Pituitary Adenoma Coexistent with Sellar Clear Cell Meningioma Unattached to the Dura: Case Report and Treatment Considerations.

IF 0.7 Q4 CLINICAL NEUROLOGY
Journal of Neurological Surgery Reports Pub Date : 2024-01-09 eCollection Date: 2024-01-01 DOI:10.1055/s-0043-1777792
Grégoire P Chatain, Keanu Chee, Meghan Driscoll, B K Kleinschmidt-DeMasters, Kevin O Lillehei
{"title":"Pituitary Adenoma Coexistent with Sellar Clear Cell Meningioma Unattached to the Dura: Case Report and Treatment Considerations.","authors":"Grégoire P Chatain, Keanu Chee, Meghan Driscoll, B K Kleinschmidt-DeMasters, Kevin O Lillehei","doi":"10.1055/s-0043-1777792","DOIUrl":null,"url":null,"abstract":"<p><p>Collision tumors involving the sella are rare. Intrasellar collision tumors are most commonly composed of a combination of pituitary adenomas and pituitary neuroendocrine tumors; however, collision tumors consisting of a pituitary adenoma and intrasellar meningioma are exceedingly rare. The authors present the case of a 47-year-old man who presented with progressive right eye vision loss. Magnetic resonance imaging showed a large, heterogeneously enhancing sellar mass with suprasellar extension. Using a transcranial approach with a right subfrontal craniotomy, near-total resection of the mass was achieved. Histologic analysis confirmed a diagnosis of a gonadotroph adenoma with concomitant clear cell meningioma (CCM). This patient was discharged with improvement in visual acuity and no signs of diabetes insipidus. Given the indistinguishable radiographic characteristics of pituitary adenoma and CCM, a preoperative diagnosis of a collision tumor was difficult. This case was uniquely challenging since the CCM component lacked the classic dural attachment that is associated with meningiomas on neuroimaging. CCMs are classified as central nervous system (CNS) World Health Organization (WHO) grade 2 tumors and tend to behave more aggressively, therefore warranting close surveillance for signs of tumor recurrence. This is the first case to report a collision tumor consisting of pituitary adenoma and CCM.</p>","PeriodicalId":44256,"journal":{"name":"Journal of Neurological Surgery Reports","volume":"85 1","pages":"e1-e10"},"PeriodicalIF":0.7000,"publicationDate":"2024-01-09","publicationTypes":"Journal Article","fieldsOfStudy":null,"isOpenAccess":false,"openAccessPdf":"https://www.ncbi.nlm.nih.gov/pmc/articles/PMC10776412/pdf/","citationCount":"0","resultStr":null,"platform":"Semanticscholar","paperid":null,"PeriodicalName":"Journal of Neurological Surgery Reports","FirstCategoryId":"1085","ListUrlMain":"https://doi.org/10.1055/s-0043-1777792","RegionNum":0,"RegionCategory":null,"ArticlePicture":[],"TitleCN":null,"AbstractTextCN":null,"PMCID":null,"EPubDate":"2024/1/1 0:00:00","PubModel":"eCollection","JCR":"Q4","JCRName":"CLINICAL NEUROLOGY","Score":null,"Total":0}
引用次数: 0

Abstract

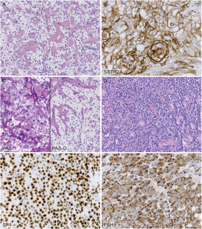
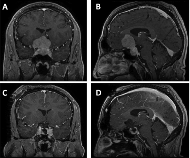
Collision tumors involving the sella are rare. Intrasellar collision tumors are most commonly composed of a combination of pituitary adenomas and pituitary neuroendocrine tumors; however, collision tumors consisting of a pituitary adenoma and intrasellar meningioma are exceedingly rare. The authors present the case of a 47-year-old man who presented with progressive right eye vision loss. Magnetic resonance imaging showed a large, heterogeneously enhancing sellar mass with suprasellar extension. Using a transcranial approach with a right subfrontal craniotomy, near-total resection of the mass was achieved. Histologic analysis confirmed a diagnosis of a gonadotroph adenoma with concomitant clear cell meningioma (CCM). This patient was discharged with improvement in visual acuity and no signs of diabetes insipidus. Given the indistinguishable radiographic characteristics of pituitary adenoma and CCM, a preoperative diagnosis of a collision tumor was difficult. This case was uniquely challenging since the CCM component lacked the classic dural attachment that is associated with meningiomas on neuroimaging. CCMs are classified as central nervous system (CNS) World Health Organization (WHO) grade 2 tumors and tend to behave more aggressively, therefore warranting close surveillance for signs of tumor recurrence. This is the first case to report a collision tumor consisting of pituitary adenoma and CCM.

Abstract Image

Abstract Image

Abstract Image

垂体腺瘤与未附着于硬脑膜的ellar透明细胞脑膜瘤并存:病例报告与治疗考虑。
涉及蝶鞍的碰撞性肿瘤非常罕见。蝶鞍内碰撞性肿瘤最常见的是由垂体腺瘤和垂体神经内分泌瘤组合而成;然而,由垂体腺瘤和蝶鞍内脑膜瘤组成的碰撞性肿瘤却极为罕见。作者介绍了一例 47 岁男子的病例,患者出现进行性右眼视力下降。磁共振成像显示,患者有一个巨大的、异质性增强的蝶窦肿块,并向小脑上部扩展。医生采用经颅右额下开颅手术,近乎完全切除了肿块。组织学分析确诊为性腺腺瘤,同时伴有透明细胞脑膜瘤(CCM)。患者出院时视力有所改善,也没有出现糖尿病症状。鉴于垂体腺瘤和透明细胞脑膜瘤的影像学特征难以区分,因此很难在术前诊断出两者是否为碰撞性肿瘤。该病例具有独特的挑战性,因为CCM成分缺乏典型的硬脑膜附着,而神经影像学上的硬脑膜附着与脑膜瘤有关。CCM被归类为世界卫生组织(WHO)中枢神经系统(CNS)2级肿瘤,往往表现得更具侵袭性,因此需要密切监测肿瘤复发的迹象。这是首例报告垂体腺瘤与 CCM 相结合肿瘤的病例。
本文章由计算机程序翻译,如有差异,请以英文原文为准。
求助全文
约1分钟内获得全文 求助全文
来源期刊
自引率
0.00%
发文量
31
审稿时长
12 weeks
×
引用
GB/T 7714-2015
复制
MLA
复制
APA
复制
导出至
BibTeX EndNote RefMan NoteFirst NoteExpress
×
提示
您的信息不完整,为了账户安全,请先补充。
现在去补充
×
提示
您因"违规操作"
具体请查看互助需知
我知道了
×
提示
确定
请完成安全验证×
copy
已复制链接
快去分享给好友吧!
我知道了
右上角分享
点击右上角分享
0
联系我们:info@booksci.cn Book学术提供免费学术资源搜索服务,方便国内外学者检索中英文文献。致力于提供最便捷和优质的服务体验。 Copyright © 2023 布克学术 All rights reserved.
京ICP备2023020795号-1
ghs 京公网安备 11010802042870号
Book学术文献互助
Book学术文献互助群
群 号:604180095
Book学术官方微信