal Article","fieldsOfStudy":null,"isOpenAccess":false,"openAccessPdf":"https://www.ncbi.nlm.nih.gov/pmc/articles/PMC10805548/pdf/","citationCount":"0","resultStr":null,"platform":"Semanticscholar","paperid":null,"PeriodicalName":"Case Reports in Dermatological Medicine","FirstCategoryId":"1085","ListUrlMain":"https://doi.org/10.1155/2024/7951391","RegionNum":0,"RegionCategory":null,"ArticlePicture":[],"TitleCN":null,"AbstractTextCN":null,"PMCID":null,"EPubDate":"2024/1/1 0:00:00","PubModel":"eCollection","JCR":"Q3","JCRName":"Medicine","Score":null,"Total":0}
引用次数: 0

Abstract

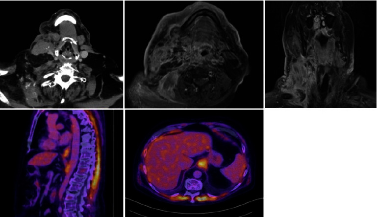
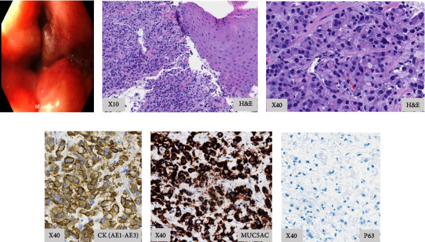
Dermal metastasis is a rare manifestation of visceral disease, and esophageal adenocarcinomas represent around only 1% of primaries that present with cutaneous metastasis. In this case, we discuss a patient who presented with a painless submental mass and extensive right neck cutaneous induration and erythema. Core needle biopsy demonstrated poorly differentiated adenocarcinoma. Blood testing also demonstrated elevated carbohydrate antigen 19-9, carcinoembryonic antigen, and alkaline phosphatase. PET/CT followed by esophagoscopy led to the diagnosis of esophageal signet-cell adenocarcinoma primary with isolated dermal metastasis. The patient was started on palliative radiotherapy and passed away two months later from a suspected thoracic fistula and hydropneumothorax.

Abstract Image

Abstract Image

Abstract Image

表现为颈部真皮转移的转移性食管腺癌
皮肤转移是内脏疾病的一种罕见表现,食管腺癌仅占出现皮肤转移的原发癌的 1%左右。在本病例中,我们讨论了一名因无痛性门下肿块和广泛的右颈部皮肤压痕和红斑而就诊的患者。核心针活检显示为分化较差的腺癌。血液检测还显示碳水化合物抗原 19-9、癌胚抗原和碱性磷酸酶升高。PET/CT 和食管镜检查后,诊断为食管原发信号细胞腺癌,伴有孤立的真皮转移。患者开始接受姑息性放疗,两个月后因疑似胸腔瘘和水肺气胸去世。
本文章由计算机程序翻译,如有差异,请以英文原文为准。
求助全文
约1分钟内获得全文 求助全文
来源期刊
CiteScore
1.50
自引率
0.00%
发文量
24
审稿时长
15 weeks
×
引用
GB/T 7714-2015
复制
MLA
复制
APA
复制
导出至
BibTeX EndNote RefMan NoteFirst NoteExpress
×
提示
您的信息不完整,为了账户安全,请先补充。
现在去补充
×
提示
您因"违规操作"
具体请查看互助需知
我知道了
×
提示
确定
请完成安全验证×
copy
已复制链接
快去分享给好友吧!
我知道了
右上角分享
点击右上角分享
0
联系我们:info@booksci.cn Book学术提供免费学术资源搜索服务,方便国内外学者检索中英文文献。致力于提供最便捷和优质的服务体验。 Copyright © 2023 布克学术 All rights reserved.
京ICP备2023020795号-1
ghs 京公网安备 11010802042870号
Book学术文献互助
Book学术文献互助群
群 号:604180095
Book学术官方微信