Low-grade extrauterine endometrial stromal sarcoma arising from vaginal endometriosis: a case report and literature review.

Korean journal of clinical oncology Pub Date : 2023-12-01 Epub Date: 2023-12-31 DOI:10.14216/kjco.23013
Seema Singhal, Aarthi S Jayraj, Ekta Dhamija, Sachin Khurana
{"title":"Low-grade extrauterine endometrial stromal sarcoma arising from vaginal endometriosis: a case report and literature review.","authors":"Seema Singhal, Aarthi S Jayraj, Ekta Dhamija, Sachin Khurana","doi":"10.14216/kjco.23013","DOIUrl":null,"url":null,"abstract":"<p><p>Extrauterine endometrial stromal sarcoma arising from malignant transformation of the vagina is an extremely rare condition. The diagnosis is often difficult as the symptomatology and pathological features overlap with that of pelvic endometriosis. A 38 years old female presented with complaints of dyspareunia, dysmenorrhea, and painful defecation along with blood-stained vaginal discharge for a year. Examination revealed the presence of multiple brownish irregular nodules in posterior vaginal fornix and fixed tender nodules which on biopsy revealed florid vaginal endometriosis. She improved symptomatically on medical therapy. After 18 months of diagnosis, she presented again with a necrotic growth in posterior fornix, which on repeat biopsy revealed a low-grade endometrial stromal sarcoma. Laparotomy revealed a 7×5 cm mass in the pouch of Douglas, infiltrating the posterior vaginal wall and rectum. A complete cytoreductive surgery with retrograde hysterectomy, excision of posterior vaginal wall and rectosigmoid resection was done. The patient is disease-free at a follow-up of 65 months.</p>","PeriodicalId":74045,"journal":{"name":"Korean journal of clinical oncology","volume":"19 2","pages":"73-79"},"PeriodicalIF":0.0000,"publicationDate":"2023-12-01","publicationTypes":"Journal Article","fieldsOfStudy":null,"isOpenAccess":false,"openAccessPdf":"https://www.ncbi.nlm.nih.gov/pmc/articles/PMC10792367/pdf/","citationCount":"0","resultStr":null,"platform":"Semanticscholar","paperid":null,"PeriodicalName":"Korean journal of clinical oncology","FirstCategoryId":"1085","ListUrlMain":"https://doi.org/10.14216/kjco.23013","RegionNum":0,"RegionCategory":null,"ArticlePicture":[],"TitleCN":null,"AbstractTextCN":null,"PMCID":null,"EPubDate":"2023/12/31 0:00:00","PubModel":"Epub","JCR":"","JCRName":"","Score":null,"Total":0}
引用次数: 0

Abstract

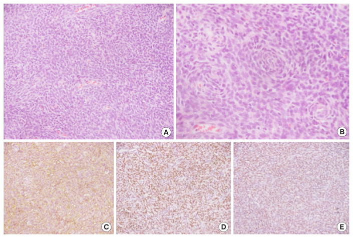
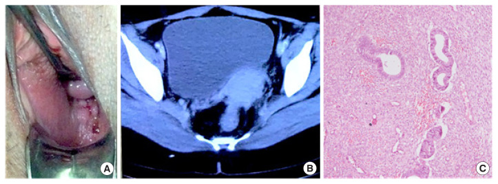
Extrauterine endometrial stromal sarcoma arising from malignant transformation of the vagina is an extremely rare condition. The diagnosis is often difficult as the symptomatology and pathological features overlap with that of pelvic endometriosis. A 38 years old female presented with complaints of dyspareunia, dysmenorrhea, and painful defecation along with blood-stained vaginal discharge for a year. Examination revealed the presence of multiple brownish irregular nodules in posterior vaginal fornix and fixed tender nodules which on biopsy revealed florid vaginal endometriosis. She improved symptomatically on medical therapy. After 18 months of diagnosis, she presented again with a necrotic growth in posterior fornix, which on repeat biopsy revealed a low-grade endometrial stromal sarcoma. Laparotomy revealed a 7×5 cm mass in the pouch of Douglas, infiltrating the posterior vaginal wall and rectum. A complete cytoreductive surgery with retrograde hysterectomy, excision of posterior vaginal wall and rectosigmoid resection was done. The patient is disease-free at a follow-up of 65 months.

Abstract Image

Abstract Image

Abstract Image

阴道子宫内膜异位症引发的低级别宫外子宫内膜基质肉瘤:病例报告和文献综述。
由阴道恶性转化引起的子宫内膜外基质肉瘤是一种极为罕见的疾病。由于其症状和病理特征与盆腔子宫内膜异位症重叠,因此诊断往往比较困难。一名 38 岁的女性主诉性生活困难、痛经和排便疼痛,并伴有带血丝的阴道分泌物一年。检查发现,她的阴道后穹窿处有多个褐色不规则结节,结节有固定的触痛,活检后发现是绒毛状阴道子宫内膜异位症。经药物治疗后,她的症状有所改善。确诊 18 个月后,她再次出现后穹窿坏死性增生,再次活检发现是低级别子宫内膜间质肉瘤。腹腔镜手术发现道格拉斯袋有一个 7×5 厘米的肿块,浸润阴道后壁和直肠。患者接受了逆行子宫切除术、阴道后壁切除术和直肠乙状结肠切除术。患者在 65 个月的随访中未再发病。
本文章由计算机程序翻译,如有差异,请以英文原文为准。
求助全文
约1分钟内获得全文 求助全文
来源期刊
自引率
0.00%
发文量
0
×
引用
GB/T 7714-2015
复制
MLA
复制
APA
复制
导出至
BibTeX EndNote RefMan NoteFirst NoteExpress
×
提示
您的信息不完整,为了账户安全,请先补充。
现在去补充
×
提示
您因"违规操作"
具体请查看互助需知
我知道了
×
提示
确定
请完成安全验证×
copy
已复制链接
快去分享给好友吧!
我知道了
右上角分享
点击右上角分享
0
联系我们:info@booksci.cn Book学术提供免费学术资源搜索服务,方便国内外学者检索中英文文献。致力于提供最便捷和优质的服务体验。 Copyright © 2023 布克学术 All rights reserved.
京ICP备2023020795号-1
ghs 京公网安备 11010802042870号
Book学术文献互助
Book学术文献互助群
群 号:604180095
Book学术官方微信