Isolation and Molecular Detection of Mannheimia haemolytica and Pasteurella multocida from Clinically Pneumonic Pasteurellosis Cases of Bonga Sheep Breed and Their Antibiotic Susceptibility Tests in Selected Areas of Southwest Ethiopian Peoples Regional State, Ethiopia.

IF 2.5 Q2 VETERINARY SCIENCES
Veterinary medicine (Auckland, N.Z.) Pub Date : 2023-12-27 eCollection Date: 2023-01-01 DOI:10.2147/VMRR.S435932
Solomon Addisu Alemu, Yosef Deneke Belachew, Takele Abayneh Tefera
{"title":"Isolation and Molecular Detection of <i>Mannheimia haemolytica</i> and <i>Pasteurella multocida</i> from Clinically Pneumonic Pasteurellosis Cases of Bonga Sheep Breed and Their Antibiotic Susceptibility Tests in Selected Areas of Southwest Ethiopian Peoples Regional State, Ethiopia.","authors":"Solomon Addisu Alemu, Yosef Deneke Belachew, Takele Abayneh Tefera","doi":"10.2147/VMRR.S435932","DOIUrl":null,"url":null,"abstract":"<p><strong>Background: </strong>Pneumonic pasteurellosis is a respiratory system disease of sheep caused by <i>Mannheimia haemolytica, Pasteurella multocida</i>, and <i>Bibersteinia trehalosi</i> responsible for the low productivity and economic loss resulting from death and treatment costs. This study was conducted to isolate and molecularly detect causative agents and antibiotic susceptibility tests from a nasal swab sample of the Bonga sheep breed that was suspected to have pneumonic pasteurellosis in selected areas of Southwest Ethiopian Peoples Regional State.</p><p><strong>Methods: </strong>A cross-sectional study design was used along with purposive sampling of nasal swab samples from sheep that were brought to veterinary clinics during the study period. Bacterial isolation and phenotypic characterization were carried out using microbiological and biochemical tests that followed standard microbiological techniques. To molecularly confirm the isolates, <i>PHSSA</i> and <i>KMT1</i>, species-specific PCR primer genes were used. Using the disc diffusion method, molecularly confirmed isolates were subjected to an in vitro antibiotic susceptibility test.</p><p><strong>Results: </strong>The 85 samples that were scrutinized had an overall isolation rate of 31.76%, whereas the isolates of <i>Pasteurella multocida</i> and <i>Mannheimia haemolytica</i> had species compositions of 40.7% and 59.25%, respectively. Overall, 12.5% of the <i>Mannheimia haemolytica</i> and 18.18% of the <i>Pasteurella multocida</i> species were verified from phenotypical isolates using the species-specific PCR primer genes <i>PHSSA</i> and <i>KMT1</i>, respectively. An in vitro antibiotic susceptibility test was carried out on all four PCR-confirmed isolates for seven commonly used antibiotics used to treat ovine pasteurellosis in the study area. It was found that both bacterial species were resistant to chloramphenicol and penicillin G.</p><p><strong>Conclusion: </strong>Using phenotypic and molecular diagnostic techniques, the results of our current inquiry revealed that <i>Pasteurella multocida</i> and <i>Mannheimia haemolytica</i> are the causative agents of ovine pneumonic pasteurellosis in the study area.</p>","PeriodicalId":75300,"journal":{"name":"Veterinary medicine (Auckland, N.Z.)","volume":"14 ","pages":"233-244"},"PeriodicalIF":2.5000,"publicationDate":"2023-12-27","publicationTypes":"Journal Article","fieldsOfStudy":null,"isOpenAccess":false,"openAccessPdf":"https://www.ncbi.nlm.nih.gov/pmc/articles/PMC10757770/pdf/","citationCount":"0","resultStr":null,"platform":"Semanticscholar","paperid":null,"PeriodicalName":"Veterinary medicine (Auckland, N.Z.)","FirstCategoryId":"1085","ListUrlMain":"https://doi.org/10.2147/VMRR.S435932","RegionNum":0,"RegionCategory":null,"ArticlePicture":[],"TitleCN":null,"AbstractTextCN":null,"PMCID":null,"EPubDate":"2023/1/1 0:00:00","PubModel":"eCollection","JCR":"Q2","JCRName":"VETERINARY SCIENCES","Score":null,"Total":0}
引用次数: 0

Abstract

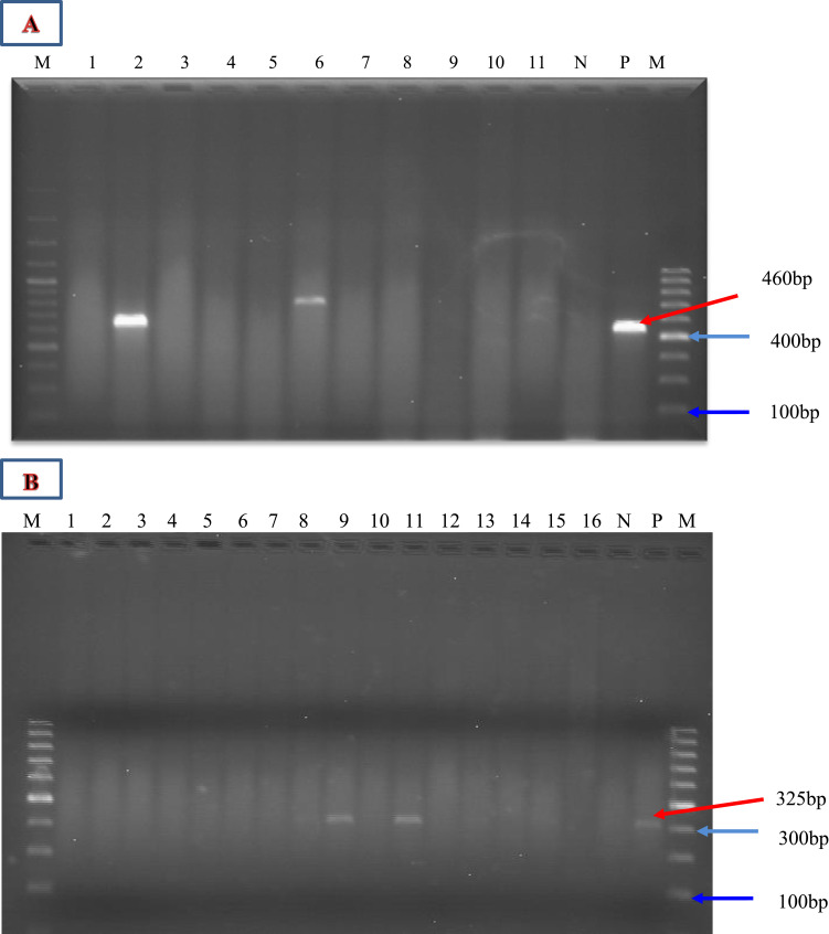
Background: Pneumonic pasteurellosis is a respiratory system disease of sheep caused by Mannheimia haemolytica, Pasteurella multocida, and Bibersteinia trehalosi responsible for the low productivity and economic loss resulting from death and treatment costs. This study was conducted to isolate and molecularly detect causative agents and antibiotic susceptibility tests from a nasal swab sample of the Bonga sheep breed that was suspected to have pneumonic pasteurellosis in selected areas of Southwest Ethiopian Peoples Regional State.

Methods: A cross-sectional study design was used along with purposive sampling of nasal swab samples from sheep that were brought to veterinary clinics during the study period. Bacterial isolation and phenotypic characterization were carried out using microbiological and biochemical tests that followed standard microbiological techniques. To molecularly confirm the isolates, PHSSA and KMT1, species-specific PCR primer genes were used. Using the disc diffusion method, molecularly confirmed isolates were subjected to an in vitro antibiotic susceptibility test.

Results: The 85 samples that were scrutinized had an overall isolation rate of 31.76%, whereas the isolates of Pasteurella multocida and Mannheimia haemolytica had species compositions of 40.7% and 59.25%, respectively. Overall, 12.5% of the Mannheimia haemolytica and 18.18% of the Pasteurella multocida species were verified from phenotypical isolates using the species-specific PCR primer genes PHSSA and KMT1, respectively. An in vitro antibiotic susceptibility test was carried out on all four PCR-confirmed isolates for seven commonly used antibiotics used to treat ovine pasteurellosis in the study area. It was found that both bacterial species were resistant to chloramphenicol and penicillin G.

Conclusion: Using phenotypic and molecular diagnostic techniques, the results of our current inquiry revealed that Pasteurella multocida and Mannheimia haemolytica are the causative agents of ovine pneumonic pasteurellosis in the study area.

Abstract Image

Abstract Image

从埃塞俄比亚西南埃塞俄比亚民族地区州部分地区邦加绵羊品种临床肺炎巴氏杆菌病例中分离和分子检测溶血曼氏菌和多杀性巴氏杆菌及其抗生素敏感性试验。
背景:气性巴氏杆菌病是一种由溶血曼氏菌、多杀性巴氏杆菌和巴氏杆菌引起的绵羊呼吸系统疾病,是造成绵羊生产力低下以及因死亡和治疗费用而造成经济损失的原因。本研究的目的是从埃塞俄比亚西南部民族地区州选定地区疑似患肺巴氏杆菌病的邦加绵羊品种的鼻拭子样本中分离出致病菌并进行分子检测和抗生素药敏试验:方法:采用横断面研究设计,并有目的性地从研究期间送到兽医诊所的绵羊鼻拭子样本中取样。按照标准微生物学技术,使用微生物学和生化检验进行细菌分离和表型鉴定。为了从分子上确认分离物 PHSSA 和 KMT1,使用了物种特异性 PCR 引物基因。使用盘扩散法,对经分子确认的分离物进行体外抗生素敏感性测试:结果:85 份受检样本的总体分离率为 31.76%,而多杀性巴氏杆菌和溶血性曼氏菌的分离菌种比例分别为 40.7% 和 59.25%。总体而言,利用物种特异性 PCR 引物基因 PHSSA 和 KMT1,分别从表型分离物中验证了 12.5% 的溶血曼氏菌和 18.18% 的多杀性巴氏杆菌物种。对所有 4 个经 PCR 确认的分离株进行了体外抗生素敏感性测试,测试对象为研究地区用于治疗绵羊巴氏杆菌病的 7 种常用抗生素。结果发现,两种细菌都对氯霉素和青霉素 G 具有抗药性:利用表型和分子诊断技术,我们目前的调查结果显示,多杀性巴氏杆菌和溶血性曼氏菌是研究地区绵羊气性巴氏杆菌病的致病菌。
本文章由计算机程序翻译,如有差异,请以英文原文为准。
求助全文
约1分钟内获得全文 求助全文
来源期刊
自引率
0.00%
发文量
0
审稿时长
16 weeks
×
引用
GB/T 7714-2015
复制
MLA
复制
APA
复制
导出至
BibTeX EndNote RefMan NoteFirst NoteExpress
×
提示
您的信息不完整,为了账户安全,请先补充。
现在去补充
×
提示
您因"违规操作"
具体请查看互助需知
我知道了
×
提示
确定
请完成安全验证×
copy
已复制链接
快去分享给好友吧!
我知道了
右上角分享
点击右上角分享
0
联系我们:info@booksci.cn Book学术提供免费学术资源搜索服务,方便国内外学者检索中英文文献。致力于提供最便捷和优质的服务体验。 Copyright © 2023 布克学术 All rights reserved.
京ICP备2023020795号-1
ghs 京公网安备 11010802042870号
Book学术文献互助
Book学术文献互助群
群 号:604180095
Book学术官方微信