Intraoperative Embolization during Inferior Vena Cava Tumor Thrombectomy for Renal Cell Carcinoma.

IF 1.9 Q3 ONCOLOGY
Journal of Kidney Cancer and VHL Pub Date : 2023-12-30 eCollection Date: 2023-01-01 DOI:10.15586/jkcvhl.v10i4.299
Samantha A Roberts, Divyaam Satija, Henry Gold, Mina S Makary, Jing G Wang, Eric A Singer, Tasha Posid, Nahush A Mokadam, Shawn Dason
{"title":"Intraoperative Embolization during Inferior Vena Cava Tumor Thrombectomy for Renal Cell Carcinoma.","authors":"Samantha A Roberts, Divyaam Satija, Henry Gold, Mina S Makary, Jing G Wang, Eric A Singer, Tasha Posid, Nahush A Mokadam, Shawn Dason","doi":"10.15586/jkcvhl.v10i4.299","DOIUrl":null,"url":null,"abstract":"<p><p>Intraoperative tumor thrombus embolization is a potentially lethal complication during inferior vena cava (IVC) thrombectomy for renal cell carcinoma (RCC). Intraoperative embolization is uncommonly encountered because IVC thrombectomy surgical technique is focused on avoiding this complication. Nonetheless, early recognition of embolization is essential so that emergent management can be instituted. When available, cardiopulmonary bypass (CPB) and embolectomy should be considered the gold standard for the management of intraoperative embolization. Several novel endovascular techniques are also available for selective use. We present the case of a 71-year-old female with a right renal mass and level II (retrohepatic) IVC tumor thrombus. During cytoreductive nephrectomy and IVC thrombectomy, tumor embolization was diagnosed during a period of hypotension based on transesophageal echocardiographic finding of new thrombus within the right atrium. This prompted sternotomy, CPB, and pulmonary artery embolectomy. The patient survived this embolization event and has a complete response to systemic therapy 9 months postoperatively. This case serves as the framework for a discussion on management considerations surrounding intraoperative embolization during IVC thrombectomy.</p>","PeriodicalId":44291,"journal":{"name":"Journal of Kidney Cancer and VHL","volume":"10 4","pages":"43-49"},"PeriodicalIF":1.9000,"publicationDate":"2023-12-30","publicationTypes":"Journal Article","fieldsOfStudy":null,"isOpenAccess":false,"openAccessPdf":"https://www.ncbi.nlm.nih.gov/pmc/articles/PMC10764280/pdf/","citationCount":"0","resultStr":null,"platform":"Semanticscholar","paperid":null,"PeriodicalName":"Journal of Kidney Cancer and VHL","FirstCategoryId":"1085","ListUrlMain":"https://doi.org/10.15586/jkcvhl.v10i4.299","RegionNum":0,"RegionCategory":null,"ArticlePicture":[],"TitleCN":null,"AbstractTextCN":null,"PMCID":null,"EPubDate":"2023/1/1 0:00:00","PubModel":"eCollection","JCR":"Q3","JCRName":"ONCOLOGY","Score":null,"Total":0}
引用次数: 0

Abstract

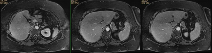
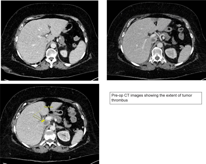
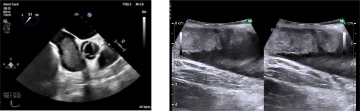
Intraoperative tumor thrombus embolization is a potentially lethal complication during inferior vena cava (IVC) thrombectomy for renal cell carcinoma (RCC). Intraoperative embolization is uncommonly encountered because IVC thrombectomy surgical technique is focused on avoiding this complication. Nonetheless, early recognition of embolization is essential so that emergent management can be instituted. When available, cardiopulmonary bypass (CPB) and embolectomy should be considered the gold standard for the management of intraoperative embolization. Several novel endovascular techniques are also available for selective use. We present the case of a 71-year-old female with a right renal mass and level II (retrohepatic) IVC tumor thrombus. During cytoreductive nephrectomy and IVC thrombectomy, tumor embolization was diagnosed during a period of hypotension based on transesophageal echocardiographic finding of new thrombus within the right atrium. This prompted sternotomy, CPB, and pulmonary artery embolectomy. The patient survived this embolization event and has a complete response to systemic therapy 9 months postoperatively. This case serves as the framework for a discussion on management considerations surrounding intraoperative embolization during IVC thrombectomy.

Abstract Image

Abstract Image

Abstract Image

下腔静脉肿瘤血栓切除术治疗肾细胞癌时的术中栓塞。
术中肿瘤血栓栓塞是下腔静脉(IVC)血栓切除术治疗肾细胞癌(RCC)期间的一种潜在致命并发症。术中栓塞并不常见,因为下腔静脉血栓切除手术技术的重点是避免这种并发症。不过,早期识别栓塞至关重要,以便采取紧急处理措施。在条件允许的情况下,心肺旁路(CPB)和栓子切除术应被视为处理术中栓塞的金标准。此外,还有几种新型血管内技术可供选择使用。我们介绍了一例 71 岁女性的病例,她患有右肾肿块和 II 级(肝后)IVC 肿瘤血栓。在进行囊肿肾切除术和 IVC 血栓切除术时,根据经食道超声心动图发现右心房内有新的血栓,在低血压期间诊断出肿瘤栓塞。这促使患者进行了胸骨切开术、CPB 和肺动脉栓塞切除术。患者在这次栓塞事件中幸存下来,术后 9 个月对全身治疗完全无反应。本病例可作为讨论 IVC 血栓切除术中术中栓塞管理注意事项的框架。
本文章由计算机程序翻译,如有差异,请以英文原文为准。
求助全文
约1分钟内获得全文 求助全文
来源期刊
自引率
6.20%
发文量
22
审稿时长
4 weeks
×
引用
GB/T 7714-2015
复制
MLA
复制
APA
复制
导出至
BibTeX EndNote RefMan NoteFirst NoteExpress
×
提示
您的信息不完整,为了账户安全,请先补充。
现在去补充
×
提示
您因"违规操作"
具体请查看互助需知
我知道了
×
提示
确定
请完成安全验证×
copy
已复制链接
快去分享给好友吧!
我知道了
右上角分享
点击右上角分享
0
联系我们:info@booksci.cn Book学术提供免费学术资源搜索服务,方便国内外学者检索中英文文献。致力于提供最便捷和优质的服务体验。 Copyright © 2023 布克学术 All rights reserved.
京ICP备2023020795号-1
ghs 京公网安备 11010802042870号
Book学术文献互助
Book学术文献互助群
群 号:604180095
Book学术官方微信