Patterns of proliferation and fibrosis in a rat model of endometriosis following administration of Allium cepa.

IF 1.6 Q3 OBSTETRICS & GYNECOLOGY
Hakan Kula, Orkun Ilgen, Sefa Kurt, Filiz Yılmaz
{"title":"Patterns of proliferation and fibrosis in a rat model of endometriosis following administration of Allium cepa.","authors":"Hakan Kula, Orkun Ilgen, Sefa Kurt, Filiz Yılmaz","doi":"10.5653/cerm.2023.06261","DOIUrl":null,"url":null,"abstract":"<p><strong>Objective: </strong>Endometriosis is a common gynecological disease among reproductive-age women. Numerous hypotheses exist regarding the pathogenesis of endometriosis. In Turkey, the consumption of Allium cepa (commonly known as the \"onion cure\") is a popular treatment employed to alleviate a variety of gynecological disorders.</p><p><strong>Methods: </strong>In this study, our objective was to assess the therapeutic mechanisms of the onion bulb A. cepa using an autologous endometriosis model in Sprague-Dawley rats. Previous research has shown that A. cepa possesses anti-inflammatory, antioxidant, and antiapoptotic properties. We evaluated the pathological condition of endometriotic implants by employing hematoxylin-eosin staining and Ki67 immunohistochemistry analysis. Transforming growth factor-beta 1 (TGF-β1) and alpha-smooth muscle actin (α-SMA) have been identified as profibrotic markers that are highly overexpressed in endometriotic tissues relative to eutopic endometrial tissue. Furthermore, TGF-β1 influences the differentiation and progression of endometriosis. To quantify profibrotic activity, we measured TGF-β1 and α-SMA using the immunosorbent assay method.</p><p><strong>Results: </strong>Lower histologic evaluation scores for endometriotic implants were observed in the group receiving high-dose A. cepa relative to the other groups. Ki67 expression was reduced following the high-dose A. cepa regimen, which consisted of 30% A. cepa and 70% normal feed. However, no statistically significant differences in TGF-β1 or α-SMA levels were observed among the groups (p=0.7 and p=0.778, respectively).</p><p><strong>Conclusion: </strong>The findings suggest that A. cepa could serve as a therapeutic agent in endometriosis treatment, as evidenced by the reduction in proliferative potential. Nevertheless, A. cepa was not associated with significantly lower levels of endometriosis-associated TGF-β1 or α-SMA.</p>","PeriodicalId":46409,"journal":{"name":"Clinical and Experimental Reproductive Medicine-CERM","volume":" ","pages":"112-119"},"PeriodicalIF":1.6000,"publicationDate":"2024-06-01","publicationTypes":"Journal Article","fieldsOfStudy":null,"isOpenAccess":false,"openAccessPdf":"https://www.ncbi.nlm.nih.gov/pmc/articles/PMC11140262/pdf/","citationCount":"0","resultStr":null,"platform":"Semanticscholar","paperid":null,"PeriodicalName":"Clinical and Experimental Reproductive Medicine-CERM","FirstCategoryId":"1085","ListUrlMain":"https://doi.org/10.5653/cerm.2023.06261","RegionNum":0,"RegionCategory":null,"ArticlePicture":[],"TitleCN":null,"AbstractTextCN":null,"PMCID":null,"EPubDate":"2024/1/24 0:00:00","PubModel":"Epub","JCR":"Q3","JCRName":"OBSTETRICS & GYNECOLOGY","Score":null,"Total":0}
引用次数: 0

Abstract

Objective: Endometriosis is a common gynecological disease among reproductive-age women. Numerous hypotheses exist regarding the pathogenesis of endometriosis. In Turkey, the consumption of Allium cepa (commonly known as the "onion cure") is a popular treatment employed to alleviate a variety of gynecological disorders.

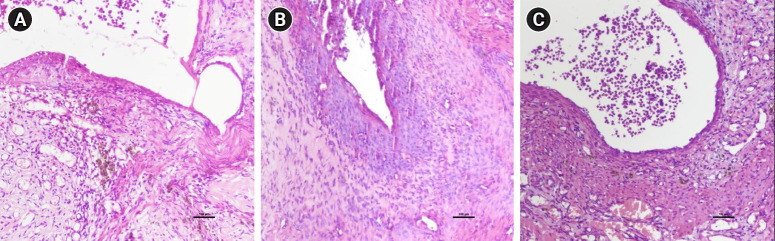
Methods: In this study, our objective was to assess the therapeutic mechanisms of the onion bulb A. cepa using an autologous endometriosis model in Sprague-Dawley rats. Previous research has shown that A. cepa possesses anti-inflammatory, antioxidant, and antiapoptotic properties. We evaluated the pathological condition of endometriotic implants by employing hematoxylin-eosin staining and Ki67 immunohistochemistry analysis. Transforming growth factor-beta 1 (TGF-β1) and alpha-smooth muscle actin (α-SMA) have been identified as profibrotic markers that are highly overexpressed in endometriotic tissues relative to eutopic endometrial tissue. Furthermore, TGF-β1 influences the differentiation and progression of endometriosis. To quantify profibrotic activity, we measured TGF-β1 and α-SMA using the immunosorbent assay method.

Results: Lower histologic evaluation scores for endometriotic implants were observed in the group receiving high-dose A. cepa relative to the other groups. Ki67 expression was reduced following the high-dose A. cepa regimen, which consisted of 30% A. cepa and 70% normal feed. However, no statistically significant differences in TGF-β1 or α-SMA levels were observed among the groups (p=0.7 and p=0.778, respectively).

Conclusion: The findings suggest that A. cepa could serve as a therapeutic agent in endometriosis treatment, as evidenced by the reduction in proliferative potential. Nevertheless, A. cepa was not associated with significantly lower levels of endometriosis-associated TGF-β1 or α-SMA.

Abstract Image

Abstract Image

Abstract Image

服用薤白后子宫内膜异位症大鼠模型的增殖和纤维化模式。
目的:子宫内膜异位症是育龄妇女常见的妇科疾病:子宫内膜异位症是育龄妇女常见的妇科疾病。关于子宫内膜异位症的发病机理存在许多假说。在土耳其,食用薤白(俗称 "洋葱疗法")是缓解各种妇科疾病的常用疗法:在本研究中,我们的目的是利用自体子宫内膜异位症模型评估洋葱球茎 A. cepa 对 Sprague-Dawley 大鼠的治疗机制。先前的研究表明,洋葱头具有抗炎、抗氧化和抗细胞凋亡的特性。我们通过苏木精-伊红染色和 Ki67 免疫组化分析评估了子宫内膜异位植入物的病理状况。转化生长因子-β1(TGF-β1)和α-平滑肌肌动蛋白(α-SMA)已被确定为异位子宫内膜组织高度过表达的组织坏死标志物。此外,TGF-β1 还影响子宫内膜异位症的分化和进展。为了量化组织坏死活性,我们采用免疫吸附法测定了TGF-β1和α-SMA:结果:与其他组相比,接受大剂量牛肝菌治疗组的子宫内膜异位植入物组织学评估评分较低。大剂量牛肝菌治疗方案中,牛肝菌占 30%,正常饲料占 70%,Ki67 表达降低。然而,各组间的 TGF-β1 或 α-SMA 水平差异无统计学意义(分别为 p=0.7 和 p=0.778):结论:研究结果表明,牛肝菌可作为子宫内膜异位症的治疗药物,其增殖潜能的降低就证明了这一点。尽管如此,牛肝菌与子宫内膜异位症相关的 TGF-β1 或 α-SMA 水平的显著降低并无关联。
本文章由计算机程序翻译,如有差异,请以英文原文为准。
求助全文
约1分钟内获得全文 求助全文
来源期刊
CiteScore
3.30
自引率
0.00%
发文量
0
×
引用
GB/T 7714-2015
复制
MLA
复制
APA
复制
导出至
BibTeX EndNote RefMan NoteFirst NoteExpress
×
提示
您的信息不完整,为了账户安全,请先补充。
现在去补充
×
提示
您因"违规操作"
具体请查看互助需知
我知道了
×
提示
确定
请完成安全验证×
copy
已复制链接
快去分享给好友吧!
我知道了
右上角分享
点击右上角分享
0
联系我们:info@booksci.cn Book学术提供免费学术资源搜索服务,方便国内外学者检索中英文文献。致力于提供最便捷和优质的服务体验。 Copyright © 2023 布克学术 All rights reserved.
京ICP备2023020795号-1
ghs 京公网安备 11010802042870号
Book学术文献互助
Book学术文献互助群
群 号:604180095
Book学术官方微信