Long-Term Follow-Up of Orthognathic Surgery in 19 Patients with Juvenile Idiopathic Arthritis.

IF 1 Q3 DENTISTRY, ORAL SURGERY & MEDICINE
eJournal of Oral Maxillofacial Research Pub Date : 2023-12-31 eCollection Date: 2023-10-01 DOI:10.5037/jomr.2023.14404
Henrik Krarup, Thomas Klit Pedersen, Paula Frid, Sven Erik Nørholt
{"title":"Long-Term Follow-Up of Orthognathic Surgery in 19 Patients with Juvenile Idiopathic Arthritis.","authors":"Henrik Krarup, Thomas Klit Pedersen, Paula Frid, Sven Erik Nørholt","doi":"10.5037/jomr.2023.14404","DOIUrl":null,"url":null,"abstract":"<p><strong>Objectives: </strong>Dentofacial deformity following juvenile idiopathic arthritis with temporomandibular joint involvement is associated with functional, aesthetic, and psychosocial impairment. Surgical treatment may involve combinations of orthognathic surgery. The aims of this retrospective study were to assess orofacial symptoms, functional and aesthetic status, and stability after orthognathic surgery.</p><p><strong>Material and methods: </strong>Nineteen patients with juvenile idiopathic arthritis of the temporomandibular joint (TMJ) and dentofacial deformities were included. All patients were treated with combinations of bilateral sagittal split osteotomy, Le Fort I and/or genioplasty, between September 10, 2007 and October 17, 2017. Analysis of patient symptoms and clinical registrations, and frontal/lateral cephalograms was performed pre- and postoperative and long-term (mean: 3.8 and 2.6 years, respectively).</p><p><strong>Results: </strong>Patients experienced no changes in orofacial symptoms or TMJ function, and stable normalisation of horizontal and vertical incisal relations at long-term (horizontal overbite; vertical overbite: P < 0.05). Mandibular lengthening was achieved postoperatively (from mean 79.7 to 87.2 mm; P = 0.004) and was stable. Sella-nasion to A point (SNA) and sella-nasion to B point (SNB) angles increased postoperatively (SNA, mean 79.9° to 82.8°; P = 0.022 and SNB, mean 73.9° to 77.8°; P = 0.003), however, largely reverted to preoperative status at long-term.</p><p><strong>Conclusions: </strong>Orthognathic surgery normalized incisal relations while providing stable mandibular lengthening without long-term deterioration of temporomandibular joint function or orofacial symptoms. No long-term effect on jaw advancements was observed.</p>","PeriodicalId":53254,"journal":{"name":"eJournal of Oral Maxillofacial Research","volume":"14 4","pages":"e4"},"PeriodicalIF":1.0000,"publicationDate":"2023-12-31","publicationTypes":"Journal Article","fieldsOfStudy":null,"isOpenAccess":false,"openAccessPdf":"https://www.ncbi.nlm.nih.gov/pmc/articles/PMC10783879/pdf/","citationCount":"0","resultStr":null,"platform":"Semanticscholar","paperid":null,"PeriodicalName":"eJournal of Oral Maxillofacial Research","FirstCategoryId":"1085","ListUrlMain":"https://doi.org/10.5037/jomr.2023.14404","RegionNum":0,"RegionCategory":null,"ArticlePicture":[],"TitleCN":null,"AbstractTextCN":null,"PMCID":null,"EPubDate":"2023/10/1 0:00:00","PubModel":"eCollection","JCR":"Q3","JCRName":"DENTISTRY, ORAL SURGERY & MEDICINE","Score":null,"Total":0}
引用次数: 0

Abstract

Objectives: Dentofacial deformity following juvenile idiopathic arthritis with temporomandibular joint involvement is associated with functional, aesthetic, and psychosocial impairment. Surgical treatment may involve combinations of orthognathic surgery. The aims of this retrospective study were to assess orofacial symptoms, functional and aesthetic status, and stability after orthognathic surgery.

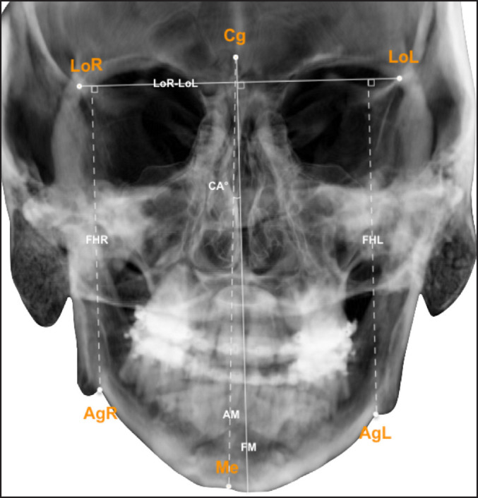
Material and methods: Nineteen patients with juvenile idiopathic arthritis of the temporomandibular joint (TMJ) and dentofacial deformities were included. All patients were treated with combinations of bilateral sagittal split osteotomy, Le Fort I and/or genioplasty, between September 10, 2007 and October 17, 2017. Analysis of patient symptoms and clinical registrations, and frontal/lateral cephalograms was performed pre- and postoperative and long-term (mean: 3.8 and 2.6 years, respectively).

Results: Patients experienced no changes in orofacial symptoms or TMJ function, and stable normalisation of horizontal and vertical incisal relations at long-term (horizontal overbite; vertical overbite: P < 0.05). Mandibular lengthening was achieved postoperatively (from mean 79.7 to 87.2 mm; P = 0.004) and was stable. Sella-nasion to A point (SNA) and sella-nasion to B point (SNB) angles increased postoperatively (SNA, mean 79.9° to 82.8°; P = 0.022 and SNB, mean 73.9° to 77.8°; P = 0.003), however, largely reverted to preoperative status at long-term.

Conclusions: Orthognathic surgery normalized incisal relations while providing stable mandibular lengthening without long-term deterioration of temporomandibular joint function or orofacial symptoms. No long-term effect on jaw advancements was observed.

Abstract Image

Abstract Image

Abstract Image

对 19 名青少年特发性关节炎患者进行正颌外科手术的长期随访。
目的:幼年特发性关节炎并发颞下颌关节受累后出现的牙颌面畸形与功能、美观和社会心理障碍有关。手术治疗可能需要结合正颌外科手术。这项回顾性研究旨在评估口面部症状、功能和美学状况以及正颌手术后的稳定性:研究对象包括19名患有幼年特发性颞下颌关节炎(TMJ)和牙面畸形的患者。所有患者均在2007年9月10日至2017年10月17日期间接受了双侧矢状劈开截骨术、Le Fort I和/或genioplasty联合治疗。对患者的症状、临床登记、正面/侧面头颅影像进行了术前、术后和长期(平均分别为3.8年和2.6年)分析:结果:患者的口面部症状或颞下颌关节功能无变化,水平和垂直切牙关系长期稳定正常(水平过咬合;垂直过咬合:P < 0.05)。下颌骨在术后实现了延长(从平均 79.7 毫米延长至 87.2 毫米;P = 0.004),并且保持稳定。术后蝶鞍至A点(SNA)和蝶鞍至B点(SNB)的角度增大(SNA,平均79.9°至82.8°;P = 0.022;SNB,平均73.9°至77.8°;P = 0.003),但在长期治疗后基本恢复到术前状态:结论:正颌手术可使切缘关系正常化,同时提供稳定的下颌延长,而不会导致颞下颌关节功能或口腔症状的长期恶化。没有观察到对下颌前突的长期影响。
本文章由计算机程序翻译,如有差异,请以英文原文为准。
求助全文
约1分钟内获得全文 求助全文
来源期刊
自引率
0.00%
发文量
19
审稿时长
12 weeks
×
引用
GB/T 7714-2015
复制
MLA
复制
APA
复制
导出至
BibTeX EndNote RefMan NoteFirst NoteExpress
×
提示
您的信息不完整,为了账户安全,请先补充。
现在去补充
×
提示
您因"违规操作"
具体请查看互助需知
我知道了
×
提示
确定
请完成安全验证×
copy
已复制链接
快去分享给好友吧!
我知道了
右上角分享
点击右上角分享
0
联系我们:info@booksci.cn Book学术提供免费学术资源搜索服务,方便国内外学者检索中英文文献。致力于提供最便捷和优质的服务体验。 Copyright © 2023 布克学术 All rights reserved.
京ICP备2023020795号-1
ghs 京公网安备 11010802042870号
Book学术文献互助
Book学术文献互助群
群 号:604180095
Book学术官方微信