Three-Dimensional Imaging Analysis of the Developmental Process of Posterior Meniscofemoral Ligaments in Rat Embryos.

IF 1.9 4区 生物学 Q1 ANATOMY & MORPHOLOGY
Cells Tissues Organs Pub Date : 2024-01-01 Epub Date: 2024-01-05 DOI:10.1159/000536108
Momoko Nagai-Tanima, Kanon Ishida, Aoi Ishikawa, Shigehito Yamada, Tetsuya Takakuwa, Tomoki Aoyama
{"title":"Three-Dimensional Imaging Analysis of the Developmental Process of Posterior Meniscofemoral Ligaments in Rat Embryos.","authors":"Momoko Nagai-Tanima, Kanon Ishida, Aoi Ishikawa, Shigehito Yamada, Tetsuya Takakuwa, Tomoki Aoyama","doi":"10.1159/000536108","DOIUrl":null,"url":null,"abstract":"<p><strong>Introduction: </strong>The posterior meniscofemoral ligament (pMFL) of knee joint is a ligament that runs posterior to the posterior cruciate ligament and it is known that the height of the pMFL attachment site causes meniscus avulsion. Therefore, understanding the three-dimensional (3D) structure of the pMFL attachment site is essential to better understand the pathogenesis of meniscus disorders. However, the developmental process of pMFL has not been well investigated. The purpose of this study was to analyze pMFL development in rat knee joints using 3D reconstructed images produced from episcopic fluorescence image capture (EFIC) images and examine its relationship with other knee joint components.</p><p><strong>Methods: </strong>Knee joints of Wistar rat embryos between embryonic day (E) 16 and E21 were observed with HE-stained tissues. Serial EFIC images of the hind limbs of E17-E21 were, respectively, captured from which 3D images were reconstructed and the features of pMFL structure: length and angle were measured. Besides, the chronological volume changes and the volume ratio of the knee joint components compared to E17 were calculated to identify the differences in growth by components.</p><p><strong>Results: </strong>pMFL was observed from E17 and was attached to the medial femoral condyle and lateral meniscus at all developmental stages, as in mature rats. The lack of marked variation in the attachment site and angle of the pMFL with the developmental stage indicates that the pMFL and surrounding knee joint components developed while maintaining their positional relationship from the onset of development.</p><p><strong>Conclusion: </strong>Current results may support to congenital etiology of meniscus disorder.</p>","PeriodicalId":9717,"journal":{"name":"Cells Tissues Organs","volume":" ","pages":"357-367"},"PeriodicalIF":1.9000,"publicationDate":"2024-01-01","publicationTypes":"Journal Article","fieldsOfStudy":null,"isOpenAccess":false,"openAccessPdf":"https://www.ncbi.nlm.nih.gov/pmc/articles/PMC11446320/pdf/","citationCount":"0","resultStr":null,"platform":"Semanticscholar","paperid":null,"PeriodicalName":"Cells Tissues Organs","FirstCategoryId":"99","ListUrlMain":"https://doi.org/10.1159/000536108","RegionNum":4,"RegionCategory":"生物学","ArticlePicture":[],"TitleCN":null,"AbstractTextCN":null,"PMCID":null,"EPubDate":"2024/1/5 0:00:00","PubModel":"Epub","JCR":"Q1","JCRName":"ANATOMY & MORPHOLOGY","Score":null,"Total":0}
引用次数: 0

Abstract

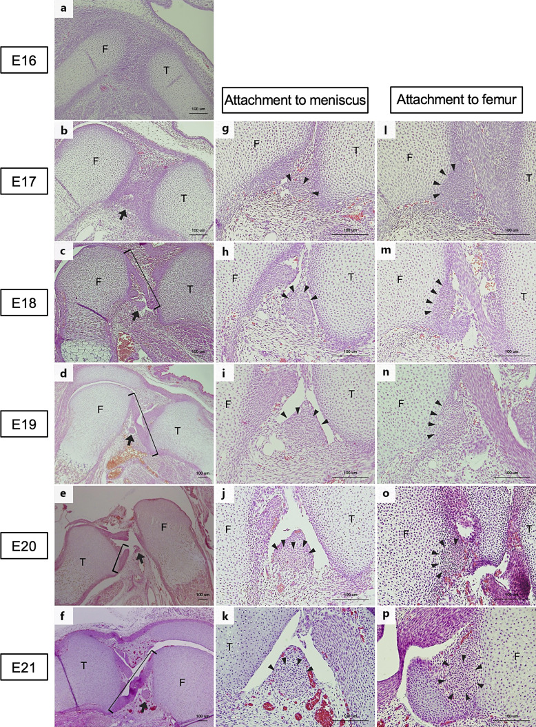
Introduction: The posterior meniscofemoral ligament (pMFL) of knee joint is a ligament that runs posterior to the posterior cruciate ligament and it is known that the height of the pMFL attachment site causes meniscus avulsion. Therefore, understanding the three-dimensional (3D) structure of the pMFL attachment site is essential to better understand the pathogenesis of meniscus disorders. However, the developmental process of pMFL has not been well investigated. The purpose of this study was to analyze pMFL development in rat knee joints using 3D reconstructed images produced from episcopic fluorescence image capture (EFIC) images and examine its relationship with other knee joint components.

Methods: Knee joints of Wistar rat embryos between embryonic day (E) 16 and E21 were observed with HE-stained tissues. Serial EFIC images of the hind limbs of E17-E21 were, respectively, captured from which 3D images were reconstructed and the features of pMFL structure: length and angle were measured. Besides, the chronological volume changes and the volume ratio of the knee joint components compared to E17 were calculated to identify the differences in growth by components.

Results: pMFL was observed from E17 and was attached to the medial femoral condyle and lateral meniscus at all developmental stages, as in mature rats. The lack of marked variation in the attachment site and angle of the pMFL with the developmental stage indicates that the pMFL and surrounding knee joint components developed while maintaining their positional relationship from the onset of development.

Conclusion: Current results may support to congenital etiology of meniscus disorder.

Abstract Image

Abstract Image

Abstract Image

大鼠胚胎半月板后韧带发育过程的三维成像分析。
简介膝关节的后半月板韧带(pMFL)是一条位于后交叉韧带(PCL)后方的韧带,众所周知,pMFL附着部位的高度会导致半月板撕脱。因此,了解 pMFL 附着部位的三维(3D)结构对于更好地理解半月板疾病的发病机制至关重要。然而,pMFL 的发育过程尚未得到很好的研究。本研究的目的是利用外显子荧光图像采集(EFIC)图像生成的三维重建图像分析大鼠膝关节中 pMFL 的发育过程,并研究其与膝关节其他组成部分的关系:方法:使用 HE 染色组织观察胚胎第(E)16 天至第 21 天 Wistar 大鼠胚胎的膝关节。方法:用 HE 染色组织观察 Wistar 大鼠胚胎 E16 至 E21 天的膝关节,分别采集 E17 至 E21 天后肢的序列 EFIC 图像,重建三维图像并测量 pMFL 结构的特征:长度和角度。结果:pMFL从E17开始就被观察到,并且在所有发育阶段都附着在股骨内侧髁和外侧半月板上,与成熟大鼠相同。pMFL的附着部位和角度随发育阶段的变化不明显,这表明pMFL和周围膝关节成分在发育过程中一直保持着位置关系:结论:目前的研究结果可能支持半月板紊乱的先天性病因。
本文章由计算机程序翻译,如有差异,请以英文原文为准。
求助全文
约1分钟内获得全文 求助全文
来源期刊
Cells Tissues Organs
Cells Tissues Organs 生物-发育生物学
CiteScore
4.90
自引率
3.70%
发文量
45
审稿时长
6-12 weeks
期刊介绍: ''Cells Tissues Organs'' aims at bridging the gap between cell biology and developmental biology and the emerging fields of regenerative medicine (stem cell biology, tissue engineering, artificial organs, in vitro systems and transplantation biology). CTO offers a rapid and fair peer-review and exquisite reproduction quality. Special topic issues, entire issues of the journal devoted to a single research topic within the range of interests of the journal, are published at irregular intervals.
×
引用
GB/T 7714-2015
复制
MLA
复制
APA
复制
导出至
BibTeX EndNote RefMan NoteFirst NoteExpress
×
提示
您的信息不完整,为了账户安全,请先补充。
现在去补充
×
提示
您因"违规操作"
具体请查看互助需知
我知道了
×
提示
确定
请完成安全验证×
copy
已复制链接
快去分享给好友吧!
我知道了
右上角分享
点击右上角分享
0
联系我们:info@booksci.cn Book学术提供免费学术资源搜索服务,方便国内外学者检索中英文文献。致力于提供最便捷和优质的服务体验。 Copyright © 2023 布克学术 All rights reserved.
京ICP备2023020795号-1
ghs 京公网安备 11010802042870号
Book学术文献互助
Book学术文献互助群
群 号:604180095
Book学术官方微信