Fully endoscopic far-lateral supracerebellar infratentorial approach for trigeminal neuralgia: illustrative case reports.

Q2 Medicine
Hong Yao, Wenlei Yang, Hao Tang, Yijun Cheng, Shaojian Lin, Zhe Bao Wu
{"title":"Fully endoscopic far-lateral supracerebellar infratentorial approach for trigeminal neuralgia: illustrative case reports.","authors":"Hong Yao, Wenlei Yang, Hao Tang, Yijun Cheng, Shaojian Lin, Zhe Bao Wu","doi":"10.1186/s41016-023-00353-0","DOIUrl":null,"url":null,"abstract":"<p><strong>Background: </strong>Trigeminal neuralgia (TN) is a common cause of craniofacial pain. The retrosigmoid approach is usually used to treat TN, but no cases of endoscopic far-lateral supracerebellar infratentorial approach (EF-SCITA) were used to undergo operation for TN.</p><p><strong>Case presentation: </strong>Two patients were presented with severe facial pain and preliminary diagnosis was TN. Preoperative magnetic resonance imaging revealed that a superior cerebellar artery (SCA) compressed the trigeminal nerve in case 1, and a tumor located in the petrous apex extending into the Meckel's cave compressed the trigeminal nerve in case 2. Operations were achieved through the EF-SCITA. The pain was totally relieved with no postsurgical complications in both cases.</p><p><strong>Conclusions: </strong>We present the first two case reports of EF-SCITA to relieve classical and secondary TN successfully. The EF-SCITA can be a promising approach for treating TN.</p>","PeriodicalId":36700,"journal":{"name":"Chinese Neurosurgical Journal","volume":"10 1","pages":"1"},"PeriodicalIF":0.0000,"publicationDate":"2024-01-02","publicationTypes":"Journal Article","fieldsOfStudy":null,"isOpenAccess":false,"openAccessPdf":"https://www.ncbi.nlm.nih.gov/pmc/articles/PMC10759323/pdf/","citationCount":"0","resultStr":null,"platform":"Semanticscholar","paperid":null,"PeriodicalName":"Chinese Neurosurgical Journal","FirstCategoryId":"3","ListUrlMain":"https://doi.org/10.1186/s41016-023-00353-0","RegionNum":0,"RegionCategory":null,"ArticlePicture":[],"TitleCN":null,"AbstractTextCN":null,"PMCID":null,"EPubDate":"","PubModel":"","JCR":"Q2","JCRName":"Medicine","Score":null,"Total":0}
引用次数: 0

Abstract

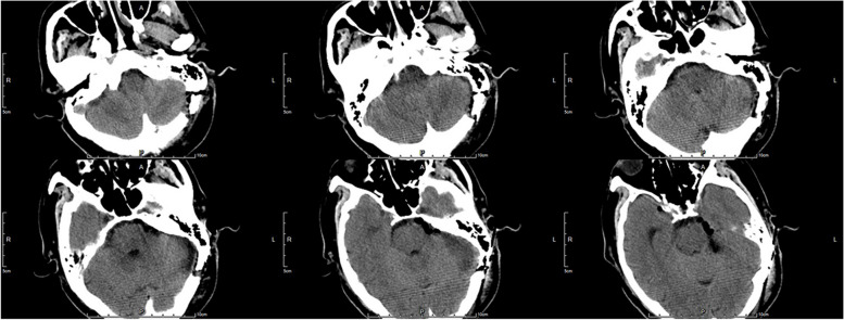
Background: Trigeminal neuralgia (TN) is a common cause of craniofacial pain. The retrosigmoid approach is usually used to treat TN, but no cases of endoscopic far-lateral supracerebellar infratentorial approach (EF-SCITA) were used to undergo operation for TN.

Case presentation: Two patients were presented with severe facial pain and preliminary diagnosis was TN. Preoperative magnetic resonance imaging revealed that a superior cerebellar artery (SCA) compressed the trigeminal nerve in case 1, and a tumor located in the petrous apex extending into the Meckel's cave compressed the trigeminal nerve in case 2. Operations were achieved through the EF-SCITA. The pain was totally relieved with no postsurgical complications in both cases.

Conclusions: We present the first two case reports of EF-SCITA to relieve classical and secondary TN successfully. The EF-SCITA can be a promising approach for treating TN.

Abstract Image

Abstract Image

Abstract Image

三叉神经痛的全内窥镜远外侧小脑上皮层下入路:病例报告。
背景:三叉神经痛(TN三叉神经痛(TN)是颅面部疼痛的常见原因。通常采用后脑勺入路治疗TN,但还没有采用内窥镜远外侧小脑上皮质下入路(EF-SCITA)治疗TN的病例:两名患者因面部剧烈疼痛就诊,初步诊断为TN。术前磁共振成像显示,病例1的小脑上动脉(SCA)压迫了三叉神经,病例2的位于壶腹顶延伸至梅克尔洞的肿瘤压迫了三叉神经。手术通过 EF-SCITA 完成。两例患者的疼痛均已完全缓解,且无术后并发症:我们首次报告了两例使用 EF-SCITA 成功缓解典型和继发性 TN 的病例。EF-SCITA是治疗TN的一种很有前景的方法。
本文章由计算机程序翻译,如有差异,请以英文原文为准。
求助全文
约1分钟内获得全文 求助全文
来源期刊
CiteScore
2.70
自引率
0.00%
发文量
224
审稿时长
10 weeks
×
引用
GB/T 7714-2015
复制
MLA
复制
APA
复制
导出至
BibTeX EndNote RefMan NoteFirst NoteExpress
×
提示
您的信息不完整,为了账户安全,请先补充。
现在去补充
×
提示
您因"违规操作"
具体请查看互助需知
我知道了
×
提示
确定
请完成安全验证×
copy
已复制链接
快去分享给好友吧!
我知道了
右上角分享
点击右上角分享
0
联系我们:info@booksci.cn Book学术提供免费学术资源搜索服务,方便国内外学者检索中英文文献。致力于提供最便捷和优质的服务体验。 Copyright © 2023 布克学术 All rights reserved.
京ICP备2023020795号-1
ghs 京公网安备 11010802042870号
Book学术文献互助
Book学术文献互助群
群 号:604180095
Book学术官方微信