Sclerosing Encapsulating Peritonitis: Solving the Diagnosis Challenge of a Rare Entity.

IF 0.5 Q4 SURGERY
Case Reports in Surgery Pub Date : 2023-12-27 eCollection Date: 2023-01-01 DOI:10.1155/2023/4022487
Anwar Rahali, El Mehdi Aboulfath, Noureddine Njoumi, Mohammed Rebbani, Yasser El Brahmi, Mohammed Elfahssi, Abderrahman Elhjouji, Aziz Zentar, Abdelmounaim Ait Ali
{"title":"Sclerosing Encapsulating Peritonitis: Solving the Diagnosis Challenge of a Rare Entity.","authors":"Anwar Rahali, El Mehdi Aboulfath, Noureddine Njoumi, Mohammed Rebbani, Yasser El Brahmi, Mohammed Elfahssi, Abderrahman Elhjouji, Aziz Zentar, Abdelmounaim Ait Ali","doi":"10.1155/2023/4022487","DOIUrl":null,"url":null,"abstract":"<p><p>Sclerosing encapsulating peritonitis (SEP) is an unusual fibroinflammatory disease of the peritoneum marked by the development of a fibrous membrane enveloping generally the small intestines. The knowledge around this subject is not completely understood. And the etiology can be either idiopathic or secondary to several diseases, treatments, and/or medications. We present a case of a 52-year-old man suffering from atypical clinical symptoms including recurrent abdominal ascites and intestinal obstruction. An abdominal computed tomography showed findings typical of SEP. Therefore, the patient benefited from exploratory laparotomy, which confirmed the diagnosis of idiopathic SEP. Postoperatively, he again had an episode of bowel obstruction, but this was controlled with steroids. Diagnosis of SEP is a real challenge to surgeons, gastroenterologists, and radiologists. And imagery is very helpful to make the diagnosis. Consequently, it is imperative that all hospital practitioners should distinguish between this lesion and other etiology of acute peritonitis.</p>","PeriodicalId":9600,"journal":{"name":"Case Reports in Surgery","volume":"2023 ","pages":"4022487"},"PeriodicalIF":0.5000,"publicationDate":"2023-12-27","publicationTypes":"Journal Article","fieldsOfStudy":null,"isOpenAccess":false,"openAccessPdf":"https://www.ncbi.nlm.nih.gov/pmc/articles/PMC10764648/pdf/","citationCount":"0","resultStr":null,"platform":"Semanticscholar","paperid":null,"PeriodicalName":"Case Reports in Surgery","FirstCategoryId":"1085","ListUrlMain":"https://doi.org/10.1155/2023/4022487","RegionNum":0,"RegionCategory":null,"ArticlePicture":[],"TitleCN":null,"AbstractTextCN":null,"PMCID":null,"EPubDate":"2023/1/1 0:00:00","PubModel":"eCollection","JCR":"Q4","JCRName":"SURGERY","Score":null,"Total":0}
引用次数: 0

Abstract

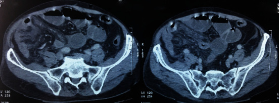
Sclerosing encapsulating peritonitis (SEP) is an unusual fibroinflammatory disease of the peritoneum marked by the development of a fibrous membrane enveloping generally the small intestines. The knowledge around this subject is not completely understood. And the etiology can be either idiopathic or secondary to several diseases, treatments, and/or medications. We present a case of a 52-year-old man suffering from atypical clinical symptoms including recurrent abdominal ascites and intestinal obstruction. An abdominal computed tomography showed findings typical of SEP. Therefore, the patient benefited from exploratory laparotomy, which confirmed the diagnosis of idiopathic SEP. Postoperatively, he again had an episode of bowel obstruction, but this was controlled with steroids. Diagnosis of SEP is a real challenge to surgeons, gastroenterologists, and radiologists. And imagery is very helpful to make the diagnosis. Consequently, it is imperative that all hospital practitioners should distinguish between this lesion and other etiology of acute peritonitis.

Abstract Image

Abstract Image

Abstract Image

硬化性包裹性腹膜炎:破解罕见病例的诊断难题
硬化性包裹性腹膜炎(SEP)是一种不常见的腹膜纤维炎性疾病,其特征是纤维膜包裹着小肠。关于这一主题的知识还不完全清楚。其病因可能是特发性的,也可能是继发于多种疾病、治疗和/或药物。我们介绍了一例 52 岁男性的病例,他患有非典型临床症状,包括反复腹水和肠梗阻。腹部计算机断层扫描显示出典型的 SEP 症状。因此,患者接受了剖腹探查术,确诊为特发性 SEP。术后,他再次出现肠梗阻,但通过使用类固醇得到了控制。对外科医生、消化科医生和放射科医生来说,SEP 的诊断确实是一项挑战。而图像对诊断非常有帮助。因此,所有医院的医生都必须区分这种病变和急性腹膜炎的其他病因。
本文章由计算机程序翻译,如有差异,请以英文原文为准。
求助全文
约1分钟内获得全文 求助全文
来源期刊
自引率
0.00%
发文量
60
审稿时长
13 weeks
×
引用
GB/T 7714-2015
复制
MLA
复制
APA
复制
导出至
BibTeX EndNote RefMan NoteFirst NoteExpress
×
提示
您的信息不完整,为了账户安全,请先补充。
现在去补充
×
提示
您因"违规操作"
具体请查看互助需知
我知道了
×
提示
确定
请完成安全验证×
copy
已复制链接
快去分享给好友吧!
我知道了
右上角分享
点击右上角分享
0
联系我们:info@booksci.cn Book学术提供免费学术资源搜索服务,方便国内外学者检索中英文文献。致力于提供最便捷和优质的服务体验。 Copyright © 2023 布克学术 All rights reserved.
京ICP备2023020795号-1
ghs 京公网安备 11010802042870号
Book学术文献互助
Book学术文献互助群
群 号:604180095
Book学术官方微信