Arginine to glutamine mutation in the substrate binding region impaired the isopentenyl activity of Mycobacterium tuberculosis MiaA.

IF 1 Q4 BIOCHEMISTRY & MOLECULAR BIOLOGY
Smitha Soman, Siya Ram
{"title":"Arginine to glutamine mutation in the substrate binding region impaired the isopentenyl activity of <i>Mycobacterium tuberculosis</i> MiaA.","authors":"Smitha Soman, Siya Ram","doi":"10.22099/mbrc.2023.47247.1825","DOIUrl":null,"url":null,"abstract":"<p><p>tRNAs act as adaptors during protein synthesis and are chemically modified post-transcriptionally for their structural stability as well as accuracy of the translation. Hypomodifications of tRNAs are known to cause various human diseases, including cancer. Studies in bacteria and yeasts showed that levels of tRNA modifications vary under different stress conditions, enabling the organism to modulate gene expression for survival. Isopentelylation of the base 37 (i<sup>6</sup>A37) in the anticodon stem-loop by tRNA isopentenyltransferase (MiaA) is well-conserved modification present in prokaryotes and eukaryotes. i<sup>6</sup>A37 modification increases both the speed and fidelity of translation. A homozygous p.Arg323Gln mutation in the tRNA binding region of tRNA isopentenyltransferase reduced i<sup>6</sup>A37 levels in humans, affecting mitochondrial translation and thereby causing neurodevelopmental disorder. In this study, we mutated the Arg residue at the conserved position to Gln in <i>Mycobacterium tuberculosis</i> (M. tb) MiaA and analyzed the i6A modification activity of the enzyme on its target tRNAs. We found that p.Arg274Gln mutant MiaA could not modify the target tRNAs, tRNA<sup>Leu</sup>CAA, tRNA<sup>Phe</sup>GAA, and tRNA<sup>Ser</sup>CGA from M. tb, confirming the role of Arg residue in tRNA binding.</p>","PeriodicalId":19025,"journal":{"name":"Molecular Biology Research Communications","volume":"13 1","pages":"3-9"},"PeriodicalIF":1.0000,"publicationDate":"2024-01-01","publicationTypes":"Journal Article","fieldsOfStudy":null,"isOpenAccess":false,"openAccessPdf":"https://www.ncbi.nlm.nih.gov/pmc/articles/PMC10644310/pdf/","citationCount":"0","resultStr":null,"platform":"Semanticscholar","paperid":null,"PeriodicalName":"Molecular Biology Research Communications","FirstCategoryId":"1085","ListUrlMain":"https://doi.org/10.22099/mbrc.2023.47247.1825","RegionNum":0,"RegionCategory":null,"ArticlePicture":[],"TitleCN":null,"AbstractTextCN":null,"PMCID":null,"EPubDate":"","PubModel":"","JCR":"Q4","JCRName":"BIOCHEMISTRY & MOLECULAR BIOLOGY","Score":null,"Total":0}
引用次数: 0

Abstract

tRNAs act as adaptors during protein synthesis and are chemically modified post-transcriptionally for their structural stability as well as accuracy of the translation. Hypomodifications of tRNAs are known to cause various human diseases, including cancer. Studies in bacteria and yeasts showed that levels of tRNA modifications vary under different stress conditions, enabling the organism to modulate gene expression for survival. Isopentelylation of the base 37 (i6A37) in the anticodon stem-loop by tRNA isopentenyltransferase (MiaA) is well-conserved modification present in prokaryotes and eukaryotes. i6A37 modification increases both the speed and fidelity of translation. A homozygous p.Arg323Gln mutation in the tRNA binding region of tRNA isopentenyltransferase reduced i6A37 levels in humans, affecting mitochondrial translation and thereby causing neurodevelopmental disorder. In this study, we mutated the Arg residue at the conserved position to Gln in Mycobacterium tuberculosis (M. tb) MiaA and analyzed the i6A modification activity of the enzyme on its target tRNAs. We found that p.Arg274Gln mutant MiaA could not modify the target tRNAs, tRNALeuCAA, tRNAPheGAA, and tRNASerCGA from M. tb, confirming the role of Arg residue in tRNA binding.

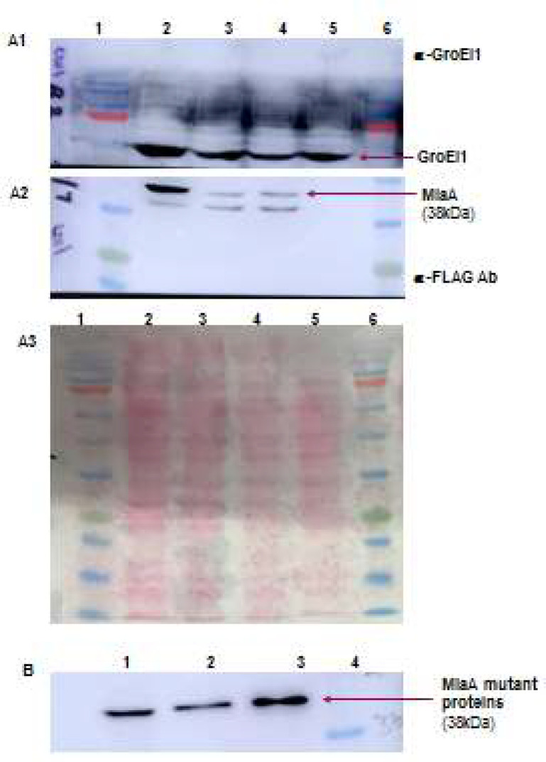
Abstract Image

Abstract Image

Abstract Image

底物结合区精氨酸到谷氨酰胺的突变损害了结核分枝杆菌 MiaA 的异戊烯基活性。
tRNA 在蛋白质合成过程中充当适配体,并在转录后进行化学修饰,以保证其结构的稳定性和翻译的准确性。众所周知,tRNA 的过度修饰会导致包括癌症在内的多种人类疾病。对细菌和酵母菌的研究表明,在不同的压力条件下,tRNA 的修饰水平会发生变化,从而使生物体能够调节基因表达以获得生存。通过 tRNA 异戊烯基转移酶(MiaA)对反密码子茎环中的 37 号碱基(i6A37)进行异戊烯化是原核生物和真核生物中保存完好的修饰。在人类中,tRNA 异戊烯基转移酶的 tRNA 结合区的同源 p.Arg323Gln 突变会降低 i6A37 的水平,影响线粒体翻译,从而导致神经发育障碍。在本研究中,我们将结核分枝杆菌(M. tb)MiaA中保守位置的Arg残基突变为Gln,并分析了该酶对其靶tRNA的i6A修饰活性。我们发现,p.Arg274Gln 突变体 MiaA 不能修饰 M. tb 的靶 tRNA tRNALeuCAA、tRNAPheGAA 和 tRNASerCGA,证实了 Arg 残基在 tRNA 结合中的作用。
本文章由计算机程序翻译,如有差异,请以英文原文为准。
求助全文
约1分钟内获得全文 求助全文
来源期刊
Molecular Biology Research Communications
Molecular Biology Research Communications BIOCHEMISTRY & MOLECULAR BIOLOGY-
CiteScore
3.00
自引率
0.00%
发文量
12
期刊介绍: “Molecular Biology Research Communications” (MBRC) is an international journal of Molecular Biology. It is published quarterly by Shiraz University (Iran). The MBRC is a fully peer-reviewed journal. The journal welcomes submission of Original articles, Short communications, Invited review articles, and Letters to the Editor which meets the general criteria of significance and scientific excellence in all fields of “Molecular Biology”.
×
引用
GB/T 7714-2015
复制
MLA
复制
APA
复制
导出至
BibTeX EndNote RefMan NoteFirst NoteExpress
×
提示
您的信息不完整,为了账户安全,请先补充。
现在去补充
×
提示
您因"违规操作"
具体请查看互助需知
我知道了
×
提示
确定
请完成安全验证×
copy
已复制链接
快去分享给好友吧!
我知道了
右上角分享
点击右上角分享
0
联系我们:info@booksci.cn Book学术提供免费学术资源搜索服务,方便国内外学者检索中英文文献。致力于提供最便捷和优质的服务体验。 Copyright © 2023 布克学术 All rights reserved.
京ICP备2023020795号-1
ghs 京公网安备 11010802042870号
Book学术文献互助
Book学术文献互助群
群 号:604180095
Book学术官方微信