A Comprehensive Correlation of Clinicopathologic Prognostic Factors in Malignant Adult Renal Tumors: A Single Institutional Study.

IF 2.1 Q4 PATHOLOGY
Sobiya M Ayesha, Swetha Sivakumar, Rahul Devraj, Rajsekhar Shantappa, Ranganath Ratnagiri, Meher Lakshmi Konatam, Shantveer G Uppin, Tara Roshni Paul, Megha S Uppin
{"title":"A Comprehensive Correlation of Clinicopathologic Prognostic Factors in Malignant Adult Renal Tumors: A Single Institutional Study.","authors":"Sobiya M Ayesha, Swetha Sivakumar, Rahul Devraj, Rajsekhar Shantappa, Ranganath Ratnagiri, Meher Lakshmi Konatam, Shantveer G Uppin, Tara Roshni Paul, Megha S Uppin","doi":"10.5146/tjpath.2023.12849","DOIUrl":null,"url":null,"abstract":"<p><strong>Objective: </strong>To study the clinicopathologic prognostic parameters of malignant adult renal tumors as these have poor over-all survival (OS) and show frequent metastasis.</p><p><strong>Material and methods: </strong>This was a retrospective analysis of the clinical and pathologic features of malignant renal tumors in adult patients from January 2011 to December 2020. All the tumors were studied with respect to age, clinical presentation, tumor type/subtype, histologic grade (WHO/ISUP grading system), TNM stage and presence of necrosis. Correlation of histopathologic features and survival analysis was done using Kaplan-Meier survival curves and Cox-regression analysis.</p><p><strong>Results: </strong>A total of 257 cases were included in the study period including 253 renal cell tumors of which clear cell renal cell carcinoma accounted for 69.3%. The age of the patients ranged from 20 to 87 years (median-52 years). The overall survival significantly reduced with increasing histologic grade, stage, and presence of necrosis. The comparison between the histological subtypes was not statistically significant. Univariate Cox-regression analysis found significant hazard ratio with increasing age, size, histologic grade (G4 vs G1), stage, and presence of necrosis. The correlation of OS with histological subtypes was not significant. Multivariate analysis also showed increased hazard ratio with increasing age, size, grade, and stage. However, the P-value was significant only for age.</p><p><strong>Conclusion: </strong>Clear cell renal cell carcinoma was the commonest type of adult renal tumor. Older age at presentation, larger tumor size, presence of necrosis, and higher histologic grade and stage were associated with poor prognosis in these patients.</p>","PeriodicalId":45415,"journal":{"name":"Turkish Journal of Pathology","volume":"40 1","pages":"45-55"},"PeriodicalIF":2.1000,"publicationDate":"2024-01-01","publicationTypes":"Journal Article","fieldsOfStudy":null,"isOpenAccess":false,"openAccessPdf":"https://www.ncbi.nlm.nih.gov/pmc/articles/PMC11129866/pdf/","citationCount":"0","resultStr":null,"platform":"Semanticscholar","paperid":null,"PeriodicalName":"Turkish Journal of Pathology","FirstCategoryId":"1085","ListUrlMain":"https://doi.org/10.5146/tjpath.2023.12849","RegionNum":0,"RegionCategory":null,"ArticlePicture":[],"TitleCN":null,"AbstractTextCN":null,"PMCID":null,"EPubDate":"","PubModel":"","JCR":"Q4","JCRName":"PATHOLOGY","Score":null,"Total":0}
引用次数: 0

Abstract

Objective: To study the clinicopathologic prognostic parameters of malignant adult renal tumors as these have poor over-all survival (OS) and show frequent metastasis.

Material and methods: This was a retrospective analysis of the clinical and pathologic features of malignant renal tumors in adult patients from January 2011 to December 2020. All the tumors were studied with respect to age, clinical presentation, tumor type/subtype, histologic grade (WHO/ISUP grading system), TNM stage and presence of necrosis. Correlation of histopathologic features and survival analysis was done using Kaplan-Meier survival curves and Cox-regression analysis.

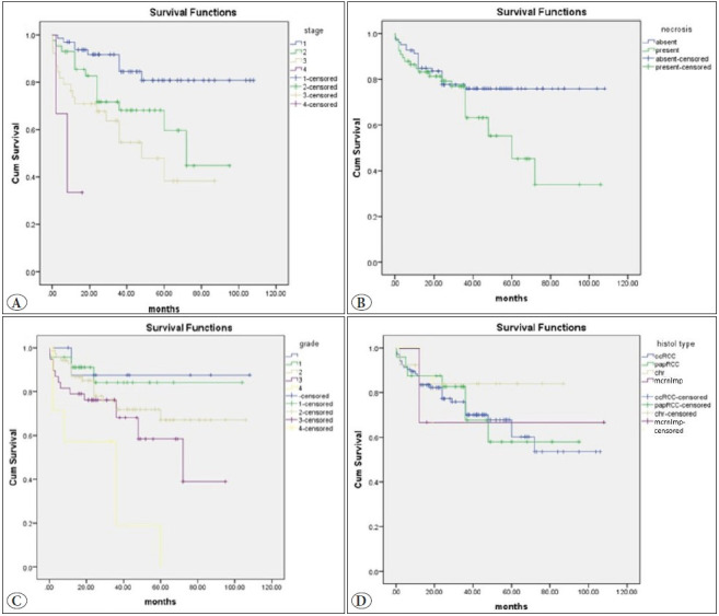
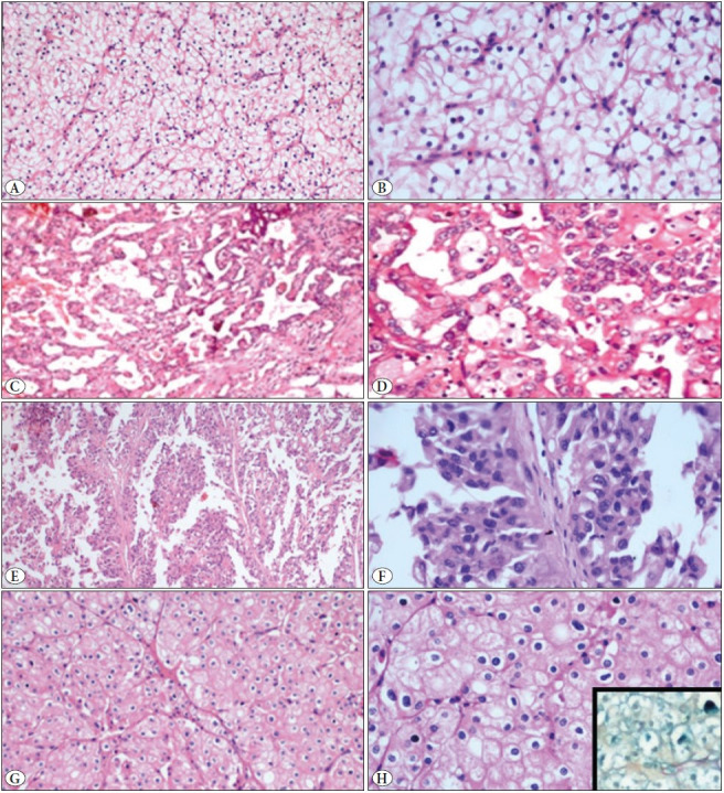
Results: A total of 257 cases were included in the study period including 253 renal cell tumors of which clear cell renal cell carcinoma accounted for 69.3%. The age of the patients ranged from 20 to 87 years (median-52 years). The overall survival significantly reduced with increasing histologic grade, stage, and presence of necrosis. The comparison between the histological subtypes was not statistically significant. Univariate Cox-regression analysis found significant hazard ratio with increasing age, size, histologic grade (G4 vs G1), stage, and presence of necrosis. The correlation of OS with histological subtypes was not significant. Multivariate analysis also showed increased hazard ratio with increasing age, size, grade, and stage. However, the P-value was significant only for age.

Conclusion: Clear cell renal cell carcinoma was the commonest type of adult renal tumor. Older age at presentation, larger tumor size, presence of necrosis, and higher histologic grade and stage were associated with poor prognosis in these patients.

Abstract Image

Abstract Image

Abstract Image

恶性成人肾肿瘤临床病理预后因素的综合相关性:一项单一机构研究
目的:研究恶性成人肾肿瘤的临床病理预后参数:研究成人恶性肾肿瘤的临床病理预后参数,因为这些肿瘤的总体生存率(OS)较低,且转移频繁:这是一项对2011年1月至2020年12月期间成人恶性肾肿瘤临床和病理特征的回顾性分析。研究了所有肿瘤的年龄、临床表现、肿瘤类型/亚型、组织学分级(WHO/ISUP分级系统)、TNM分期和是否存在坏死。采用 Kaplan-Meier 生存曲线和 Cox 回归分析法对组织病理学特征和生存率进行了相关分析:研究期间共纳入 257 例病例,包括 253 例肾细胞肿瘤,其中透明细胞肾细胞癌占 69.3%。患者年龄从20岁到87岁不等(中位数为52岁)。随着组织学分级、分期和坏死程度的增加,总生存率明显降低。组织学亚型之间的比较无统计学意义。单变量 Cox 回归分析发现,年龄、体型、组织学分级(G4 与 G1)、分期和是否存在坏死的危险比均随年龄、体型、组织学分级、分期和是否存在坏死的增加而增加。OS 与组织学亚型的相关性不显著。多变量分析也显示,随着年龄、体型、分级和分期的增加,危险比也会增加。然而,只有年龄的P值显著:结论:透明细胞肾细胞癌是成人肾肿瘤中最常见的类型。发病年龄较大、肿瘤体积较大、存在坏死、组织学分级和分期较高与这些患者的不良预后有关。
本文章由计算机程序翻译,如有差异,请以英文原文为准。
求助全文
约1分钟内获得全文 求助全文
来源期刊
CiteScore
1.90
自引率
10.00%
发文量
23
审稿时长
14 weeks
×
引用
GB/T 7714-2015
复制
MLA
复制
APA
复制
导出至
BibTeX EndNote RefMan NoteFirst NoteExpress
×
提示
您的信息不完整,为了账户安全,请先补充。
现在去补充
×
提示
您因"违规操作"
具体请查看互助需知
我知道了
×
提示
确定
请完成安全验证×
copy
已复制链接
快去分享给好友吧!
我知道了
右上角分享
点击右上角分享
0
联系我们:info@booksci.cn Book学术提供免费学术资源搜索服务,方便国内外学者检索中英文文献。致力于提供最便捷和优质的服务体验。 Copyright © 2023 布克学术 All rights reserved.
京ICP备2023020795号-1
ghs 京公网安备 11010802042870号
Book学术文献互助
Book学术文献互助群
群 号:604180095
Book学术官方微信