Nivolumab-Induced Lichen Planopilaris: Case Report and Literature Review of Hair Disorders Associated with Targeted Oncological Therapies.

Q2 Medicine
International Journal of Trichology Pub Date : 2023-05-01 Epub Date: 2023-12-01 DOI:10.4103/ijt.ijt_95_21
Leila Asfour, David Rutkowski, Iskander H Chaudhry, Matthew J Harries
{"title":"Nivolumab-Induced Lichen Planopilaris: Case Report and Literature Review of Hair Disorders Associated with Targeted Oncological Therapies.","authors":"Leila Asfour, David Rutkowski, Iskander H Chaudhry, Matthew J Harries","doi":"10.4103/ijt.ijt_95_21","DOIUrl":null,"url":null,"abstract":"<p><p>Immune checkpoint inhibitors (ICIs) have revolutionized cancer therapies. Their mechanism promotes a cytotoxic T-cell activation against the tumor cells, but as a consequence, immune-mediated toxicities are increasingly being identified. Cutaneous immune-mediated adverse events (AE) occur in 32% of patients, with possible higher grade AEs seen with anti-programmed cell death protein 1, such as nivolumab. A 67-year-old woman with metastatic melanoma, previously treated for 2 years on dual ICI (ipilimumab and nivolumab), had her treatment interrupted due to grade-3 hepatitis. She was subsequently recommenced on single-agent nivolumab with good response, before discontinuation due to remission. She reported worsening scalp pruritus with associated erythema, scaling, and global hair thinning. On examination, she had significant erythema throughout the scalp with perifollicular scaling and evidence of scarring. She reported severe distress from her symptoms. Her scalp biopsy demonstrated features of scarring alopecia with infundibular and isthmic inflammation and interface change in keeping with lichen planopilaris. Follicular toxicities are rarely reported, possibly due to imprecise AE phenotyping or underreporting. However, growing evidence suggests that patients can develop follicular pigmentary changes and nonscarring alopecia. To our knowledge, this is the first case of scarring alopecia reported with nivolumab. Current treatments for ICI-induced toxicities are limited.</p>","PeriodicalId":14417,"journal":{"name":"International Journal of Trichology","volume":"15 3","pages":"105-107"},"PeriodicalIF":0.0000,"publicationDate":"2023-05-01","publicationTypes":"Journal Article","fieldsOfStudy":null,"isOpenAccess":false,"openAccessPdf":"https://www.ncbi.nlm.nih.gov/pmc/articles/PMC10763733/pdf/","citationCount":"0","resultStr":null,"platform":"Semanticscholar","paperid":null,"PeriodicalName":"International Journal of Trichology","FirstCategoryId":"1085","ListUrlMain":"https://doi.org/10.4103/ijt.ijt_95_21","RegionNum":0,"RegionCategory":null,"ArticlePicture":[],"TitleCN":null,"AbstractTextCN":null,"PMCID":null,"EPubDate":"2023/12/1 0:00:00","PubModel":"Epub","JCR":"Q2","JCRName":"Medicine","Score":null,"Total":0}
引用次数: 0

Abstract

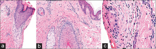
Immune checkpoint inhibitors (ICIs) have revolutionized cancer therapies. Their mechanism promotes a cytotoxic T-cell activation against the tumor cells, but as a consequence, immune-mediated toxicities are increasingly being identified. Cutaneous immune-mediated adverse events (AE) occur in 32% of patients, with possible higher grade AEs seen with anti-programmed cell death protein 1, such as nivolumab. A 67-year-old woman with metastatic melanoma, previously treated for 2 years on dual ICI (ipilimumab and nivolumab), had her treatment interrupted due to grade-3 hepatitis. She was subsequently recommenced on single-agent nivolumab with good response, before discontinuation due to remission. She reported worsening scalp pruritus with associated erythema, scaling, and global hair thinning. On examination, she had significant erythema throughout the scalp with perifollicular scaling and evidence of scarring. She reported severe distress from her symptoms. Her scalp biopsy demonstrated features of scarring alopecia with infundibular and isthmic inflammation and interface change in keeping with lichen planopilaris. Follicular toxicities are rarely reported, possibly due to imprecise AE phenotyping or underreporting. However, growing evidence suggests that patients can develop follicular pigmentary changes and nonscarring alopecia. To our knowledge, this is the first case of scarring alopecia reported with nivolumab. Current treatments for ICI-induced toxicities are limited.

Abstract Image

Abstract Image

Nivolumab诱发的扁平苔藓:肿瘤靶向治疗相关毛发疾病的病例报告和文献综述。
免疫检查点抑制剂(ICIs)彻底改变了癌症疗法。它们的机制是促进细胞毒性 T 细胞对肿瘤细胞的活化,但因此也发现了越来越多的免疫介导毒性。32%的患者会出现皮肤免疫介导的不良事件(AE),而抗程序性细胞死亡蛋白1(如nivolumab)可能会出现更高级别的AE。一名 67 岁的转移性黑色素瘤女性患者曾接受过 2 年的双 ICI(ipilimumab 和 nivolumab)治疗,后因 3 级肝炎中断了治疗。随后,她重新开始接受单药 nivolumab 治疗,反应良好,后因病情缓解而中断治疗。她报告头皮瘙痒加重,伴有红斑、脱屑和整体头发稀疏。经检查,她的整个头皮都有明显的红斑,毛囊周围有脱屑和瘢痕的迹象。她说自己的症状让她非常痛苦。她的头皮活检显示出瘢痕性脱发的特征,伴有基底和峡部炎症以及界面变化,与扁平苔藓一致。毛囊毒性很少见报道,这可能是由于不精确的 AE 表型或报告不足造成的。然而,越来越多的证据表明,患者可能会出现毛囊色素性改变和非瘢痕性脱发。据我们所知,这是首例因使用 nivolumab 而出现瘢痕性脱发的病例。目前针对 ICI 引起的毒性的治疗方法非常有限。
本文章由计算机程序翻译,如有差异,请以英文原文为准。
求助全文
约1分钟内获得全文 求助全文
来源期刊
CiteScore
1.50
自引率
0.00%
发文量
38
×
引用
GB/T 7714-2015
复制
MLA
复制
APA
复制
导出至
BibTeX EndNote RefMan NoteFirst NoteExpress
×
提示
您的信息不完整,为了账户安全,请先补充。
现在去补充
×
提示
您因"违规操作"
具体请查看互助需知
我知道了
×
提示
确定
请完成安全验证×
copy
已复制链接
快去分享给好友吧!
我知道了
右上角分享
点击右上角分享
0
联系我们:info@booksci.cn Book学术提供免费学术资源搜索服务,方便国内外学者检索中英文文献。致力于提供最便捷和优质的服务体验。 Copyright © 2023 布克学术 All rights reserved.
京ICP备2023020795号-1
ghs 京公网安备 11010802042870号
Book学术文献互助
Book学术文献互助群
群 号:604180095
Book学术官方微信