Isolated unilateral temporalis muscle hypertrophy of unknown etiology: a case report and literature review.

Q2 Medicine
Archives of Craniofacial Surgery Pub Date : 2023-12-01 Epub Date: 2023-12-20 DOI:10.7181/acfs.2023.00458
Jun Ho Choi, Seung Yeon Choi, Jae Ha Hwang, Kwang Seog Kim, Sam Yong Lee
{"title":"Isolated unilateral temporalis muscle hypertrophy of unknown etiology: a case report and literature review.","authors":"Jun Ho Choi, Seung Yeon Choi, Jae Ha Hwang, Kwang Seog Kim, Sam Yong Lee","doi":"10.7181/acfs.2023.00458","DOIUrl":null,"url":null,"abstract":"<p><p>The initial instance of isolated unilateral temporalis muscle hypertrophy (IUTMH) was reported in 1990. Since then, only few cases have been documented. The cause of this condition remains ambiguous; however, it is presumed to be linked to compensatory and stress-induced hypertrophy. We introduce a rare case of the diagnosis and treatment of IUTMH. A 39-year-old woman presented with a steadily enlarging pain-free swelling on the left side of her face, first noticed a month ago. Apart from a hyperthyroidism medication regimen her medical history was unremarkable. She had no history of temporomandibular joint disease, bruxism, surgery, or trauma. However, she complained of having been under substantial stress lately. Contrast-enhanced magnetic resonance imaging revealed asymmetric temporalis muscle hypertrophy. The treatment plan consisted of administering type A botulinum toxin injections into left temporalis muscle, supplemented by lifestyle changes and relaxation techniques. At a follow-up visit 9 months after the injections, the muscle contour was normalized both in physical and in radiologic examinations. While further supportive evidence is needed, it can be anticipated that cosmetic treatment with botulinum toxin, rather than surgical interventions, will become the standard treatment of IUTMH.</p>","PeriodicalId":52238,"journal":{"name":"Archives of Craniofacial Surgery","volume":"24 6","pages":"278-283"},"PeriodicalIF":0.0000,"publicationDate":"2023-12-01","publicationTypes":"Journal Article","fieldsOfStudy":null,"isOpenAccess":false,"openAccessPdf":"https://www.ncbi.nlm.nih.gov/pmc/articles/PMC10766504/pdf/","citationCount":"0","resultStr":null,"platform":"Semanticscholar","paperid":null,"PeriodicalName":"Archives of Craniofacial Surgery","FirstCategoryId":"1085","ListUrlMain":"https://doi.org/10.7181/acfs.2023.00458","RegionNum":0,"RegionCategory":null,"ArticlePicture":[],"TitleCN":null,"AbstractTextCN":null,"PMCID":null,"EPubDate":"2023/12/20 0:00:00","PubModel":"Epub","JCR":"Q2","JCRName":"Medicine","Score":null,"Total":0}
引用次数: 0

Abstract

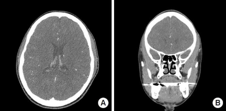
The initial instance of isolated unilateral temporalis muscle hypertrophy (IUTMH) was reported in 1990. Since then, only few cases have been documented. The cause of this condition remains ambiguous; however, it is presumed to be linked to compensatory and stress-induced hypertrophy. We introduce a rare case of the diagnosis and treatment of IUTMH. A 39-year-old woman presented with a steadily enlarging pain-free swelling on the left side of her face, first noticed a month ago. Apart from a hyperthyroidism medication regimen her medical history was unremarkable. She had no history of temporomandibular joint disease, bruxism, surgery, or trauma. However, she complained of having been under substantial stress lately. Contrast-enhanced magnetic resonance imaging revealed asymmetric temporalis muscle hypertrophy. The treatment plan consisted of administering type A botulinum toxin injections into left temporalis muscle, supplemented by lifestyle changes and relaxation techniques. At a follow-up visit 9 months after the injections, the muscle contour was normalized both in physical and in radiologic examinations. While further supportive evidence is needed, it can be anticipated that cosmetic treatment with botulinum toxin, rather than surgical interventions, will become the standard treatment of IUTMH.

Abstract Image

Abstract Image

Abstract Image

病因不明的孤立性单侧颞肌肥大:病例报告和文献综述。
孤立性单侧颞肌肥大(IUTMH)的首次报道是在 1990 年。此后,只有少数病例被记录在案。这种疾病的病因仍不明确,但推测与代偿性肥大和应激性肥大有关。我们介绍一例罕见的 IUTMH 诊断和治疗病例。一名 39 岁的女性患者于一个月前首次发现左侧面部出现持续性肿胀,且无疼痛感。除了甲状腺功能亢进症的药物治疗外,她的病史并无异常。她没有颞下颌关节疾病、磨牙症、手术或外伤史。不过,她抱怨最近压力很大。对比增强磁共振成像显示她的颞肌不对称肥大。治疗方案包括在左侧颞肌注射A型肉毒毒素,并辅以改变生活方式和放松技巧。在注射 9 个月后的随访中,肌肉轮廓在物理和放射检查中均恢复正常。虽然还需要进一步的支持性证据,但可以预见的是,使用肉毒杆菌毒素进行美容治疗,而非手术治疗,将成为 IUTMH 的标准治疗方法。
本文章由计算机程序翻译,如有差异,请以英文原文为准。
求助全文
约1分钟内获得全文 求助全文
来源期刊
Archives of Craniofacial Surgery
Archives of Craniofacial Surgery Medicine-Otorhinolaryngology
CiteScore
2.90
自引率
0.00%
发文量
44
×
引用
GB/T 7714-2015
复制
MLA
复制
APA
复制
导出至
BibTeX EndNote RefMan NoteFirst NoteExpress
×
提示
您的信息不完整,为了账户安全,请先补充。
现在去补充
×
提示
您因"违规操作"
具体请查看互助需知
我知道了
×
提示
确定
请完成安全验证×
copy
已复制链接
快去分享给好友吧!
我知道了
右上角分享
点击右上角分享
0
联系我们:info@booksci.cn Book学术提供免费学术资源搜索服务,方便国内外学者检索中英文文献。致力于提供最便捷和优质的服务体验。 Copyright © 2023 布克学术 All rights reserved.
京ICP备2023020795号-1
ghs 京公网安备 11010802042870号
Book学术文献互助
Book学术文献互助群
群 号:604180095
Book学术官方微信