Evaluation of atherosclerosis as a risk factor in COPD patients by measuring the carotid intima-media thickness.

IF 1.6 3区 医学 Q3 CARDIAC & CARDIOVASCULAR SYSTEMS
Ali Firincioglulari, Hakan Erturk, Mujgan Firincioglulari, Cigdem Biber
{"title":"Evaluation of atherosclerosis as a risk factor in COPD patients by measuring the carotid intima-media thickness.","authors":"Ali Firincioglulari, Hakan Erturk, Mujgan Firincioglulari, Cigdem Biber","doi":"10.1186/s12947-023-00322-8","DOIUrl":null,"url":null,"abstract":"<p><strong>Background: </strong>This study aimed to evaluate atherosclerosis as comorbidity by measuring the carotid (bulb and common carotid artery) Carotid intima-media thickness in COPD-diagnosed patients and to evaluate the relationship of atherosclerosis with the prevalence of COPD, hypoxemia and hypercapnia.</p><p><strong>Methods: </strong>This study was conducted out between January 2019-December 2019 consisting of a total of 140 participants (70 COPD-diagnosed patients-70 healthy individuals). The COPD-diagnosed patients have been planned according to the selection and diagnosis criteria as per the GOLD 2019 guide. It is planned to evaluate as per prospective matching case-control study of the carotid thickness, radial gas analysis, spirometric and demographic characteristics of COPD diagnosed patients and healthy individuals.</p><p><strong>Results: </strong>The average Carotid intima-media thickness in COPD patients was 0.8746±0.161 (p<0.05), and the thickness of the carotid bulb was 1.04±0.150 (p<0.05). In the control group, the average CCA intima-media thickness was 0.6650±0.139 (p<0.05), and the thickness of the carotid bulb was 0.8250±0.15(p<0.05) For the carotid thickness that has increased in COPD diagnosed patients a significant relationship is determined between hypoxemia (p<0.05) and hypercapnia(p<0.05). A significant relationship determined between CIMT and severity of COPD (p<0.05) The CIMT was high in COPD patients with hypoxemia and hypercapnia(p<0.05).</p><p><strong>Conclusion: </strong>Significant difference was determined between the severity (grades) of COPD (mild, moderate, severe, very severe) in carotid thickness. Also, CIMT was found to be high in patients who is in the early phases of the prevalence of COPD. In COPD-diagnosed patients, it was determined that severity of COPD, hypoxemia, hypercapnia and age were determining factors of atherosclerosis.</p>","PeriodicalId":9613,"journal":{"name":"Cardiovascular Ultrasound","volume":"22 1","pages":"2"},"PeriodicalIF":1.6000,"publicationDate":"2024-01-10","publicationTypes":"Journal Article","fieldsOfStudy":null,"isOpenAccess":false,"openAccessPdf":"https://www.ncbi.nlm.nih.gov/pmc/articles/PMC10777512/pdf/","citationCount":"0","resultStr":null,"platform":"Semanticscholar","paperid":null,"PeriodicalName":"Cardiovascular Ultrasound","FirstCategoryId":"3","ListUrlMain":"https://doi.org/10.1186/s12947-023-00322-8","RegionNum":3,"RegionCategory":"医学","ArticlePicture":[],"TitleCN":null,"AbstractTextCN":null,"PMCID":null,"EPubDate":"","PubModel":"","JCR":"Q3","JCRName":"CARDIAC & CARDIOVASCULAR SYSTEMS","Score":null,"Total":0}
引用次数: 0

Abstract

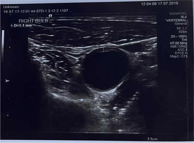
Background: This study aimed to evaluate atherosclerosis as comorbidity by measuring the carotid (bulb and common carotid artery) Carotid intima-media thickness in COPD-diagnosed patients and to evaluate the relationship of atherosclerosis with the prevalence of COPD, hypoxemia and hypercapnia.

Methods: This study was conducted out between January 2019-December 2019 consisting of a total of 140 participants (70 COPD-diagnosed patients-70 healthy individuals). The COPD-diagnosed patients have been planned according to the selection and diagnosis criteria as per the GOLD 2019 guide. It is planned to evaluate as per prospective matching case-control study of the carotid thickness, radial gas analysis, spirometric and demographic characteristics of COPD diagnosed patients and healthy individuals.

Results: The average Carotid intima-media thickness in COPD patients was 0.8746±0.161 (p<0.05), and the thickness of the carotid bulb was 1.04±0.150 (p<0.05). In the control group, the average CCA intima-media thickness was 0.6650±0.139 (p<0.05), and the thickness of the carotid bulb was 0.8250±0.15(p<0.05) For the carotid thickness that has increased in COPD diagnosed patients a significant relationship is determined between hypoxemia (p<0.05) and hypercapnia(p<0.05). A significant relationship determined between CIMT and severity of COPD (p<0.05) The CIMT was high in COPD patients with hypoxemia and hypercapnia(p<0.05).

Conclusion: Significant difference was determined between the severity (grades) of COPD (mild, moderate, severe, very severe) in carotid thickness. Also, CIMT was found to be high in patients who is in the early phases of the prevalence of COPD. In COPD-diagnosed patients, it was determined that severity of COPD, hypoxemia, hypercapnia and age were determining factors of atherosclerosis.

Abstract Image

Abstract Image

Abstract Image

通过测量颈动脉内膜中层厚度,评估作为慢性阻塞性肺病患者风险因素的动脉粥样硬化。
研究背景本研究旨在通过测量慢性阻塞性肺病确诊患者的颈动脉(球部和颈总动脉)内膜厚度来评估动脉粥样硬化这一合并症,并评估动脉粥样硬化与慢性阻塞性肺病患病率、低氧血症和高碳酸血症的关系:本研究于 2019 年 1 月至 2019 年 12 月期间进行,共有 140 名参与者(70 名慢性阻塞性肺病确诊患者-70 名健康人)。慢性阻塞性肺病患者是根据 GOLD 2019 指南的选择和诊断标准计划的。根据前瞻性匹配病例对照研究,计划对慢性阻塞性肺病诊断患者和健康人的颈动脉厚度、径向气体分析、肺活量测定和人口统计学特征进行评估:结果:慢性阻塞性肺病患者的平均颈动脉内膜厚度为 0.8746±0.161(p):COPD严重程度(分级)(轻度、中度、重度、极重度)之间的颈动脉厚度存在显著差异。此外,CIMT 在慢性阻塞性肺病早期患者中偏高。在确诊为慢性阻塞性肺病的患者中,慢性阻塞性肺病的严重程度、低氧血症、高碳酸血症和年龄是动脉粥样硬化的决定性因素。
本文章由计算机程序翻译,如有差异,请以英文原文为准。
求助全文
约1分钟内获得全文 求助全文
来源期刊
Cardiovascular Ultrasound
Cardiovascular Ultrasound CARDIAC & CARDIOVASCULAR SYSTEMS-
CiteScore
4.10
自引率
0.00%
发文量
28
审稿时长
>12 weeks
期刊介绍: Cardiovascular Ultrasound is an online journal, publishing peer-reviewed: original research; authoritative reviews; case reports on challenging and/or unusual diagnostic aspects; and expert opinions on new techniques and technologies. We are particularly interested in articles that include relevant images or video files, which provide an additional dimension to published articles and enhance understanding. As an open access journal, Cardiovascular Ultrasound ensures high visibility for authors in addition to providing an up-to-date and freely available resource for the community. The journal welcomes discussion, and provides a forum for publishing opinion and debate ranging from biology to engineering to clinical echocardiography, with both speed and versatility.
×
引用
GB/T 7714-2015
复制
MLA
复制
APA
复制
导出至
BibTeX EndNote RefMan NoteFirst NoteExpress
×
提示
您的信息不完整,为了账户安全,请先补充。
现在去补充
×
提示
您因"违规操作"
具体请查看互助需知
我知道了
×
提示
确定
请完成安全验证×
copy
已复制链接
快去分享给好友吧!
我知道了
右上角分享
点击右上角分享
0
联系我们:info@booksci.cn Book学术提供免费学术资源搜索服务,方便国内外学者检索中英文文献。致力于提供最便捷和优质的服务体验。 Copyright © 2023 布克学术 All rights reserved.
京ICP备2023020795号-1
ghs 京公网安备 11010802042870号
Book学术文献互助
Book学术文献互助群
群 号:604180095
Book学术官方微信