A Rare Case of Nasal Sarcoma with BCOR Internal Tandem Duplication Showing Complete Pathologic Response to the VDC-IE Chemotherapy Protocol.

IF 0.6 Q4 ONCOLOGY
Case Reports in Oncological Medicine Pub Date : 2023-12-26 eCollection Date: 2023-01-01 DOI:10.1155/2023/5546323
Samer Salah, Maher A Sughayer, Omar Jaber, Nebras Abu Abed, Fatena Ajlouni, Wisam Al Gargaz, Ramiz Abu Hijlih, Fawzi Abuhijla, Akram Al-Ibraheem, Farah Alul, Walid Naser
{"title":"A Rare Case of Nasal Sarcoma with BCOR Internal Tandem Duplication Showing Complete Pathologic Response to the VDC-IE Chemotherapy Protocol.","authors":"Samer Salah, Maher A Sughayer, Omar Jaber, Nebras Abu Abed, Fatena Ajlouni, Wisam Al Gargaz, Ramiz Abu Hijlih, Fawzi Abuhijla, Akram Al-Ibraheem, Farah Alul, Walid Naser","doi":"10.1155/2023/5546323","DOIUrl":null,"url":null,"abstract":"<p><p>Sarcoma with <i>BCOR</i> genetic alteration is an exceptionally rare and emerging subtype of sarcoma. It is categorized into two types: <i>BCOR</i>-related gene fusions such as <i>BCOR::CCNB3</i> sarcomas and other <i>BCOR</i>-rearranged sarcoma and sarcomas with internal tandem duplication of <i>BCOR</i> genes such as infantile undifferentiated round cell sarcomas and primitive myxoid mesenchymal tumors of infancy. <i>BCOR::CCNB3</i> sarcomas predominantly arise in bone rather than soft tissue and exhibit a higher occurrence in children and adolescent males, whereas sarcomas with <i>BCOR</i> internal tandem duplication show a wider age range but usually arise in the first year of life. Due to their rarity, there is ongoing debate and uncertainty regarding the best treatment approach, with a lack of specific clinical trials addressing these tumors. In this report, we present a unique case of sarcoma with internal tandem duplication of <i>BCOR</i> gene originating in the nasal region. The tumor was successfully and completely resected using the standard VDC-IE chemotherapy protocol, resulting in an unprecedented 100 percent tumor necrosis. The patient has completed the protocol and remains recurrence-free 13 months after diagnosis. This case suggests potential efficacy of the standard VDC-IE protocol in achieving remarkable responses in <i>BCOR</i> rearrangement sarcomas, including the internal tandem duplication subtype. However, further studies are needed to determine the optimal treatment strategies for this disease.</p>","PeriodicalId":9636,"journal":{"name":"Case Reports in Oncological Medicine","volume":"2023 ","pages":"5546323"},"PeriodicalIF":0.6000,"publicationDate":"2023-12-26","publicationTypes":"Journal Article","fieldsOfStudy":null,"isOpenAccess":false,"openAccessPdf":"https://www.ncbi.nlm.nih.gov/pmc/articles/PMC10761225/pdf/","citationCount":"0","resultStr":null,"platform":"Semanticscholar","paperid":null,"PeriodicalName":"Case Reports in Oncological Medicine","FirstCategoryId":"1085","ListUrlMain":"https://doi.org/10.1155/2023/5546323","RegionNum":0,"RegionCategory":null,"ArticlePicture":[],"TitleCN":null,"AbstractTextCN":null,"PMCID":null,"EPubDate":"2023/1/1 0:00:00","PubModel":"eCollection","JCR":"Q4","JCRName":"ONCOLOGY","Score":null,"Total":0}
引用次数: 0

Abstract

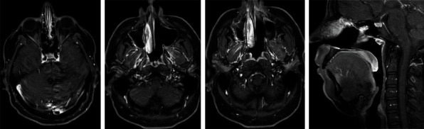
Sarcoma with BCOR genetic alteration is an exceptionally rare and emerging subtype of sarcoma. It is categorized into two types: BCOR-related gene fusions such as BCOR::CCNB3 sarcomas and other BCOR-rearranged sarcoma and sarcomas with internal tandem duplication of BCOR genes such as infantile undifferentiated round cell sarcomas and primitive myxoid mesenchymal tumors of infancy. BCOR::CCNB3 sarcomas predominantly arise in bone rather than soft tissue and exhibit a higher occurrence in children and adolescent males, whereas sarcomas with BCOR internal tandem duplication show a wider age range but usually arise in the first year of life. Due to their rarity, there is ongoing debate and uncertainty regarding the best treatment approach, with a lack of specific clinical trials addressing these tumors. In this report, we present a unique case of sarcoma with internal tandem duplication of BCOR gene originating in the nasal region. The tumor was successfully and completely resected using the standard VDC-IE chemotherapy protocol, resulting in an unprecedented 100 percent tumor necrosis. The patient has completed the protocol and remains recurrence-free 13 months after diagnosis. This case suggests potential efficacy of the standard VDC-IE protocol in achieving remarkable responses in BCOR rearrangement sarcomas, including the internal tandem duplication subtype. However, further studies are needed to determine the optimal treatment strategies for this disease.

Abstract Image

Abstract Image

Abstract Image

一例罕见的鼻肉瘤 BCOR 内部串联重复病例对 VDC-IE 化疗方案显示出完全病理反应。
具有 BCOR 基因改变的肉瘤是一种异常罕见的新兴亚型肉瘤。它分为两种类型:BCOR 相关基因融合(如 BCOR::CCNB3肉瘤和其他 BCOR 重排肉瘤)和 BCOR 基因内部串联重复的肉瘤(如婴儿未分化圆细胞肉瘤和婴儿原始肌间质肿瘤)。BCOR::CCNB3肉瘤主要发生在骨骼而非软组织,儿童和青少年男性发病率较高,而BCOR内部串联重复的肉瘤发病年龄范围较广,但通常发生在出生后第一年。由于其罕见性,关于最佳治疗方法的争论和不确定性一直存在,并且缺乏针对这些肿瘤的特定临床试验。在本报告中,我们介绍了一例独特的鼻部 BCOR 基因内部串联重复肉瘤病例。我们采用标准的 VDC-IE 化疗方案成功地完全切除了肿瘤,肿瘤坏死率达到前所未有的 100%。患者已完成方案治疗,确诊后 13 个月仍未复发。该病例表明,标准 VDC-IE 方案在 BCOR 重排肉瘤(包括内部串联重复亚型)中取得显著疗效的潜在功效。然而,要确定这种疾病的最佳治疗策略,还需要进一步的研究。
本文章由计算机程序翻译,如有差异,请以英文原文为准。
求助全文
约1分钟内获得全文 求助全文
来源期刊
自引率
0.00%
发文量
11
审稿时长
16 weeks
期刊介绍: Case Reports in Oncological Medicine is a peer-reviewed, Open Access journal that publishes case reports and case series related to breast cancer, lung cancer, gastrointestinal cancer, skin cancer, head and neck cancer, paediatric oncology, neurooncology as well as genitourinary cancer.
×
引用
GB/T 7714-2015
复制
MLA
复制
APA
复制
导出至
BibTeX EndNote RefMan NoteFirst NoteExpress
×
提示
您的信息不完整,为了账户安全,请先补充。
现在去补充
×
提示
您因"违规操作"
具体请查看互助需知
我知道了
×
提示
确定
请完成安全验证×
copy
已复制链接
快去分享给好友吧!
我知道了
右上角分享
点击右上角分享
0
联系我们:info@booksci.cn Book学术提供免费学术资源搜索服务,方便国内外学者检索中英文文献。致力于提供最便捷和优质的服务体验。 Copyright © 2023 布克学术 All rights reserved.
京ICP备2023020795号-1
ghs 京公网安备 11010802042870号
Book学术文献互助
Book学术文献互助群
群 号:604180095
Book学术官方微信