Sodium Hypochlorite-induced Facial Hematoma Following Root Canal Treatment.

Q3 Dentistry
Denil Champac Tribovane, Juan Carlos Tortajada Bustelo, Álex Rovira Cañellas
{"title":"Sodium Hypochlorite-induced Facial Hematoma Following Root Canal Treatment.","authors":"Denil Champac Tribovane, Juan Carlos Tortajada Bustelo, Álex Rovira Cañellas","doi":"10.22037/iej.v19i1.43306","DOIUrl":null,"url":null,"abstract":"<p><p>This case report highlights a rare complication of root canal treatment involving the inadvertent extrusion of sodium hypochlorite solution, resulting in a sodium hypochlorite-induced facial hematoma. A 44-year-old female patient presented significant right hemifacial swelling and ecchymosis following root canal therapy. Computed tomography imaging confirmed a hematoma involving the facial region without active signs of bleeding. Sodium hypochlorite, a potent cytotoxic agent commonly used in root canal procedures, was identified as the causative agent. Treatment consisted of prednisone, antibiotics, and NSAIDs, resulting in gradual improvement over a month. The cytotoxic properties of sodium hypochlorite, its variable concentrations, and risk factors associated with facial hematomas are discussed. It is essential to emphasize the rarity of such hematomas and highlight the need for precise technique, vigilant monitoring, and interdisciplinary collaboration to mitigate risks and prioritize patient safety.</p>","PeriodicalId":14534,"journal":{"name":"Iranian Endodontic Journal","volume":"19 1","pages":"46-49"},"PeriodicalIF":0.0000,"publicationDate":"2024-01-01","publicationTypes":"Journal Article","fieldsOfStudy":null,"isOpenAccess":false,"openAccessPdf":"https://www.ncbi.nlm.nih.gov/pmc/articles/PMC10787179/pdf/","citationCount":"0","resultStr":null,"platform":"Semanticscholar","paperid":null,"PeriodicalName":"Iranian Endodontic Journal","FirstCategoryId":"1085","ListUrlMain":"https://doi.org/10.22037/iej.v19i1.43306","RegionNum":0,"RegionCategory":null,"ArticlePicture":[],"TitleCN":null,"AbstractTextCN":null,"PMCID":null,"EPubDate":"","PubModel":"","JCR":"Q3","JCRName":"Dentistry","Score":null,"Total":0}
引用次数: 0

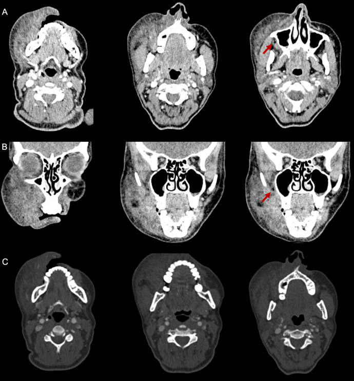
Abstract

This case report highlights a rare complication of root canal treatment involving the inadvertent extrusion of sodium hypochlorite solution, resulting in a sodium hypochlorite-induced facial hematoma. A 44-year-old female patient presented significant right hemifacial swelling and ecchymosis following root canal therapy. Computed tomography imaging confirmed a hematoma involving the facial region without active signs of bleeding. Sodium hypochlorite, a potent cytotoxic agent commonly used in root canal procedures, was identified as the causative agent. Treatment consisted of prednisone, antibiotics, and NSAIDs, resulting in gradual improvement over a month. The cytotoxic properties of sodium hypochlorite, its variable concentrations, and risk factors associated with facial hematomas are discussed. It is essential to emphasize the rarity of such hematomas and highlight the need for precise technique, vigilant monitoring, and interdisciplinary collaboration to mitigate risks and prioritize patient safety.

Abstract Image

Abstract Image

Abstract Image

根管治疗后次氯酸钠诱发的面部血肿。
本病例报告强调了根管治疗中的一种罕见并发症,即不慎挤出次氯酸钠溶液,导致次氯酸钠引起的面部血肿。一名 44 岁的女性患者在根管治疗后出现右侧半面部明显肿胀和瘀斑。计算机断层扫描成像证实血肿累及面部区域,但无活动性出血迹象。次氯酸钠是根管治疗过程中常用的一种强效细胞毒剂,被确定为致病因子。治疗包括强的松、抗生素和非甾体抗炎药,一个月后病情逐渐好转。本文讨论了次氯酸钠的细胞毒性、其不同浓度以及与面部血肿相关的风险因素。必须强调此类血肿的罕见性,并强调需要精确的技术、警惕的监控和跨学科合作,以降低风险并优先考虑患者的安全。
本文章由计算机程序翻译,如有差异,请以英文原文为准。
求助全文
约1分钟内获得全文 求助全文
来源期刊
Iranian Endodontic Journal
Iranian Endodontic Journal Dentistry-Dentistry (all)
CiteScore
1.30
自引率
0.00%
发文量
0
审稿时长
12 weeks
期刊介绍: The Iranian Endodontic Journal (IEJ) is an international peer-reviewed biomedical publication, the aim of which is to provide a scientific medium of communication for researchers throughout the globe. IEJ aims to publish the highest quality articles, both clinical and scientific, on all aspects of Endodontics. The journal is an official Journal of the Iranian Center for Endodontic Research (ICER) and the Iranian Association of Endodontists (IAE). The Journal welcomes articles related to the scientific or applied aspects of endodontics e.g. original researches, systematic reviews, meta-analyses, review articles, clinical trials, case series/reports, hypotheses, letters to the editor, etc. From the beginning (i.e. since 2006), the IEJ was the first open access endodontic journal in the world, which gave readers free and instant access to published articles and enabling them faster discovery of the latest endodontic research.
×
引用
GB/T 7714-2015
复制
MLA
复制
APA
复制
导出至
BibTeX EndNote RefMan NoteFirst NoteExpress
×
提示
您的信息不完整,为了账户安全,请先补充。
现在去补充
×
提示
您因"违规操作"
具体请查看互助需知
我知道了
×
提示
确定
请完成安全验证×
copy
已复制链接
快去分享给好友吧!
我知道了
右上角分享
点击右上角分享
0
联系我们:info@booksci.cn Book学术提供免费学术资源搜索服务,方便国内外学者检索中英文文献。致力于提供最便捷和优质的服务体验。 Copyright © 2023 布克学术 All rights reserved.
京ICP备2023020795号-1
ghs 京公网安备 11010802042870号
Book学术文献互助
Book学术文献互助群
群 号:604180095
Book学术官方微信