Margin-negative minimally invasive pancreatoduodenectomy following FOLFIRINOX neoadjuvant chemotherapy in invasive intraductal papillary mucinous neoplasm of pancreas: a case report.

Korean journal of clinical oncology Pub Date : 2023-12-01 Epub Date: 2023-12-31 DOI:10.14216/kjco.23014
Jinho Kim, Seokjin Park, Eunsang Yim, Su Hyeong Park, Chang Moo Kang
{"title":"Margin-negative minimally invasive pancreatoduodenectomy following FOLFIRINOX neoadjuvant chemotherapy in invasive intraductal papillary mucinous neoplasm of pancreas: a case report.","authors":"Jinho Kim, Seokjin Park, Eunsang Yim, Su Hyeong Park, Chang Moo Kang","doi":"10.14216/kjco.23014","DOIUrl":null,"url":null,"abstract":"<p><p>This study shows a case of neoadjuvant chemotherapy application for the management of a 34-year-old male patient diagnosed with invasive intraductal papillary mucinous neoplasm (IPMN), for which curative margin-negative resection initially seemed challenging. Five cycles of the FOLFIRINOX regimen (5-fluorouracil, leucovorin, irinotecan, and oxaliplatin) were administered preoperatively, resulting in a significant reduction of the intraductal mass size and deformity of the main vessels. The patient subsequently underwent a successful robotic pylorus-preserving pancreatoduodenectomy. Postoperatively, the patient received adjuvant chemotherapy with FOLFIRINOX, and after 5 months, showed no signs of tumor recurrence or specific complications. These findings suggest that neoadjuvant therapy can be a potentially effective strategy even in advanced invasive IPMN. Further research is necessary to establish guidelines for its application.</p>","PeriodicalId":74045,"journal":{"name":"Korean journal of clinical oncology","volume":"19 2","pages":"80-83"},"PeriodicalIF":0.0000,"publicationDate":"2023-12-01","publicationTypes":"Journal Article","fieldsOfStudy":null,"isOpenAccess":false,"openAccessPdf":"https://www.ncbi.nlm.nih.gov/pmc/articles/PMC10792372/pdf/","citationCount":"0","resultStr":null,"platform":"Semanticscholar","paperid":null,"PeriodicalName":"Korean journal of clinical oncology","FirstCategoryId":"1085","ListUrlMain":"https://doi.org/10.14216/kjco.23014","RegionNum":0,"RegionCategory":null,"ArticlePicture":[],"TitleCN":null,"AbstractTextCN":null,"PMCID":null,"EPubDate":"2023/12/31 0:00:00","PubModel":"Epub","JCR":"","JCRName":"","Score":null,"Total":0}
引用次数: 0

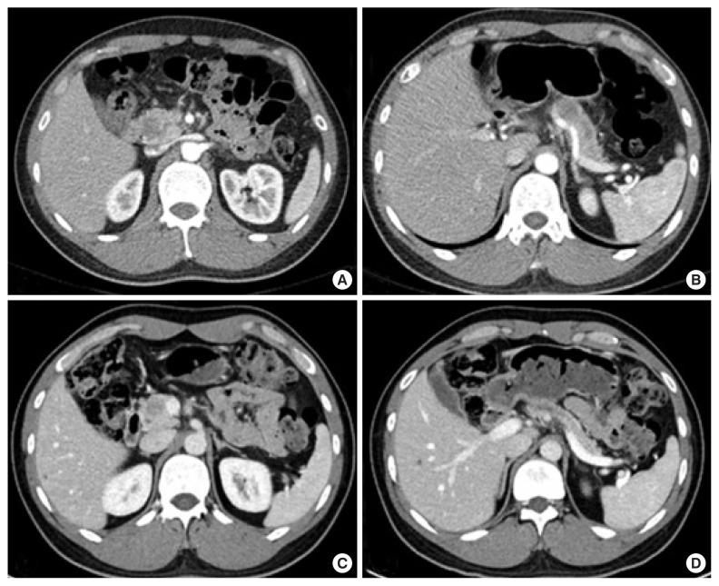
Abstract

This study shows a case of neoadjuvant chemotherapy application for the management of a 34-year-old male patient diagnosed with invasive intraductal papillary mucinous neoplasm (IPMN), for which curative margin-negative resection initially seemed challenging. Five cycles of the FOLFIRINOX regimen (5-fluorouracil, leucovorin, irinotecan, and oxaliplatin) were administered preoperatively, resulting in a significant reduction of the intraductal mass size and deformity of the main vessels. The patient subsequently underwent a successful robotic pylorus-preserving pancreatoduodenectomy. Postoperatively, the patient received adjuvant chemotherapy with FOLFIRINOX, and after 5 months, showed no signs of tumor recurrence or specific complications. These findings suggest that neoadjuvant therapy can be a potentially effective strategy even in advanced invasive IPMN. Further research is necessary to establish guidelines for its application.

Abstract Image

Abstract Image

浸润性胰腺内乳头状黏液瘤 FOLFIRINOX 新辅助化疗后边缘阴性微创胰十二指肠切除术:病例报告。
本研究展示了一例应用新辅助化疗治疗被诊断为浸润性导管内乳头状粘液瘤(IPMN)的34岁男性患者的病例。患者在术前接受了五个周期的 FOLFIRINOX 方案(5-氟尿嘧啶、亮菌素、伊立替康和奥沙利铂)治疗,结果导管内肿块明显缩小,主要血管变形。患者随后成功接受了保留幽门的机器人胰十二指肠切除术。术后,患者接受了 FOLFIRINOX 辅助化疗,5 个月后未出现肿瘤复发迹象或特殊并发症。这些研究结果表明,即使对于晚期浸润性 IPMN,新辅助治疗也可能是一种有效的策略。有必要开展进一步研究,以制定应用指南。
本文章由计算机程序翻译,如有差异,请以英文原文为准。
求助全文
约1分钟内获得全文 求助全文
来源期刊
自引率
0.00%
发文量
0
×
引用
GB/T 7714-2015
复制
MLA
复制
APA
复制
导出至
BibTeX EndNote RefMan NoteFirst NoteExpress
×
提示
您的信息不完整,为了账户安全,请先补充。
现在去补充
×
提示
您因"违规操作"
具体请查看互助需知
我知道了
×
提示
确定
请完成安全验证×
copy
已复制链接
快去分享给好友吧!
我知道了
右上角分享
点击右上角分享
0
联系我们:info@booksci.cn Book学术提供免费学术资源搜索服务,方便国内外学者检索中英文文献。致力于提供最便捷和优质的服务体验。 Copyright © 2023 布克学术 All rights reserved.
京ICP备2023020795号-1
ghs 京公网安备 11010802042870号
Book学术文献互助
Book学术文献互助群
群 号:604180095
Book学术官方微信