An Unusual Case of Hybrid Odontogenic Tumor in Type 1 Myotonic Dystrophy Patient.

IF 0.8 Q3 MEDICINE, GENERAL & INTERNAL
Jiji V Unni, Deepak Daryani, M P Uthkal, Shabil Mohamed Mustafa
{"title":"An Unusual Case of Hybrid Odontogenic Tumor in Type 1 Myotonic Dystrophy Patient.","authors":"Jiji V Unni, Deepak Daryani, M P Uthkal, Shabil Mohamed Mustafa","doi":"10.4103/ijabmr.ijabmr_208_23","DOIUrl":null,"url":null,"abstract":"<p><p>Myotonic dystrophy, also referred myotonic muscular dystrophy, is an autosomal dominant, slowly progressive, multisystem disease characterized by skeletal muscle weakness, wasting, and myotonia. A hybrid tumor of odontogenic apparatus is a lesion showing combined histopathological characteristics of two or more previously recognized odontogenic tumors and/or cysts of different categories. We, therefore, report a case of hybrid tumor (adenomatoid odontogenic tumor associated with calcifying cystic odontogenic tumor) in a myotonic dystrophic patient.</p>","PeriodicalId":13727,"journal":{"name":"International Journal of Applied and Basic Medical Research","volume":"13 4","pages":"255-258"},"PeriodicalIF":0.8000,"publicationDate":"2023-10-01","publicationTypes":"Journal Article","fieldsOfStudy":null,"isOpenAccess":false,"openAccessPdf":"https://www.ncbi.nlm.nih.gov/pmc/articles/PMC10789463/pdf/","citationCount":"0","resultStr":null,"platform":"Semanticscholar","paperid":null,"PeriodicalName":"International Journal of Applied and Basic Medical Research","FirstCategoryId":"1085","ListUrlMain":"https://doi.org/10.4103/ijabmr.ijabmr_208_23","RegionNum":0,"RegionCategory":null,"ArticlePicture":[],"TitleCN":null,"AbstractTextCN":null,"PMCID":null,"EPubDate":"2023/12/8 0:00:00","PubModel":"Epub","JCR":"Q3","JCRName":"MEDICINE, GENERAL & INTERNAL","Score":null,"Total":0}
引用次数: 0

Abstract

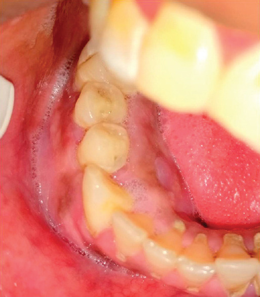
Myotonic dystrophy, also referred myotonic muscular dystrophy, is an autosomal dominant, slowly progressive, multisystem disease characterized by skeletal muscle weakness, wasting, and myotonia. A hybrid tumor of odontogenic apparatus is a lesion showing combined histopathological characteristics of two or more previously recognized odontogenic tumors and/or cysts of different categories. We, therefore, report a case of hybrid tumor (adenomatoid odontogenic tumor associated with calcifying cystic odontogenic tumor) in a myotonic dystrophic patient.

Abstract Image

Abstract Image

Abstract Image

1型肌营养不良症患者混合性牙源性肿瘤的罕见病例。
肌营养不良症又称肌强直性肌营养不良症,是一种常染色体显性、缓慢进展的多系统疾病,以骨骼肌无力、消瘦和肌强直为特征。牙源性混合瘤是一种病变,显示出两种或两种以上以前公认的不同类别的牙源性肿瘤和/或囊肿的综合组织病理学特征。因此,我们报告了一例肌营养不良患者的混合瘤(牙源性腺瘤伴钙化性牙源性囊肿)。
本文章由计算机程序翻译,如有差异,请以英文原文为准。
求助全文
约1分钟内获得全文 求助全文
来源期刊
自引率
0.00%
发文量
46
×
引用
GB/T 7714-2015
复制
MLA
复制
APA
复制
导出至
BibTeX EndNote RefMan NoteFirst NoteExpress
×
提示
您的信息不完整,为了账户安全,请先补充。
现在去补充
×
提示
您因"违规操作"
具体请查看互助需知
我知道了
×
提示
确定
请完成安全验证×
copy
已复制链接
快去分享给好友吧!
我知道了
右上角分享
点击右上角分享
0
联系我们:info@booksci.cn Book学术提供免费学术资源搜索服务,方便国内外学者检索中英文文献。致力于提供最便捷和优质的服务体验。 Copyright © 2023 布克学术 All rights reserved.
京ICP备2023020795号-1
ghs 京公网安备 11010802042870号
Book学术文献互助
Book学术文献互助群
群 号:604180095
Book学术官方微信